Skip to main content

Key Product Details

Validated by

Knockout/Knockdown, Biological Validation

Species Reactivity

Validated:

Human, Mouse, Rat, Canine, Zebrafish

Cited:

Human, Mouse, Rat, Canine, Fish - Danio rerio (Zebrafish)

Applications

Validated:

Knockout Validated, Immunohistochemistry, Immunohistochemistry-Paraffin, Immunohistochemistry-Frozen, Western Blot, Immunoblotting, Immunocytochemistry/ Immunofluorescence, Simple Western, Immunoprecipitation, Chromatin Immunoprecipitation (ChIP), Knockdown Validated

Cited:

Immunohistochemistry, Immunohistochemistry-Paraffin, Immunohistochemistry-Frozen, Western Blot, Immunocytochemistry/ Immunofluorescence, Immunoprecipitation, Chromatin Immunoprecipitation, Chemotaxis, IF/IHC, IHC-F, Knockdown Validated

Label

Unconjugated

Antibody Source

Polyclonal Rabbit IgG

Format

BSA Free

Concentration

1.0 mg/ml

Product Specifications

Immunogen

This YAP1 Antibody was developed against a partial recombinant human YAP1 protein expressed in bacteria.

Reactivity Notes

Use in Human reported in scientific literature (PMID:33737385). Use in Zebrafish reported in scientific literature (PMID:28350986).

Localization

Nuclear

Specificity

Expected reactivity based on immunogen homology: Isoform 4 (100%), Isoform 6 (100%)

Clonality

Polyclonal

Host

Rabbit

Isotype

IgG

Theoretical MW

48 kDa.
Disclaimer note: The observed molecular weight of the protein may vary from the listed predicted molecular weight due to post translational modifications, post translation cleavages, relative charges, and other experimental factors.

Description

Novus Biologicals Knockout (KO) Validated Rabbit YAP1 Antibody - BSA Free (NB110-58358) is a polyclonal antibody validated for use in IHC, WB, ICC/IF, Simple Western, IP and ChIP. Anti-YAP1 Antibody: Cited in 90 publications. All Novus Biologicals antibodies are covered by our 100% guarantee.

Scientific Data Images for YAP1 Antibody - BSA Free

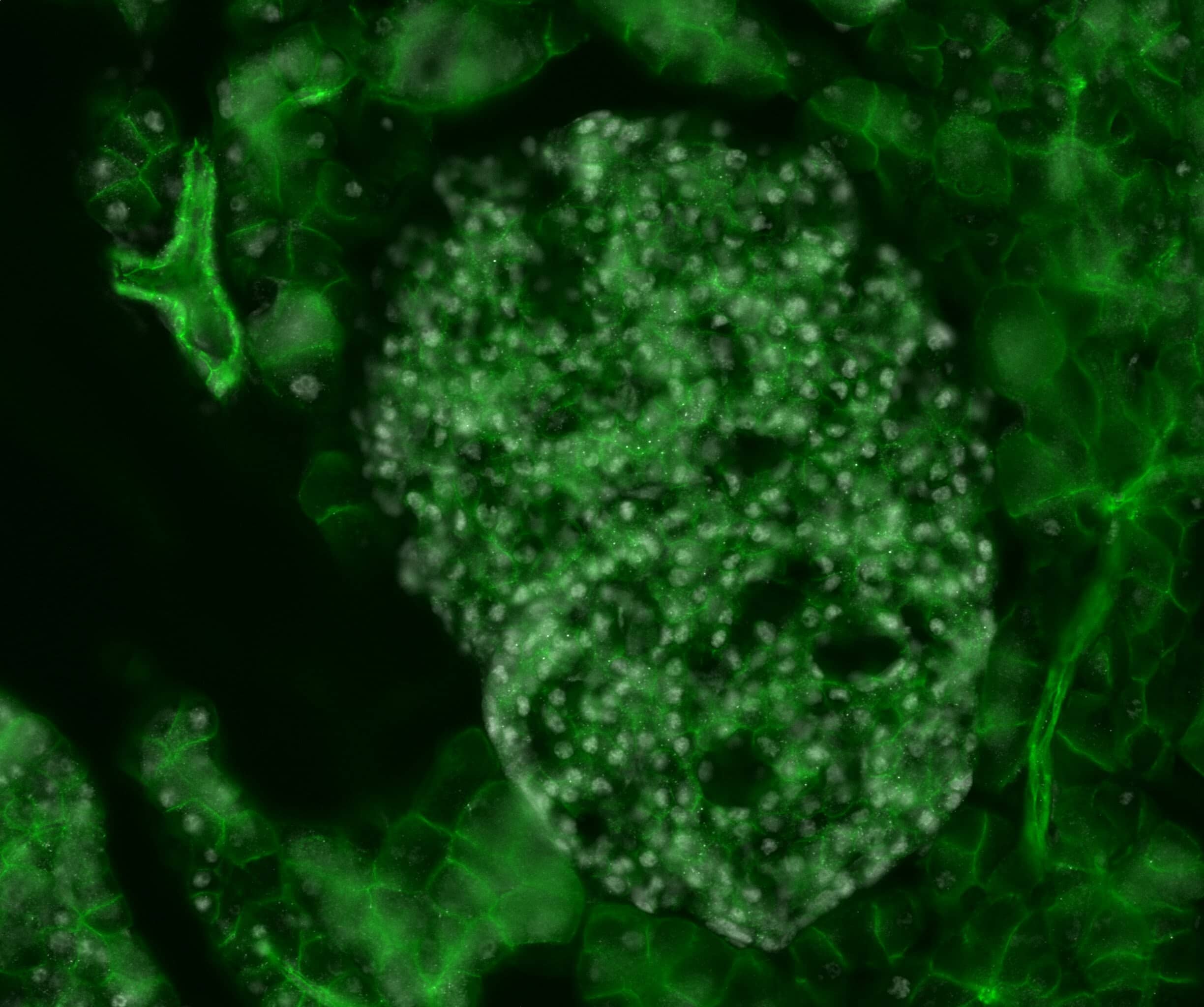
Immunocytochemistry/ Immunofluorescence: YAP1 Antibody - BSA Free [NB110-58358]

