Skip to main content

ZBTB7A/Pokemon Antibody

Novus Biologicals, part of Bio-Techne | Catalog # NB100-762

Novus Biologicals, part of Bio-Techne
Catalog #
Availability
Size / Price
Qty
Loading...
NB100-762

Key Product Details

Validated by

Independent Antibodies, Biological Validation

Species Reactivity

Validated:

Human

Cited:

Human

Applications

Validated:

Immunohistochemistry, Immunohistochemistry-Paraffin, Western Blot, Immunoprecipitation

Cited:

Western Blot

Label

Unconjugated

Antibody Source

Polyclonal Rabbit IgG

Concentration

0.2 mg/ml

Product Specifications

Immunogen

The immunogen recognized by this antibody maps to a region between residue 525 and the C-terminus (residue 584) of human ZBTB7 (Factor Binding IST protein 1) using the numbering given in entry NP_056982.1 (GeneID 51341).

Clonality

Polyclonal

Host

Rabbit

Isotype

IgG

Description

Novus Biologicals Rabbit ZBTB7A/Pokemon Antibody (NB100-762) is a polyclonal antibody validated for use in IHC, WB and IP. Anti-ZBTB7A/Pokemon Antibody: Cited in 1 publication. All Novus Biologicals antibodies are covered by our 100% guarantee.

Scientific Data Images for ZBTB7A/Pokemon Antibody

Western Blot: ZBTB7A/Pokemon Antibody [NB100-762]

Western Blot: ZBTB7A/Pokemon Antibody [NB100-762]

Western Blot: ZBTB7A/Pokemon Antibody [NB100-762] - Detection of Human ZBTB7(FBI-1) on HeLa whole cell lysate using NB100-762. ZBTB7(FBI-1) was also immunoprecipitated using rabbit antibodies NB100-761 and another ZBTB7(FBI-1) Ab.
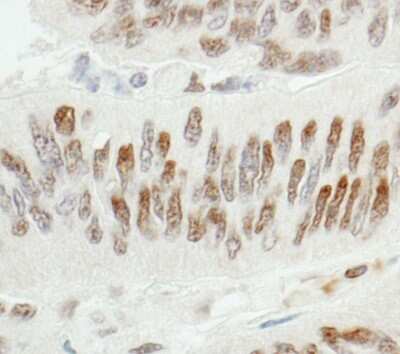
Immunohistochemistry-Paraffin: ZBTB7A/Pokemon Antibody [NB100-762]

Immunohistochemistry-Paraffin: ZBTB7A/Pokemon Antibody [NB100-762]

Immunohistochemistry-Paraffin: ZBTB7A/Pokemon Antibody [NB100-762] - Section of human colon carcinoma. Antibody: Affinity purified rabbit anti- ZBTB7/FBI-1 used at a dilution of 1:200 (1ug/ml). Detection: DAB

Applications for ZBTB7A/Pokemon Antibody

Application
Recommended Usage

Immunohistochemistry

1:100 - 1:500

Immunohistochemistry-Paraffin

1:100-1:500

Immunoprecipitation

2-5 ug/mg lysate

Western Blot

1:2000-1:10000
Application Notes
Epitope retrieval with Tris-EDTA pH 9.0 is recommended for FFPE tissue sections.

Formulation, Preparation, and Storage

Purification

Immunogen affinity purified

Formulation

TBS and 0.1% BSA

Preservative

0.09% Sodium Azide

Concentration

0.2 mg/ml

Shipping

The product is shipped with polar packs. Upon receipt, store it immediately at the temperature recommended below.

Stability & Storage

Store at 4C. Do not freeze.

Background: ZBTB7A/Pokemon

Pokemon (POK Erythroid Myeloid Ontogenic factor) is part of the POK gene family that encodes proteins. It is an oncogene, but its role is unique in that it controls the activity of other oncogenes. POK proteins are critical in embryonic development, cellular differentiation, and oncogenesis.

Long Name

Zinc Finger and BTB Domain-Containing Protein 7A

Alternate Names

FBI-1, LRF, Pokemon, TIP21

Entrez Gene IDs

51341 (Human); 16969 (Mouse)

Gene Symbol

ZBTB7A

Additional ZBTB7A/Pokemon Products

Product Documents for ZBTB7A/Pokemon Antibody

Certificate of Analysis

To download a Certificate of Analysis, please enter a lot number in the search box below.

Product Specific Notices for ZBTB7A/Pokemon Antibody

This product is for research use only and is not approved for use in humans or in clinical diagnosis. Primary Antibodies are guaranteed for 1 year from date of receipt.

Loading...
Loading...
Loading...
Loading...