Skip to main content

XLF Antibody (PSH01-07)

Novus Biologicals, part of Bio-Techne | Catalog # NBP3-33106

Recombinant Monoclonal Antibody
Novus Biologicals, part of Bio-Techne
Catalog #
Availability
Size / Price
Qty
Loading...
NBP3-33106

Key Product Details

Species Reactivity

Human

Applications

Immunohistochemistry, Immunohistochemistry-Paraffin, Western Blot

Label

Unconjugated

Antibody Source

Recombinant Monoclonal Rabbit IgG Clone # PSH01-07 expressed in HEK293

Concentration

1 mg/ml

Product Specifications

Immunogen

Recombinant protein within human XLF aa 1-250 / 299. (Uniprot: Q9H9Q4)

Localization

Nucleus, Chromosome.

Clonality

Monoclonal

Host

Rabbit

Isotype

IgG

Theoretical MW

33 kDa.
Disclaimer note: The observed molecular weight of the protein may vary from the listed predicted molecular weight due to post translational modifications, post translation cleavages, relative charges, and other experimental factors.

Description

Novus Biologicals Rabbit XLF Antibody (PSH01-07) (NBP3-33106) is a recombinant monoclonal antibody validated for use in IHC and WB. All Novus Biologicals antibodies are covered by our 100% guarantee.

Scientific Data Images for XLF Antibody (PSH01-07)

XLF Antibody (PSH01-07)

Western Blot: XLF Antibody (PSH01-07) [NBP3-33106]

Western Blot: XLF Antibody (PSH01-07) [NBP3-33106] - Western blot analysis of XLF on different lysates with Rabbit anti-XLF antibody (NBP3-33106) at 1/1,000 dilution.

Lane 1: HepG2 cell lysate (20 ug/Lane)
Lane 2: 293T cell lysate (20 ug/Lane)
Lane 3: NCCIT cell lysate (30 ug/Lane)
Lane 4: HeLa cell lysate (30 ug/Lane)
Lane 5: Jurkat cell lysate (30 ug/Lane)

Predicted band size: 33 kDa
Observed band size: 37 kDa

Exposure time: 2 minutes 10 seconds;

4-20% SDS-PAGE gel.

Proteins were transferred to a PVDF membrane and blocked with 5% NFDM/TBST for 1 hour at room temperature. The primary antibody (NBP3-33106) at 1/1,000 dilution was used in 5% NFDM/TBST at room temperature for 2 hours. Goat Anti-Rabbit IgG - HRP Secondary Antibody at 1:100,000 dilution was used for 1 hour at room temperature.
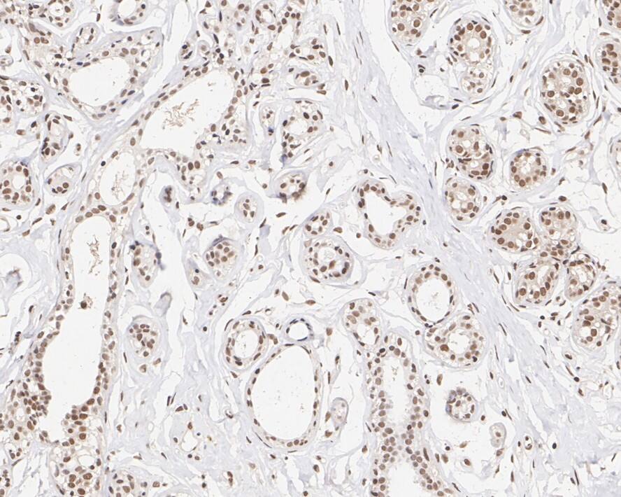
XLF Antibody (PSH01-07)

Immunohistochemistry: XLF Antibody (PSH01-07) [NBP3-33106]

Immunohistochemistry: XLF Antibody (PSH01-07) [NBP3-33106] - Immunohistochemical analysis of paraffin-embedded human breast tissue with Rabbit anti-XLF antibody (NBP3-33106) at 1/1,000 dilution.

The section was pre-treated using heat mediated antigen retrieval with sodium citrate buffer (pH 6.0) for 2 minutes. The tissues were blocked in 1% BSA for 20 minutes at room temperature, washed with ddH2O and PBS, and then probed with the primary antibody (NBP3-33106) at 1/1,000 dilution for 1 hour at room temperature. The detection was performed using an HRP conjugated compact polymer system. DAB was used as the chromogen. Tissues were counterstained with hematoxylin and mounted with DPX.

Applications for XLF Antibody (PSH01-07)

Application
Recommended Usage

Immunohistochemistry-Paraffin

1:1000

Western Blot

1:1000

Formulation, Preparation, and Storage

Purification

Protein A purified

Formulation

PBS (pH7.4), 0.1% BSA and 40% Glycerol

Preservative

0.05% Sodium Azide

Concentration

1 mg/ml

Shipping

The product is shipped with polar packs. Upon receipt, store it immediately at the temperature recommended below.

Stability & Storage

Store at 4C short term. Aliquot and store at -20C long term. Avoid freeze-thaw cycles.

Background: XLF

Double-strand breaks in DNA result from genotoxic stresses and are among the most damaging of DNA lesions. This gene encodes a DNA repair factor essential for the nonhomologous end-joining pathway, which preferentially mediates repair of double-stranded breaks. Mutations in this gene cause different kinds of severe combined immunodeficiency disorders.

Alternate Names

Cernunnos, non-homologous end-joining factor 1, nonhomologous end-joining factor 1, Protein cernunnos, XLFFLJ12610, XRCC4-like factor

Gene Symbol

NHEJ1

Additional XLF Products

Product Documents for XLF Antibody (PSH01-07)

Certificate of Analysis

To download a Certificate of Analysis, please enter a lot number in the search box below.

Product Specific Notices for XLF Antibody (PSH01-07)

This product is for research use only and is not approved for use in humans or in clinical diagnosis. Primary Antibodies are guaranteed for 1 year from date of receipt.

Loading...
Loading...
Loading...
Loading...