Skip to main content

XAB2 Antibody - BSA Free

Novus Biologicals, part of Bio-Techne | Catalog # NBP2-20916

Novus Biologicals, part of Bio-Techne
Catalog #
Availability
Size / Price
Qty
Loading...
NBP2-20916

Key Product Details

Species Reactivity

Validated:

Human, Mouse

Predicted:

Bovine (100%), Rat (100%). Backed by our 100% Guarantee.

Applications

Immunohistochemistry, Immunohistochemistry-Paraffin, Western Blot

Label

Unconjugated

Antibody Source

Polyclonal Rabbit IgG

Format

BSA Free

Concentration

Concentrations vary lot to lot. See vial label for concentration. If unlisted please contact technical services.

Product Specifications

Immunogen

Recombinant protein encompassing a sequence within the N-terminus region of human XAB2. The exact sequence is proprietary.

Reactivity Notes

Xenopus laevis (80%).

Localization

Nucleus (By similarity)

Clonality

Polyclonal

Host

Rabbit

Isotype

IgG

Theoretical MW

100 kDa.
Disclaimer note: The observed molecular weight of the protein may vary from the listed predicted molecular weight due to post translational modifications, post translation cleavages, relative charges, and other experimental factors.

Description

Novus Biologicals Rabbit XAB2 Antibody - BSA Free (NBP2-20916) is a polyclonal antibody validated for use in IHC and WB. All Novus Biologicals antibodies are covered by our 100% guarantee.

Scientific Data Images for XAB2 Antibody - BSA Free

Western Blot: XAB2 Antibody [NBP2-20916]

Western Blot: XAB2 Antibody [NBP2-20916]

Western Blot: XAB2 Antibody [NBP2-20916] - Sample (30 ug of whole cell lysate) A: NIH-3T3 B: JC C: BCL-1 7. 5% SDS PAGE gel, diluted at 1:1000.
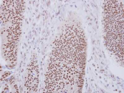
Immunohistochemistry-Paraffin: XAB2 Antibody [NBP2-20916]

Immunohistochemistry-Paraffin: XAB2 Antibody [NBP2-20916]

Immunohistochemistry-Paraffin: XAB2 Antibody [NBP2-20916] - Immunohistochemical analysis of paraffin-embedded Colon ca, using antibody at 1:250 dilution.
Western Blot: XAB2 Antibody [NBP2-20916]

Western Blot: XAB2 Antibody [NBP2-20916]

Western Blot: XAB2 Antibody [NBP2-20916] - Sample (30 ug of whole cell lysate) A: HeLa 7. 5% SDS PAGE gel, diluted at 1:1000.

Applications for XAB2 Antibody - BSA Free

Application
Recommended Usage

Immunohistochemistry

1:100-1:1000

Immunohistochemistry-Paraffin

1:100-1:1000

Western Blot

1:500-1:3000

Formulation, Preparation, and Storage

Purification

Antigen Affinity-purified

Formulation

0.1M Tris, 0.1M Glycine, 20% Glycerol

Format

BSA Free

Preservative

0.01% Thimerosal

Concentration

Concentrations vary lot to lot. See vial label for concentration. If unlisted please contact technical services.

Shipping

The product is shipped with polar packs. Upon receipt, store it immediately at the temperature recommended below.

Stability & Storage

Aliquot and store at -20C or -80C. Avoid freeze-thaw cycles.

Background: XAB2

Involved in transcription-coupled repair (TCR), transcription and pre-mRNA splicing.

Alternate Names

DKFZp762C1015, HCNPcrn-related protein kim1, HCRN, KIAA1177, NTC90, Protein HCNP, SYF1 homolog, RNA splicing factor, SYF1pre-mRNA-splicing factor SYF1, XPA binding protein 2, XPA-binding protein 2

Gene Symbol

XAB2

UniProt

Additional XAB2 Products

Product Documents for XAB2 Antibody - BSA Free

Certificate of Analysis

To download a Certificate of Analysis, please enter a lot number in the search box below.

Product Specific Notices for XAB2 Antibody - BSA Free

This product is for research use only and is not approved for use in humans or in clinical diagnosis. Primary Antibodies are guaranteed for 1 year from date of receipt.

Loading...
Loading...
Loading...
Loading...

⚠ WARNING: This product can expose you to chemicals including mercury, which is known to the State of California to cause reproductive toxicity with developmental effects.  For more information go to www.P65Warnings.ca.gov.