Skip to main content

Wnt-9a Antibody (HL2422) - Azide and BSA Free

Novus Biologicals, part of Bio-Techne | Catalog # NBP3-25757

Recombinant Monoclonal Antibody
Novus Biologicals, part of Bio-Techne
Catalog #
Availability
Size / Price
Qty
Loading...
NBP3-25757

Key Product Details

Validated by

Orthogonal Validation

Species Reactivity

Human, Mouse, Rat

Applications

Immunohistochemistry, Immunohistochemistry-Paraffin, Western Blot

Label

Unconjugated

Antibody Source

Recombinant Monoclonal Rabbit IgG Clone # HL2422 expressed in HEK293

Format

Azide and BSA Free

Concentration

Concentrations vary lot to lot. See vial label for concentration. If unlisted please contact technical services.

Product Specifications

Immunogen

Synthetic peptide of human Wnt-9a.

Clonality

Monoclonal

Host

Rabbit

Isotype

IgG

Description

Novus Biologicals Rabbit Wnt-9a Antibody (HL2422) - Azide and BSA Free (NBP3-25757) is a recombinant monoclonal antibody validated for use in IHC and WB. All Novus Biologicals antibodies are covered by our 100% guarantee.

Scientific Data Images for Wnt-9a Antibody (HL2422) - Azide and BSA Free

Wnt-9a Antibody (HL2422) - Azide and BSA Free

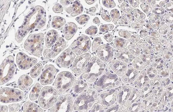
Immunohistochemistry-Paraffin: Wnt-9a Antibody (HL2422) - Azide and BSA Free [NBP3-25757] -

Immunohistochemistry-Paraffin: Wnt-9a Antibody (HL2422) - Azide and BSA Free [NBP3-25757] - Wnt9a antibody [HL2422] detects secreted Wnt9a protein by immunohistochemical analysis. Sample: Paraffin-embedded rat intestine. Wnt9a stained by Wnt9a antibody [HL2422] (NBP3-25757) diluted at 1:100. Antigen Retrieval: Citrate buffer, pH 6.0, 15 min
Wnt-9a Antibody (HL2422) - Azide and BSA Free

Western Blot: Wnt-9a Antibody (HL2422) - Azide and BSA Free [NBP3-25757] -

Western Blot: Wnt-9a Antibody (HL2422) - Azide and BSA Free [NBP3-25757] - Non-transfected (-) and transfected (+) 293T whole cell extracts (30 ug) were separated by 10% SDS-PAGE, and the membrane was blotted with Wnt9a antibody [HL2422] (NBP3-25757) diluted at 1:5000. The HRP-conjugated anti-rabbit IgG antibody was used to detect the primary antibody.
Wnt-9a Antibody (HL2422) - Azide and BSA Free

Western Blot: Wnt-9a Antibody (HL2422) - Azide and BSA Free [NBP3-25757] -

Western Blot: Wnt-9a Antibody (HL2422) - Azide and BSA Free [NBP3-25757] - Non-transfected (-) and transfected (+) 293T whole cell extracts were separated by 10% SDS-PAGE, and the membrane was blotted with Wnt9a antibody [HL2422] (NBP3-25757) diluted at 1:5000. The HRP-conjugated anti-rabbit IgG antibody was used to detect the primary antibody.

Applications for Wnt-9a Antibody (HL2422) - Azide and BSA Free

Application
Recommended Usage

Immunohistochemistry-Paraffin

1:100-1:1000

Formulation, Preparation, and Storage

Purification

Protein A purified

Formulation

PBS

Format

Azide and BSA Free

Preservative

No Preservative

Concentration

Concentrations vary lot to lot. See vial label for concentration. If unlisted please contact technical services.

Shipping

The product is shipped with polar packs. Upon receipt, store it immediately at the temperature recommended below.

Stability & Storage

Store at 4C short term. Aliquot and store at -20C long term. Avoid freeze-thaw cycles.

Background: Wnt-9a

The WNT gene family consists of structurally related genes that encode secreted signaling proteins. These proteins have been implicated in oncogenesis and in several developmental processes, including regulation of cell fate and patterning during embryogenesis. This gene is a member of the WNT gene family. It is expressed in gastric cancer cell lines. The protein encoded by this gene shows 75% amino acid identity to chicken Wnt14, which has been shown to play a central role in initiating synovial joint formation in the chick limb. This gene is clustered with another family member, WNT3A, in the chromosome 1q42 region. [provided by RefSeq]

Long Name

Wingless-type MMTV Integration Site Family, Member 9A

Alternate Names

Wnt-14, Wnt9a

Gene Symbol

WNT9A

Additional Wnt-9a Products

Product Documents for Wnt-9a Antibody (HL2422) - Azide and BSA Free

Certificate of Analysis

To download a Certificate of Analysis, please enter a lot number in the search box below.

Product Specific Notices for Wnt-9a Antibody (HL2422) - Azide and BSA Free

This product is for research use only and is not approved for use in humans or in clinical diagnosis. Primary Antibodies are guaranteed for 1 year from date of receipt.

Loading...
Loading...
Loading...
Loading...