Skip to main content

YTHDF2 Antibody (HL2910)

Novus Biologicals, part of Bio-Techne | Catalog # NBP3-48749

Recombinant Monoclonal Antibody
Novus Biologicals, part of Bio-Techne
Catalog #
Availability
Size / Price
Qty
Loading...
NBP3-48749

Key Product Details

Validated by

Orthogonal Validation

Species Reactivity

Human, Mouse, Rat

Applications

Immunohistochemistry, Immunohistochemistry-Paraffin, Western Blot, Immunocytochemistry/ Immunofluorescence

Label

Unconjugated

Antibody Source

Recombinant Monoclonal Rabbit IgG Clone # HL2910

Concentration

Concentrations vary lot to lot. See vial label for concentration. If unlisted please contact technical services.

Product Specifications

Immunogen

Recombinant fragment of human YTHDF2.

Clonality

Monoclonal

Host

Rabbit

Isotype

IgG

Description

Novus Biologicals Rabbit YTHDF2 Antibody (HL2910) (NBP3-48749) is a recombinant monoclonal antibody validated for use in IHC, WB and ICC/IF. All Novus Biologicals antibodies are covered by our 100% guarantee.

Scientific Data Images for YTHDF2 Antibody (HL2910)

YTHDF2 Antibody (HL2910)

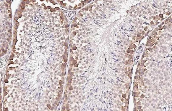
Immunohistochemistry-Paraffin: YTHDF2 Antibody (HL2910) [NBP3-48749] -

YTHDF2 antibody [HL2910] detects YTHDF2 protein by immunohistochemical analysis.Sample: Paraffin-embedded mouse testis.YTHDF2 stained by YTHDF2 antibody [HL2910] (NBP3-48749) diluted at 1:100.Antigen Retrieval: Citrate buffer, pH 6.0, 15 min
YTHDF2 Antibody (HL2910)

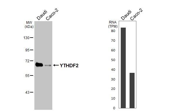
Western Blot: YTHDF2 Antibody (HL2910) [NBP3-48749] -

Various tissue extracts (50 ug) were separated by 7.5% SDS-PAGE, and the membrane was blotted with YTHDF2 antibody [HL2910] (NBP3-48749) diluted at 1:1000. The HRP-conjugated anti-rabbit IgG antibody was used to detect the primary antibody.
YTHDF2 Antibody (HL2910)

Immunohistochemistry-Paraffin: YTHDF2 Antibody (HL2910) [NBP3-48749] -

YTHDF2 antibody [HL2910] detects YTHDF2 protein by immunohistochemical analysis.Sample: Paraffin-embedded rat tissues.YTHDF2 stained by YTHDF2 antibody [HL2910] (NBP3-48749) diluted at 1:100.Antigen Retrieval: Citrate buffer, pH 6.0, 15 min

Applications for YTHDF2 Antibody (HL2910)

Application
Recommended Usage

Western Blot

1:500-1:3000

Formulation, Preparation, and Storage

Purification

Protein A purified

Formulation

PBS

Preservative

No Preservative

Concentration

Concentrations vary lot to lot. See vial label for concentration. If unlisted please contact technical services.

Shipping

The product is shipped with polar packs. Upon receipt, store it immediately at the temperature recommended below.

Stability & Storage

Store at 4C short term. Aliquot and store at -20C long term. Avoid freeze-thaw cycles.

Background: YTHDF2

Alternate Names

CLL-associated antigen KW-14, HGRG8YTH domain family 2, High-glucose-regulated protein 8, NY-REN-2,9430020E02Rik, Renal carcinoma antigen NY-REN-2, YTH domain family protein 2, YTH domain family, member 2

Gene Symbol

YTHDF2

Additional YTHDF2 Products

Product Documents for YTHDF2 Antibody (HL2910)

Certificate of Analysis

To download a Certificate of Analysis, please enter a lot number in the search box below.

Product Specific Notices for YTHDF2 Antibody (HL2910)

This product is for research use only and is not approved for use in humans or in clinical diagnosis. Primary Antibodies are guaranteed for 1 year from date of receipt.

Loading...
Loading...
Loading...
Loading...