Skip to main content

Yes Antibody (JE37-26)

Novus Biologicals, part of Bio-Techne | Catalog # NBP3-33107

Recombinant Monoclonal Antibody
Novus Biologicals, part of Bio-Techne
Catalog #
Availability
Size / Price
Qty
Loading...
NBP3-33107

Key Product Details

Species Reactivity

Human, Mouse

Applications

Immunohistochemistry, Immunohistochemistry-Paraffin, Western Blot

Label

Unconjugated

Antibody Source

Recombinant Monoclonal Rabbit IgG Clone # JE37-26 expressed in HEK293

Concentration

1 mg/ml

Product Specifications

Immunogen

Synthetic peptide within Human Yes aa 480 to the C-terminus. (Uniprot: P07947)

Localization

Cytoplasm > cytosol.

Clonality

Monoclonal

Host

Rabbit

Isotype

IgG

Theoretical MW

61 kDa.
Disclaimer note: The observed molecular weight of the protein may vary from the listed predicted molecular weight due to post translational modifications, post translation cleavages, relative charges, and other experimental factors.

Description

Novus Biologicals Rabbit Yes Antibody (JE37-26) (NBP3-33107) is a recombinant monoclonal antibody validated for use in IHC and WB. All Novus Biologicals antibodies are covered by our 100% guarantee.

Scientific Data Images for Yes Antibody (JE37-26)

Yes Antibody (JE37-26)

Western Blot: Yes Antibody (JE37-26) [NBP3-33107]

Western Blot: Yes Antibody (JE37-26) [NBP3-33107] - Western blot analysis of Yes on different lysates with Rabbit anti-Yes antibody (NBP3-33107) at 1/1,000 dilution.

Lane 1: HEK-293 cell lysate
Lane 2: HepG2 cell lysate
Lane 3: HeLa cell lysate
Lane 4: A549 cell lysate

Lysates/proteins at 20 ug/Lane.

Predicted band size: 61 kDa
Observed band size: 61 kDa

Exposure time: 3 minutes;

4-20% SDS-PAGE gel.

Proteins were transferred to a PVDF membrane and blocked with 5% NFDM/TBST for 1 hour at room temperature. The primary antibody (NBP3-33107) at 1/1,000 dilution was used in 5% NFDM/TBST at 4C overnight. Goat Anti-Rabbit IgG - HRP Secondary Antibody at 1:100,000 dilution was used for 1 hour at room temperature.
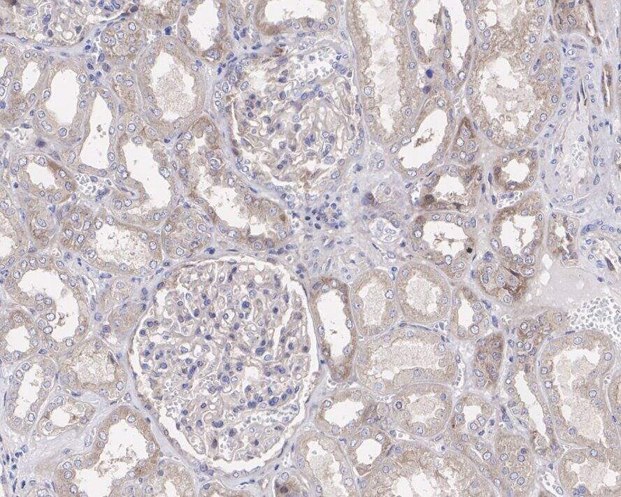
Yes Antibody (JE37-26)

Immunohistochemistry: Yes Antibody (JE37-26) [NBP3-33107]

Immunohistochemistry: Yes Antibody (JE37-26) [NBP3-33107] - Immunohistochemical analysis of paraffin-embedded human kidney tissue with Rabbit anti-Yes antibody (NBP3-33107) at 1/200 dilution.

The section was pre-treated using heat mediated antigen retrieval with Tris-EDTA buffer (pH 9.0) for 20 minutes. The tissues were blocked in 1% BSA for 20 minutes at room temperature, washed with ddH2O and PBS, and then probed with the primary antibody (NBP3-33107) at 1/200 dilution for 1 hour at room temperature. The detection was performed using an HRP conjugated compact polymer system. DAB was used as the chromogen. Tissues were counterstained with hematoxylin and mounted with DPX.

Applications for Yes Antibody (JE37-26)

Application
Recommended Usage

Immunohistochemistry-Paraffin

1:200

Western Blot

1:1000

Formulation, Preparation, and Storage

Purification

Protein A purified

Formulation

1*TBS (pH7.4), 0.05% BSA and 40% Glycerol

Preservative

0.05% Sodium Azide

Concentration

1 mg/ml

Shipping

The product is shipped with polar packs. Upon receipt, store it immediately at the temperature recommended below.

Stability & Storage

Store at 4C short term. Aliquot and store at -20C long term. Avoid freeze-thaw cycles.

Background: Yes

Yes1 is the cellular homolog of the Yamaguchi sarcoma virus oncogene. The encoded protein has tyrosine kinase activity and belongs to the src family of proteins. This gene lies in close proximity to thymidylate synthase gene on chromosome 18, and a corresponding pseudogene has been found on chromosome 22. [provided by RefSeq]

Long Name

V-Yes-1 Yamaguchi Sarcoma Viral Oncogene Homolog 1

Alternate Names

YES1

Gene Symbol

YES1

Additional Yes Products

Product Documents for Yes Antibody (JE37-26)

Certificate of Analysis

To download a Certificate of Analysis, please enter a lot number in the search box below.

Product Specific Notices for Yes Antibody (JE37-26)

This product is for research use only and is not approved for use in humans or in clinical diagnosis. Primary Antibodies are guaranteed for 1 year from date of receipt.

Loading...
Loading...
Loading...
Loading...