Skip to main content

WWP1 Antibody (1A7) - Azide and BSA Free

Novus Biologicals, part of Bio-Techne | Catalog # H00011059-M01

Novus Biologicals, part of Bio-Techne
Catalog #
Availability
Size / Price
Qty
Loading...
H00011059-M01

Key Product Details

Species Reactivity

Validated:

Human, Primate

Cited:

Human, Primate

Applications

Validated:

Immunohistochemistry, Immunohistochemistry-Paraffin, Western Blot, ELISA, Immunocytochemistry/ Immunofluorescence, Immunoprecipitation

Cited:

Immunohistochemistry-Paraffin, Western Blot, Immunoprecipitation

Label

Unconjugated

Antibody Source

Monoclonal Mouse IgG2a Kappa Clone # 1A7

Format

Azide and BSA Free

Concentration

This product is unpurified. The exact concentration of antibody is not quantifiable.

Product Specifications

Immunogen

WWP1 (NP_008944, 152 a.a. ~ 260 a.a) partial recombinant protein with GST tag. MW of the GST tag alone is 26 KDa. CSSSPTIEIQENGDALHENGEPSARTTARLAVEGTNGIDNHVPTSTLVQNSCCSYVVNGDNTPSSPSQVAARPKNTPAPKPLASEPADDTVNGESSSFAPTDNASVTGT

Reactivity Notes

Primate reactivity reported in scientific literature (PMID: 23573293).

Specificity

WWP1 - WW domain containing E3 ubiquitin protein ligase 1 (1A7)

Clonality

Monoclonal

Host

Mouse

Isotype

IgG2a Kappa

Description

Novus Biologicals Mouse WWP1 Antibody (1A7) - Azide and BSA Free (H00011059-M01) is a monoclonal antibody validated for use in IHC, WB, ELISA, ICC/IF and IP. Anti-WWP1 Antibody: Cited in 19 publications. All Novus Biologicals antibodies are covered by our 100% guarantee.

Scientific Data Images for WWP1 Antibody (1A7) - Azide and BSA Free

Western Blot: WWP1 Antibody (1A7) [H00011059-M01]

Western Blot: WWP1 Antibody (1A7) [H00011059-M01]

Western Blot: WWP1 Antibody (1A7) [H00011059-M01] - Analysis of WWP1 expression in transfected 293T cell line by WWP1 monoclonal antibody (M01A), clone 1A7.Lane 1: WWP1 transfected lysate(105.2 KDa).Lane 2: Non-transfected lysate.
Immunocytochemistry/ Immunofluorescence: WWP1 Antibody (1A7) [H00011059-M01]

Immunocytochemistry/ Immunofluorescence: WWP1 Antibody (1A7) [H00011059-M01]

Immunocytochemistry/Immunofluorescence: WWP1 Antibody (1A7) [H00011059-M01] - Analysis of monoclonal antibody to WWP1 on A-431 cell. Antibody concentration 10 ug/ml.
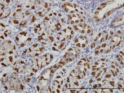
Immunohistochemistry-Paraffin: WWP1 Antibody (1A7) [H00011059-M01]

Immunohistochemistry-Paraffin: WWP1 Antibody (1A7) [H00011059-M01]

Immunohistochemistry-Paraffin: WWP1 Antibody (1A7) [H00011059-M01] - Analysis of monoclonal antibody to WWP1 on formalin-fixed paraffin-embedded human stomach. Antibody concentration 3 ug/ml.

Applications for WWP1 Antibody (1A7) - Azide and BSA Free

Application
Recommended Usage

Immunocytochemistry/ Immunofluorescence

10ug/mL

Immunohistochemistry-Paraffin

3ug/mL

Western Blot

1:500
Application Notes
Antibody reactive against cell lysate and recombinant protein for Western Blot. Has also been used for immunofluoresence, immunohistochemistry (paraffin), and ELISA.

Formulation, Preparation, and Storage

Purification

Ascites

Formulation

In 1x PBS, pH 7.4

Format

Azide and BSA Free

Preservative

No Preservative

Concentration

This product is unpurified. The exact concentration of antibody is not quantifiable.

Shipping

The product is shipped with polar packs. Upon receipt, store it immediately at the temperature recommended below.

Stability & Storage

Aliquot and store at -20C or -80C. Avoid freeze-thaw cycles.

Background: WWP1

WW domain-containing proteins are found in all eukaryotes and play an important role in the regulation of a wide variety of cellular functions such as protein degradation, transcription, and RNA splicing. This gene encodes a protein which contains 4 tandem WW domains and a HECT (homologous to the E6-associated protein carboxyl terminus) domain. The encoded protein belongs to a family of NEDD4-like proteins, which are E3 ubiquitin-ligase molecules and regulate key trafficking decisions, including targeting of proteins to proteosomes or lysosomes. Alternative splicing of this gene generates at least 6 transcript variants; however, the full length nature of these transcripts has not been defined.

Long Name

WW Domain Containing E3 Ubiquitin Protein Ligase 1

Alternate Names

AIP5, HSDRP1, Tiul11

Gene Symbol

WWP1

OMIM

602307 (Human)

Additional WWP1 Products

Product Documents for WWP1 Antibody (1A7) - Azide and BSA Free

Certificate of Analysis

To download a Certificate of Analysis, please enter a lot number in the search box below.

Product Specific Notices for WWP1 Antibody (1A7) - Azide and BSA Free

This product is produced by and distributed for Abnova, a company based in Taiwan.

This product is for research use only and is not approved for use in humans or in clinical diagnosis. Primary Antibodies are guaranteed for 1 year from date of receipt.

Loading...
Loading...
Loading...
Loading...