Skip to main content

XLF Antibody

Novus Biologicals, part of Bio-Techne | Catalog # NB100-2258

Novus Biologicals, part of Bio-Techne
Catalog #
Availability
Size / Price
Qty
Loading...
NB100-2258

Key Product Details

Species Reactivity

Validated:

Human

Cited:

Human

Applications

Validated:

Immunohistochemistry, Immunohistochemistry-Paraffin, Western Blot, Immunoprecipitation

Cited:

Western Blot

Label

Unconjugated

Antibody Source

Polyclonal Rabbit IgG

Concentration

0.2 mg/ml

Product Specifications

Immunogen

The immunogen recognized by this antibody maps to a region between residue 250 and the C-terminus (residue 299) of human XRCC4-Like Factor using the numbering given in entry NP_079058.1 (GeneID 79840).

Clonality

Polyclonal

Host

Rabbit

Isotype

IgG

Description

Novus Biologicals Rabbit XLF Antibody (NB100-2258) is a polyclonal antibody validated for use in IHC, WB and IP. Anti-XLF Antibody: Cited in 4 publications. All Novus Biologicals antibodies are covered by our 100% guarantee.

Scientific Data Images for XLF Antibody

Western Blot: XLF Antibody [NB100-2258]

Western Blot: XLF Antibody [NB100-2258]

Western Blot: XLF Antibody [NB100-2258] - Detection of Human XLF on HeLa whole cell lysate using NB100-2258. XLF was also immunoprecipitated using rabbit anti-XLF antibody NB100-2257.
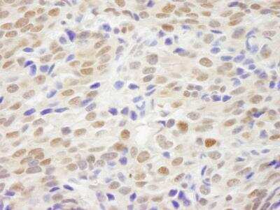
Immunohistochemistry-Paraffin: XLF Antibody [NB100-2258]

Immunohistochemistry-Paraffin: XLF Antibody [NB100-2258]

Immunohistochemistry-Paraffin: XLF Antibody [NB100-2258] - Section of human breast carcinoma. Antibody: Affinity purified rabbit anti- XLF used at a dilution of 1:200 (1ug/ml). Detection: DAB

Applications for XLF Antibody

Application
Recommended Usage

Immunohistochemistry

1:100 - 1:500

Immunohistochemistry-Paraffin

1:100 - 1:500

Immunoprecipitation

2 -5 ug/mg lysate

Western Blot

1:2000 -1:10000
Application Notes
Epitope retrieval with citrate buffer pH 6.0 is recommended for FFPE tissue sections.

Formulation, Preparation, and Storage

Purification

Immunogen affinity purified

Formulation

TBS and 0.1% BSA

Preservative

0.09% Sodium Azide

Concentration

0.2 mg/ml

Shipping

The product is shipped with polar packs. Upon receipt, store it immediately at the temperature recommended below.

Stability & Storage

Store at 4C. Do not freeze.

Background: XLF

Double-strand breaks in DNA result from genotoxic stresses and are among the most damaging of DNA lesions. This gene encodes a DNA repair factor essential for the nonhomologous end-joining pathway, which preferentially mediates repair of double-stranded breaks. Mutations in this gene cause different kinds of severe combined immunodeficiency disorders.

Alternate Names

Cernunnos, non-homologous end-joining factor 1, nonhomologous end-joining factor 1, Protein cernunnos, XLFFLJ12610, XRCC4-like factor

Entrez Gene IDs

79840 (Human)

Gene Symbol

NHEJ1

Additional XLF Products

Product Documents for XLF Antibody

Certificate of Analysis

To download a Certificate of Analysis, please enter a lot number in the search box below.

Product Specific Notices for XLF Antibody

This product is for research use only and is not approved for use in humans or in clinical diagnosis. Primary Antibodies are guaranteed for 1 year from date of receipt.

Loading...
Loading...
Loading...
Loading...