Immunocytochemistry/ Immunofluorescence: YAP1 Antibody - BSA Free [NB110-58358]

Immunocytochemistry/Immunofluorescence: YAP1 Antibody - BSA Free [NB110-58358] - Caco-2 cells were fixed in 4% paraformaldehyde for 10 minutes and permeabilized in 0.5% Triton X-100 in PBS for 5 minutes. The cells were incubated with YAP1 Antibody (NB110-58358) at 1 ug/ml overnight at 4C and detected with an anti-rabbit DyLight 488 (Green) at a 1:1000 dilution for 60 minutes. Nuclei were counterstained with DAPI (Blue). Cells were imaged using a 40X objective.
YAP1 Antibody - BSA Free-Western Blot-NB110-58358-img0016.jpg
Immunocytochemistry/ Immunofluorescence: YAP1 Antibody - BSA Free [NB110-58358]

Immunocytochemistry/ Immunofluorescence: YAP1 Antibody - BSA Free [NB110-58358]

YAP1-Antibody---BSA-Free-Immunocytochemistry-Immunofluorescence-NB110-58358-img0015.jpg

Applications for YAP1 Antibody - BSA Free

Application
Recommended Usage

Immunoblotting

reported in scientific literature (PMID 28406163)

Immunohistochemistry

1:50-1:200

Immunohistochemistry-Frozen

reported in scientific literature (PMID 28581498)

Immunohistochemistry-Paraffin

1:50-1:200

Immunoprecipitation

2-10 ug

Knockdown Validated

reported in scientific literature (PMID 28406163)

Simple Western

1:12.5

Western Blot

1:1000
Application Notes
In Simple Western only 10 - 15 uL of the recommended dilution is used per data point.
See Simple Western Antibody Database for Simple Western validation: Tested in HeLa lysate 0.1 mg/mL, separated by Size, antibody dilution of 1:12.5, apparent MW was 74 kDa. Separated by Size-Wes, Sally Sue/Peggy Sue.

Reviewed Applications

Read 3 reviews rated 4 using NB110-58358 in the following applications:

Formulation, Preparation, and Storage

Purification

Immunogen affinity purified

Formulation

PBS

Format

BSA Free

Preservative

0.02% Sodium Azide

Concentration

1.0 mg/ml

Shipping

The product is shipped with polar packs. Upon receipt, store it immediately at the temperature recommended below.

Stability & Storage

Aliquot and store at -20C or -80C. Avoid freeze-thaw cycles.

Background: YAP1

The transcriptional coactivator Yes-associated protein (YAP), also known as Yes-associated protein 1 (YAP1), Yes-Associated Protein YAP65 Homolog, Protein Yorkie Homolog and YAP65 has a theoretical molecular weight of 65 kDa. The YAP1 gene encodes the human ortholog of chicken YAP protein which binds to the SH3 domain of the Yes proto-oncogene product. YAP1 shares homology with the WW domain of transcriptional co-activator with PDZ-binding motif (TAZ), which functions as a transcriptional co-activator by binding to the PPXY motif present in transcription factors and is likely involved in protein-protein interaction. YAP has been identified as a core regulatory mechanism that blocks mammalian glial cell proliferation and cellular reprogramming following damage (1).

YAP plays a role in the development and progression of multiple cancers as a transcriptional regulator of the Hippo signaling pathway. YAP1 encodes a nuclear effector of the Hippo signaling pathway which is involved in development, growth, repair, and homeostasis to play a pivotal role in controlling cell growth and organ size and has emerged as a key player in tumor suppression (2,3). Deregulation of the Hippo pathway causes tumor formation and malignancy, with YAP being a key oncogenic driver in liver carcinogenesis (2) and may function as a potential target for cancer treatment (3).

References

1. Rueda, E. M., Hall, B. M., Hill, M. C., Swinton, P. G., Tong, X., Martin, J. F., & Poche, R. A. (2019). The Hippo Pathway Blocks Mammalian Retinal Muller Glial Cell Reprogramming. Cell Rep, 27(6), 1637-1649.e1636. doi:10.1016/j.celrep.2019.04.047

2. Liu, A. M., Xu, M. Z., Chen, J., Poon, R. T., & Luk, J. M. (2010). Targeting YAP and Hippo signaling pathway in liver cancer. Expert Opin Ther Targets, 14(8), 855-868. doi:10.1517/14728222.2010.499361

3.Ye, S., & Eisinger-Mathason, T. S. (2016). Targeting the Hippo pathway: Clinical implications and therapeutics. Pharmacol Res, 103, 270-278. doi:10.1016/j.phrs.2015.11.025

Long Name

Yes-associated Protein 1

Alternate Names

YAP2, YAP65, YKI, Yorkie Homolog

Gene Symbol

YAP1

Additional YAP1 Products

Product Documents for YAP1 Antibody - BSA Free

Certificate of Analysis

To download a Certificate of Analysis, please enter a lot number in the search box below.

Product Specific Notices for YAP1 Antibody - BSA Free

This product is for research use only and is not approved for use in humans or in clinical diagnosis. Primary Antibodies are guaranteed for 1 year from date of receipt.

Loading...
Loading...
Loading...
Loading...
Loading...