Skip to main content

WSTF Antibody

Novus Biologicals, part of Bio-Techne | Catalog # NB600-279

Novus Biologicals, part of Bio-Techne
Catalog #
Availability
Size / Price
Qty
Loading...
NB600-279

Key Product Details

Species Reactivity

Validated:

Human

Cited:

Human

Predicted:

Mouse (100%). Backed by our 100% Guarantee.

Applications

Validated:

Immunohistochemistry, Immunohistochemistry-Paraffin, Western Blot, Immunoprecipitation

Cited:

Western Blot

Label

Unconjugated

Antibody Source

Polyclonal Rabbit IgG

Concentration

0.2 mg/ml

Product Specifications

Immunogen

The immunogen recognized by this antibody maps to a region between residues 1 and 50 of human Williams Syndrome Transcription Factor using the numbering given in SwissProt entry Q9UIG0 (GeneID 9031).

Clonality

Polyclonal

Host

Rabbit

Isotype

IgG

Description

Novus Biologicals Rabbit WSTF Antibody (NB600-279) is a polyclonal antibody validated for use in IHC, WB and IP. Anti-WSTF Antibody: Cited in 3 publications. All Novus Biologicals antibodies are covered by our 100% guarantee.

Scientific Data Images for WSTF Antibody

Western Blot: WSTF Antibody [NB600-279]

Western Blot: WSTF Antibody [NB600-279]

Western Blot: WSTF Antibody [NB600-279] - Whole cell lysate (50 ug) from HCT116, HeLa, 293T, and Jurkat cells prepared using NETN lysis buffer. Antibody: Affinity purified rabbit anti-WSTF antibody used for WB at 0.1 ug/ml. Detection: Chemiluminescence with an exposure time of 3 minutes
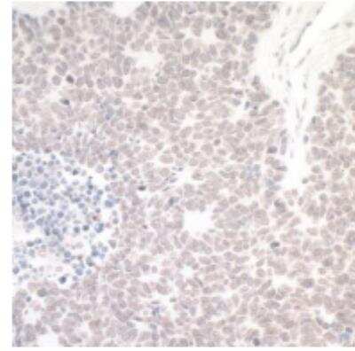
Immunohistochemistry-Paraffin: WSTF Antibody [NB600-279]

Immunohistochemistry-Paraffin: WSTF Antibody [NB600-279]

Immunohistochemistry-Paraffin: WSTF Antibody [NB600-279] - FFPE section of human small cell lung cancer. Antibody: Affinity purified rabbit anti-WSTF used at a dilution of 1:200 (1ug/ml). Detection: DAB
Immunoprecipitation: WSTF Antibody [NB600-279]

Immunoprecipitation: WSTF Antibody [NB600-279]

Immunoprecipitation: WSTF Antibody [NB600-279] - Detection of human WSTF by western blot of immunoprecipitates. Samples: Whole cell lysate (1.0 mg per IP reaction; 20% of IP loaded) from HeLa cells prepared using NETN lysis buffer. Antibodies: Affinity purified rabbit anti-WSTF antibody NB600-279(lot NB600-279-2) used for IP at 3 ug per reaction. WSTF was also immunoprecipitated by a previous lot of this antibody (lot NB600-279-1). For blotting immunoprecipitated WSTF, NB600-279 was used at 1 ug/ml. Detection: Chemiluminescence with an exposure time of 3 minutes.

Applications for WSTF Antibody

Application
Recommended Usage

Immunohistochemistry

1:100 -1:500

Immunohistochemistry-Paraffin

1:100 -1:500

Immunoprecipitation

2-5 ug/mg lysate

Western Blot

1:2000 - 1:10000
Application Notes
Epitope retrieval with Tris-EDTA pH9.0 is recommended for FFPE tissue sections.

Formulation, Preparation, and Storage

Purification

Immunogen affinity purified

Formulation

TBS and 0.1% BSA

Preservative

0.09% Sodium Azide

Concentration

0.2 mg/ml

Shipping

The product is shipped with polar packs. Upon receipt, store it immediately at the temperature recommended below.

Stability & Storage

Store at 4C. Do not freeze.

Background: WSTF

This gene encodes a member of the bromodomain protein family. The bromodomain is a structural motif characteristic of proteins involved in chromatin-dependent regulation of transcription. This gene is deleted in Williams-Beuren syndrome, a developmental disorder caused by deletion of multiple genes at 7q11.23.

Alternate Names

bromodomain adjacent to zinc finger domain, 1B, williams-Beuren syndrome chromosomal region 10 protein

Entrez Gene IDs

9031 (Human)

Gene Symbol

BAZ1B

UniProt

Additional WSTF Products

Product Documents for WSTF Antibody

Certificate of Analysis

To download a Certificate of Analysis, please enter a lot number in the search box below.

Product Specific Notices for WSTF Antibody

This product is for research use only and is not approved for use in humans or in clinical diagnosis. Primary Antibodies are guaranteed for 1 year from date of receipt.

Loading...
Loading...
Loading...
Loading...