Skip to main content

WRN Antibody - BSA Free

Novus Biologicals, part of Bio-Techne | Catalog # NBP1-87143

Novus Biologicals, part of Bio-Techne
Catalog #
Availability
Size / Price
Qty
Loading...
NBP1-87143
NBP1-87143-25ul

Key Product Details

Species Reactivity

Validated:

Human, Mouse

Cited:

Mouse

Applications

Validated:

Immunohistochemistry, Immunohistochemistry-Paraffin

Cited:

IF/IHC

Label

Unconjugated

Antibody Source

Polyclonal Rabbit IgG

Format

BSA Free

Concentration

Concentrations vary lot to lot. See vial label for concentration. If unlisted please contact technical services.

Product Specifications

Immunogen

This antibody was developed against Recombinant Protein corresponding to amino acids: KADIRQVIHYGAPKDMESYYQEIGRAGRDGLQSSCHVLWAPADINLNRHLLTEIRNEKFRLYKLKMMAKMEKYLHSSRCRRQIILSHFEDKQVQKASLGIMGTEKCCDNCRSRLDHCYSMDDSEDTSWDFGPQAFKLLSAVD

Reactivity Notes

Mouse reactivity reported in (PMID: 32919863). Rat (82%)

Clonality

Polyclonal

Host

Rabbit

Isotype

IgG

Description

Novus Biologicals Rabbit WRN Antibody - BSA Free (NBP1-87143) is a polyclonal antibody validated for use in IHC. Anti-WRN Antibody: Cited in 1 publication. All Novus Biologicals antibodies are covered by our 100% guarantee.

Scientific Data Images for WRN Antibody - BSA Free

Immunohistochemistry-Paraffin: WRN Antibody [NBP1-87143]

Immunohistochemistry-Paraffin: WRN Antibody [NBP1-87143]

Immunohistochemistry-Paraffin: WRN Antibody [NBP1-87143] - Staining of human placenta shows strong nuclear positivity in trophoblastic cells and moderate nuclear and cytoplasmic staining in decidua cells.
WRN Antibody

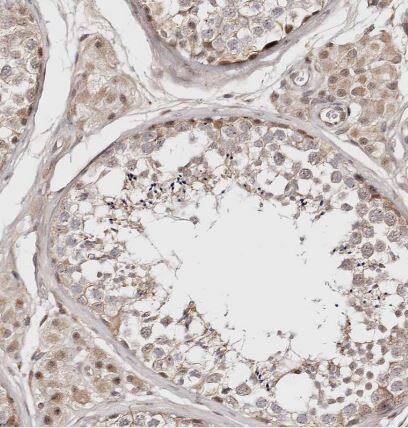
Immunohistochemistry-Paraffin: WRN Antibody [NBP1-87143] -

Immunohistochemistry-Paraffin: WRN Antibody [NBP1-87143] -Staining of human testis shows moderate nuclear positivity in Leydig cells.
WRN Antibody

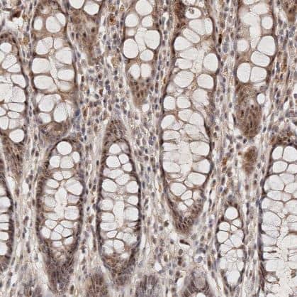
Immunohistochemistry-Paraffin: WRN Antibody [NBP1-87143] -

Immunohistochemistry-Paraffin: WRN Antibody [NBP1-87143] -Staining of human rectum shows strong nuclear positivity in glandular cells.

Applications for WRN Antibody - BSA Free

Application
Recommended Usage

Immunohistochemistry

1:50 - 1:200

Immunohistochemistry-Paraffin

1:50 - 1:200
Application Notes
For IHC-Paraffin, HIER pH 6 retrieval is recommended.

Formulation, Preparation, and Storage

Purification

Affinity purified

Formulation

PBS (pH 7.2) and 40% Glycerol

Format

BSA Free

Preservative

0.02% Sodium Azide

Concentration

Concentrations vary lot to lot. See vial label for concentration. If unlisted please contact technical services.

Shipping

The product is shipped with polar packs. Upon receipt, store it immediately at the temperature recommended below.

Stability & Storage

Store at 4C short term. Aliquot and store at -20C long term. Avoid freeze-thaw cycles.

Background: WRN

WRN encodes a member of the RecQ subfamily and the DEAH (Asp-Glu-Ala-His) subfamily of DNA and RNA helicases. DNA helicases are involved in many aspects of DNA metabolism, including transcription, replication, recombination, and repair. This protein contains a nuclear localization signal in the C-terminus and shows a predominant nucleolar localization. It possesses an intrinsic 3' to 5' DNA helicase activity, and is also a 3' to 5' exonuclease. Based on interactions between this protein and Ku70/80 heterodimer in DNA end processing, this protein may be involved in the repair of double strand DNA breaks. Defects in this gene are the cause of Werner Syndrome, an autosomal recessive disorder characterized by premature aging.

Long Name

Werner syndrome ATP-dependent helicase

Alternate Names

EC 3.1.-.-, Exonuclease WRN, RecQ protein-like 2, RecQ3, RECQL2

Gene Symbol

WRN

Additional WRN Products

Product Documents for WRN Antibody - BSA Free

Certificate of Analysis

To download a Certificate of Analysis, please enter a lot number in the search box below.

Product Specific Notices for WRN Antibody - BSA Free

This product is for research use only and is not approved for use in humans or in clinical diagnosis. Primary Antibodies are guaranteed for 1 year from date of receipt.

Loading...
Loading...
Loading...
Loading...