Skip to main content

WRN Antibody (HL1729) - Azide and BSA Free

Novus Biologicals, part of Bio-Techne | Catalog # NBP3-25758

Recombinant Monoclonal Antibody
Novus Biologicals, part of Bio-Techne
Catalog #
Availability
Size / Price
Qty
Loading...
NBP3-25758

Key Product Details

Species Reactivity

Human

Applications

Immunohistochemistry, Immunohistochemistry-Paraffin, Western Blot

Label

Unconjugated

Antibody Source

Recombinant Monoclonal Rabbit IgG Clone # HL1729 expressed in HEK293

Format

Azide and BSA Free

Concentration

Concentrations vary lot to lot. See vial label for concentration. If unlisted please contact technical services.

Product Specifications

Immunogen

Recombinant protein encompassing a sequence within the center region of human WRN. The exact sequence is proprietary.

Clonality

Monoclonal

Host

Rabbit

Isotype

IgG

Theoretical MW

186 kDa.
Disclaimer note: The observed molecular weight of the protein may vary from the listed predicted molecular weight due to post translational modifications, post translation cleavages, relative charges, and other experimental factors.

Description

Novus Biologicals Rabbit WRN Antibody (HL1729) - Azide and BSA Free (NBP3-25758) is a recombinant monoclonal antibody validated for use in IHC and WB. All Novus Biologicals antibodies are covered by our 100% guarantee.

Scientific Data Images for WRN Antibody (HL1729) - Azide and BSA Free

WRN Antibody (HL1729) - Azide and BSA Free

Western Blot: WRN Antibody (HL1729) - Azide and BSA Free [NBP3-25758] -

Western Blot: WRN Antibody (HL1729) - Azide and BSA Free [NBP3-25758] - Various whole cell extracts (30 ug) were separated by 5% SDS-PAGE, and the membrane was blotted with WRN antibody [HL1729] (NBP3-25758) diluted at 1:1000. The HRP-conjugated anti-rabbit IgG antibody was used to detect the primary antibody.
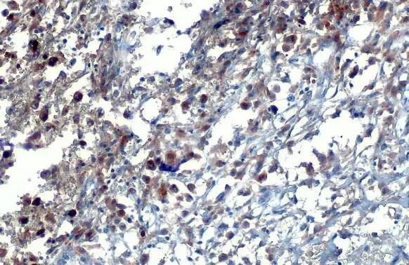
WRN Antibody (HL1729) - Azide and BSA Free

Immunohistochemistry-Paraffin: WRN Antibody (HL1729) - Azide and BSA Free [NBP3-25758] -

Immunohistochemistry-Paraffin: WRN Antibody (HL1729) - Azide and BSA Free [NBP3-25758] - WRN antibody [HL1729] detects WRN protein at nucleus by immunohistochemical analysis. Sample: Paraffin-embedded human breast carcinoma. WRN stained by WRN antibody [HL1729] (NBP3-25758) diluted at 1:100. Antigen Retrieval: Citrate buffer, pH 6.0, 15 min

Applications for WRN Antibody (HL1729) - Azide and BSA Free

Application
Recommended Usage

Immunohistochemistry

Assay dependent

Immunohistochemistry-Paraffin

Assay dependent

Western Blot

1:500-1:3000

Formulation, Preparation, and Storage

Purification

Protein A purified

Formulation

PBS

Format

Azide and BSA Free

Preservative

No Preservative

Concentration

Concentrations vary lot to lot. See vial label for concentration. If unlisted please contact technical services.

Shipping

The product is shipped with polar packs. Upon receipt, store it immediately at the temperature recommended below.

Stability & Storage

Store at 4C short term. Aliquot and store at -20C long term. Avoid freeze-thaw cycles.

Background: WRN

WRN encodes a member of the RecQ subfamily and the DEAH (Asp-Glu-Ala-His) subfamily of DNA and RNA helicases. DNA helicases are involved in many aspects of DNA metabolism, including transcription, replication, recombination, and repair. This protein contains a nuclear localization signal in the C-terminus and shows a predominant nucleolar localization. It possesses an intrinsic 3' to 5' DNA helicase activity, and is also a 3' to 5' exonuclease. Based on interactions between this protein and Ku70/80 heterodimer in DNA end processing, this protein may be involved in the repair of double strand DNA breaks. Defects in this gene are the cause of Werner Syndrome, an autosomal recessive disorder characterized by premature aging.

Long Name

Werner syndrome ATP-dependent helicase

Alternate Names

EC 3.1.-.-, Exonuclease WRN, RecQ protein-like 2, RecQ3, RECQL2

Gene Symbol

WRN

Additional WRN Products

Product Documents for WRN Antibody (HL1729) - Azide and BSA Free

Certificate of Analysis

To download a Certificate of Analysis, please enter a lot number in the search box below.

Product Specific Notices for WRN Antibody (HL1729) - Azide and BSA Free

This product is for research use only and is not approved for use in humans or in clinical diagnosis. Primary Antibodies are guaranteed for 1 year from date of receipt.

Loading...
Loading...
Loading...
Loading...