Skip to main content

XRCC6BP1 Antibody (OTI5F3)

Novus Biologicals, part of Bio-Techne | Catalog # NBP2-46374

Novus Biologicals, part of Bio-Techne
Catalog #
Availability
Size / Price
Qty
Loading...
NBP2-46374

Key Product Details

Species Reactivity

Human

Applications

Immunohistochemistry, Immunohistochemistry-Paraffin, Western Blot

Label

Unconjugated

Antibody Source

Monoclonal Mouse IgG1 Clone # OTI5F3

Concentration

1 mg/ml

Product Specifications

Immunogen

Full length human recombinant protein of human XRCC6BP1 (NP_150592) produced in E.coli.

Clonality

Monoclonal

Host

Mouse

Isotype

IgG1

Theoretical MW

27.9 kDa.
Disclaimer note: The observed molecular weight of the protein may vary from the listed predicted molecular weight due to post translational modifications, post translation cleavages, relative charges, and other experimental factors.

Description

Novus Biologicals Mouse XRCC6BP1 Antibody (OTI5F3) (NBP2-46374) is a monoclonal antibody validated for use in IHC and WB. All Novus Biologicals antibodies are covered by our 100% guarantee.

Scientific Data Images for XRCC6BP1 Antibody (OTI5F3)

Western Blot: XRCC6BP1 Antibody (OTI5F3) [NBP2-46374]

Western Blot: XRCC6BP1 Antibody (OTI5F3) [NBP2-46374]

Western Blot: XRCC6BP1 Antibody (5F3) [NBP2-46374] - Analysis of HEK293T cells were transfected with the pCMV6-ENTRY control (Left lane) or pCMV6-ENTRY XRCC6BP1.
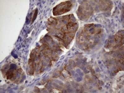
Immunohistochemistry: XRCC6BP1 Antibody (OTI5F3) [NBP2-46374]

Immunohistochemistry: XRCC6BP1 Antibody (OTI5F3) [NBP2-46374]

Immunohistochemistry: XRCC6BP1 Antibody (5F3) [NBP2-46374] - Analysis of Human bladder tissue. (Heat-induced epitope retrieval by 1mM EDTA in 10mM Tris buffer (pH8.5) at 120C for 3 min)
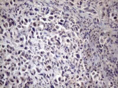
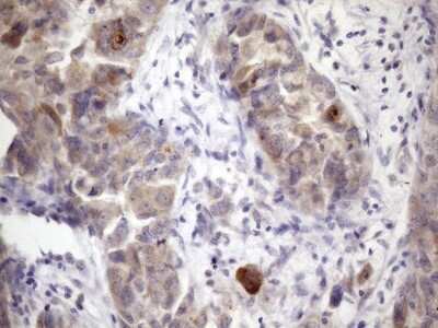
Immunohistochemistry: XRCC6BP1 Antibody (OTI5F3) [NBP2-46374]

Immunohistochemistry: XRCC6BP1 Antibody (OTI5F3) [NBP2-46374]

Immunohistochemistry: XRCC6BP1 Antibody (5F3) [NBP2-46374] - Analysis of Adenocarcinoma of Human ovary tissue.(Heat-induced epitope retrieval by 1mM EDTA in 10mM Tris buffer (pH8.5) at 120C for 3 min)

Applications for XRCC6BP1 Antibody (OTI5F3)

Application
Recommended Usage

Immunohistochemistry

1:150

Western Blot

1:500

Formulation, Preparation, and Storage

Purification

Immunogen affinity purified

Formulation

PBS (pH 7.3), 1.0% BSA and 50% Glycerol

Preservative

0.02% Sodium Azide

Concentration

1 mg/ml

Shipping

The product is shipped with polar packs. Upon receipt, store it immediately at the temperature recommended below.

Stability & Storage

Store at -20C. Avoid freeze-thaw cycles.

Background: XRCC6BP1

Alternate Names

EC 3.4.24, EC 3.4.24.-, Ku70-binding protein 3, KUB3Ku70 binding protein 3, MGC134817, MGC134818, mitochondrial inner membrane protease ATP23 homolog, XRCC6 binding protein 1, XRCC6-binding protein 1

Gene Symbol

ATP23

Additional XRCC6BP1 Products

Product Documents for XRCC6BP1 Antibody (OTI5F3)

Certificate of Analysis

To download a Certificate of Analysis, please enter a lot number in the search box below.

Product Specific Notices for XRCC6BP1 Antibody (OTI5F3)

This product is for research use only and is not approved for use in humans or in clinical diagnosis. Primary Antibodies are guaranteed for 1 year from date of receipt.

Loading...
Loading...
Loading...
Loading...