Skip to main content

Wnt3 Antibody (OTI1G7)

Novus Biologicals, part of Bio-Techne | Catalog # NBP2-46367

Novus Biologicals, part of Bio-Techne
Catalog #
Availability
Size / Price
Qty
Loading...
NBP2-46367

Key Product Details

Species Reactivity

Human, Mouse, Rat

Applications

Immunohistochemistry, Immunohistochemistry-Paraffin, Western Blot

Label

Unconjugated

Antibody Source

Monoclonal Mouse IgG2A Clone # OTI1G7

Concentration

1 mg/ml

Product Specifications

Immunogen

Human recombinant protein fragment corresponding to amino acids 128-355 of human WNT3 (NP_110380) produced in E.coli.

Reactivity Notes

Please note that this antibody is reactive to Mouse and derived from the same host, Mouse. Mouse-On-Mouse blocking reagent may be needed for IHC and ICC experiments to reduce high background signal. You can find these reagents under catalog numbers PK-2200-NB and MP-2400-NB. Please contact Technical Support if you have any questions.

Clonality

Monoclonal

Host

Mouse

Isotype

IgG2A

Theoretical MW

37.4 kDa.
Disclaimer note: The observed molecular weight of the protein may vary from the listed predicted molecular weight due to post translational modifications, post translation cleavages, relative charges, and other experimental factors.

Description

Novus Biologicals Mouse Wnt3 Antibody (OTI1G7) (NBP2-46367) is a monoclonal antibody validated for use in IHC and WB. All Novus Biologicals antibodies are covered by our 100% guarantee.

Scientific Data Images for Wnt3 Antibody (OTI1G7)

Western Blot: Wnt3 Antibody (OTI1G7) [NBP2-46367]

Western Blot: Wnt3 Antibody (OTI1G7) [NBP2-46367]

Western Blot: Wnt3 Antibody (1G7) [NBP2-46367] - Analysis of HEK293T cells were transfected with the pCMV6-ENTRY control (Left lane) or pCMV6-ENTRY WNT3.
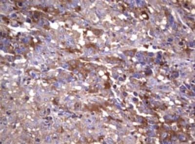
Immunohistochemistry: Wnt3 Antibody (OTI1G7) [NBP2-46367]

Immunohistochemistry: Wnt3 Antibody (OTI1G7) [NBP2-46367]

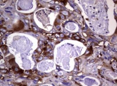
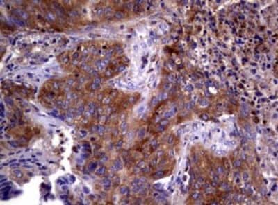
Immunohistochemistry: Wnt3 Antibody (1G7) [NBP2-46367] - Analysis of Adenocarcinoma of Human colon tissue. (Heat-induced epitope retrieval by 10mM citric buffer, pH6.0, 120C for 3min)
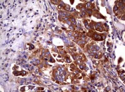
Immunohistochemistry: Wnt3 Antibody (OTI1G7) [NBP2-46367]

Immunohistochemistry: Wnt3 Antibody (OTI1G7) [NBP2-46367]

Immunohistochemistry: Wnt3 Antibody (1G7) [NBP2-46367] - Analysis of Human tonsil tissue. (Heat-induced epitope retrieval by 10mM citric buffer, pH6.0, 120C for 3min)

Applications for Wnt3 Antibody (OTI1G7)

Application
Recommended Usage

Immunohistochemistry

1:150

Western Blot

1:2000

Formulation, Preparation, and Storage

Purification

Immunogen affinity purified

Formulation

PBS (pH 7.3), 1.0% BSA and 50% Glycerol

Preservative

0.02% Sodium Azide

Concentration

1 mg/ml

Shipping

The product is shipped with polar packs. Upon receipt, store it immediately at the temperature recommended below.

Stability & Storage

Store at -20C. Avoid freeze-thaw cycles.

Background: Wnt-3

The WNT gene family consists of structurally related genes which encode secreted signaling proteins. These proteins have been implicated in oncogenesis and in several developmental processes, including regulation of cell fate and patterning during embryogenesis. This gene is a member of the WNT gene family. It encodes a protein which shows 98% amino acid identity to mouse Wnt3 protein, and 84% to human WNT3A protein, another WNT gene product. The mouse studies show the requirement of Wnt3 in primary axis formation in the mouse. Studies of the gene expression suggest that this gene may play a key role in some cases of human breast, rectal, lung, and gastric cancer through activation of the WNT-beta-catenin-TCF signaling pathway. This gene is clustered with WNT15, another family member, in the chromosome 17q21 region.

Long Name

Wingless-type MMTV Integration Site Family, Member 3

Alternate Names

INT4, TETAMS, WNT3

Gene Symbol

WNT3

Additional Wnt-3 Products

Product Documents for Wnt3 Antibody (OTI1G7)

Certificate of Analysis

To download a Certificate of Analysis, please enter a lot number in the search box below.

Product Specific Notices for Wnt3 Antibody (OTI1G7)

This product is for research use only and is not approved for use in humans or in clinical diagnosis. Primary Antibodies are guaranteed for 1 year from date of receipt.

Loading...
Loading...
Loading...
Loading...