ZDHHC1 Antibody - BSA Free
Novus Biologicals, part of Bio-Techne | Catalog # NBP2-13539
Key Product Details
Species Reactivity
Human
Applications
Immunohistochemistry, Immunohistochemistry-Paraffin, Western Blot, Immunocytochemistry/ Immunofluorescence
Label
Unconjugated
Antibody Source
Polyclonal Rabbit IgG
Format
BSA Free
Concentration
Concentrations vary lot to lot. See vial label for concentration. If unlisted please contact technical services.
Product Specifications
Immunogen
This antibody was developed against a recombinant protein corresponding to the amino acids: HKLTTYEYIVQHRPPQEAKGVHRELESCPPKMRPIQEMEFYMRTFRHMRPEPPGQAGPAAVNAKHSRPASPDPTPGRRDCAGPPVQVEWD
Clonality
Polyclonal
Host
Rabbit
Isotype
IgG
Description
Novus Biologicals Rabbit ZDHHC1 Antibody - BSA Free (NBP2-13539) is a polyclonal antibody validated for use in IHC, WB and ICC/IF. All Novus Biologicals antibodies are covered by our 100% guarantee.
Scientific Data Images for ZDHHC1 Antibody - BSA Free
Western Blot: ZDHHC1 Antibody [NBP2-13539]
Western Blot: ZDHHC1 Antibody [NBP2-13539] - Lane 1: Marker [kDa] 250, 130, 100, 70, 55, 35, 25, 15, 10Lane 2: Human Tonsil tissue
Immunocytochemistry/ Immunofluorescence: ZDHHC1 Antibody [NBP2-13539]
Immunocytochemistry/Immunofluorescence: ZDHHC1 Antibody [NBP2-13539] - Immunofluorescent staining of human cell line A-431 shows localization to cytosol.Immunohistochemistry-Paraffin: ZDHHC1 Antibody [NBP2-13539]
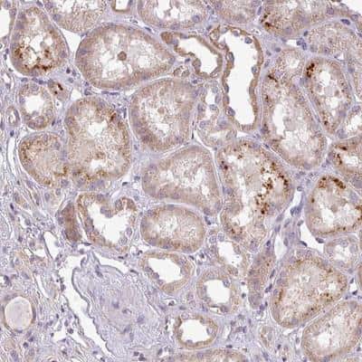
Immunohistochemistry-Paraffin: ZDHHC1 Antibody [NBP2-13539] - Staining of human kidney shows moderate cytoplasmic positivity in cells in tubules.Applications for ZDHHC1 Antibody - BSA Free
Application
Recommended Usage
Immunocytochemistry/ Immunofluorescence
0.25-2 ug/ml
Immunohistochemistry
1:200 - 1:500
Immunohistochemistry-Paraffin
1:200 - 1:500
Western Blot
0.04-0.4 ug/ml
Application Notes
For IHC-Paraffin, HIER pH 6 retrieval is recommended. ICC/IF,Fixation Permeabilization: Use PFA/Triton X-100.
Formulation, Preparation, and Storage
Purification
Affinity purified
Formulation
PBS (pH 7.2) and 40% Glycerol
Format
BSA Free
Preservative
0.02% Sodium Azide
Concentration
Concentrations vary lot to lot. See vial label for concentration. If unlisted please contact technical services.
Shipping
The product is shipped with polar packs. Upon receipt, store it immediately at the temperature recommended below.
Stability & Storage
Store at 4C short term. Aliquot and store at -20C long term. Avoid freeze-thaw cycles.
Background: ZDHHC1
Alternate Names
C16orf1, DHHC domain-containing cysteine-rich protein 1, DHHC-1, DHHC-domain-containing cysteine-rich protein, EC 2.3.1.-, HSU90653, probable palmitoyltransferase ZDHHC1, Zinc finger DHHC domain-containing protein 1, Zinc finger protein 377, zinc finger, DHHC domain containing 1, zinc finger, DHHC-type containing 1, ZNF377chromosome 16 open reading frame 1
Gene Symbol
ZDHHC1
Additional ZDHHC1 Products
Product Documents for ZDHHC1 Antibody - BSA Free
Product Specific Notices for ZDHHC1 Antibody - BSA Free
This product is for research use only and is not approved for use in humans or in clinical diagnosis. Primary Antibodies are guaranteed for 1 year from date of receipt.
Loading...
Loading...
Loading...
Loading...