Skip to main content

WTAP Antibody (9D4) - BSA Free

Novus Biologicals, part of Bio-Techne | Catalog # NBP3-43062

Novus Biologicals, part of Bio-Techne
Catalog #
Availability
Size / Price
Qty
Loading...
NBP3-43062

Key Product Details

Species Reactivity

Human, Mouse, Rat

Applications

ELISA, Immunohistochemistry, Western Blot

Label

Unconjugated

Antibody Source

Monoclonal Mouse IgG1 Clone # 9D4

Format

BSA Free

Concentration

Please see the vial label for concentration. If unlisted please contact technical services.

Product Specifications

Immunogen

Wilms tumor 1 associated protein - (Uniprot# Q15007)

Clonality

Monoclonal

Host

Mouse

Isotype

IgG1

Theoretical MW

49 kDa.
Disclaimer note: The observed molecular weight of the protein may vary from the listed predicted molecular weight due to post translational modifications, post translation cleavages, relative charges, and other experimental factors.

Description

Novus Biologicals Mouse WTAP Antibody (9D4) - BSA Free (NBP3-43062) is a monoclonal antibody validated for use in IHC, WB and ELISA. All Novus Biologicals antibodies are covered by our 100% guarantee.

Scientific Data Images for WTAP Antibody (9D4) - BSA Free

WTAP Antibody (9D4)

Western Blot: WTAP Antibody (9D4) [NBP3-43062] -

Western Blot: WTAP Antibody (9D4) [NBP3-43062] - HEK-293 cells were subjected to SDS PAGE followed by western blot with (WTAP Antibody) at dilution of 1:2000
WTAP Antibody (9D4)

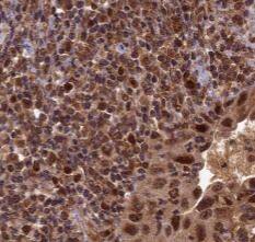
Immunohistochemistry: WTAP Antibody (9D4) [NBP3-43062] -

Immunohistochemistry: WTAP Antibody (9D4) [NBP3-43062] - Immunohistochemistry of paraffin-embedded human cervical cancer using (WTAP antibody) at dilution of 1:50

Applications for WTAP Antibody (9D4) - BSA Free

Application
Recommended Usage

Immunohistochemistry

1:50 - 1:500

Western Blot

1:1000 - 1:10000

Formulation, Preparation, and Storage

Purification

Protein A or G purified

Formulation

PBS (pH 7.3), 50% glycerol

Format

BSA Free

Preservative

0.02% Sodium Azide

Concentration

Please see the vial label for concentration. If unlisted please contact technical services.

Shipping

The product is shipped with polar packs. Upon receipt, store it immediately at the temperature recommended below.

Stability & Storage

Store at -20C. Avoid freeze-thaw cycles.

Background: WTAP

The Wilms tumor suppressor gene WT1 appears to play a role in both transcriptional and posttranscriptional regulation of certain cellular genes. This gene encodes a WT1-associating protein, which is a ubiquitously expressed nuclear protein. Like WT1 protein, this protein is localized throughout the nucleoplasm as well as in speckles and partially colocalizes with splicing factors. Alternative splicing of this gene results in three transcript variants, two of which encode the same isoform. [provided by RefSeq]

Alternate Names

Female-lethal(2)D homolog, hFL(2)D, KIAA0105DKFZp686F20131, MGC3925, PNAS-132, pre-mRNA-splicing regulator WTAP, putative pre-mRNA splicing regulator female-lethal(2D), Wilms tumor 1 associated protein, Wilms tumor 1-associating protein, Wilms' tumour 1-associating protein, WT1-associated protein

Gene Symbol

WTAP

Additional WTAP Products

Product Documents for WTAP Antibody (9D4) - BSA Free

Certificate of Analysis

To download a Certificate of Analysis, please enter a lot number in the search box below.

Product Specific Notices for WTAP Antibody (9D4) - BSA Free

This product is for research use only and is not approved for use in humans or in clinical diagnosis. Primary Antibodies are guaranteed for 1 year from date of receipt.

Loading...
Loading...
Loading...
Loading...