Skip to main content

Wnt-3a Antibody (D1) - BSA Free

Novus Biologicals, part of Bio-Techne | Catalog # NBP3-42188

Novus Biologicals, part of Bio-Techne
Catalog #
Availability
Size / Price
Qty
Loading...
NBP3-42188

Key Product Details

Species Reactivity

Human, Porcine

Applications

Immunohistochemistry, Immunohistochemistry-Paraffin

Label

Unconjugated

Antibody Source

Monoclonal Mouse IgG2b Kappa Clone # D1

Format

BSA Free

Concentration

1 mg/ml

Product Specifications

Immunogen

Immunized with recombinant Human Wnt-3a (Uniprot#: P56704; Met1-Phe290 (Uniprot#: P56704)

Clonality

Monoclonal

Host

Mouse

Isotype

IgG2b Kappa

Description

Novus Biologicals Mouse Wnt-3a Antibody (D1) - BSA Free (NBP3-42188) is a monoclonal antibody validated for use in IHC. All Novus Biologicals antibodies are covered by our 100% guarantee.

Scientific Data Images for Wnt-3a Antibody (D1) - BSA Free

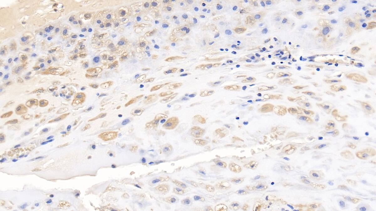
Wnt-3a Antibody (D1)

Immunohistochemistry-Paraffin: Wnt-3a Antibody (D1) [NBP3-42188] -

Immunohistochemistry-Paraffin: Wnt-3a Antibody (D1) [NBP3-42188] - DAB staining on IHC-P; Sample: Human Small intestine Tissue; Primary Ab: 10ug/ml NBP3-42188; Second Ab: 2ug/mL HRP-Linked Caprine Anti-Mouse IgG Polyclonal Antibody
Wnt-3a Antibody (D1)

Immunohistochemistry-Paraffin: Wnt-3a Antibody (D1) [NBP3-42188] -

Immunohistochemistry-Paraffin: Wnt-3a Antibody (D1) [NBP3-42188] - DAB staining on IHC-P; Sample: Human Placenta Tissue; Primary Ab: 10ug/ml NBP3-42188; Second Ab: 2ug/mL HRP-Linked Caprine Anti-Mouse IgG Polyclonal Antibody

Applications for Wnt-3a Antibody (D1) - BSA Free

Application
Recommended Usage

Immunohistochemistry

5-20ug/mL

Immunohistochemistry-Paraffin

5-20ug/mL

Formulation, Preparation, and Storage

Purification

Protein A or G purified

Formulation

0.01M PBS, pH7.4, 50% glycerol

Format

BSA Free

Preservative

0.05% Proclin 300

Concentration

1 mg/ml

Shipping

The product is shipped with polar packs. Upon receipt, store it immediately at the temperature recommended below.

Stability & Storage

Store at 4C short term. Aliquot and store at -20C long term. Avoid freeze-thaw cycles.

Background: Wnt-3a

Wingless-type MMTV integration site family, member 3A (Wnt3a) is a member of the Wnt family. The Wnt gene family is representative of a growing class of multifunctioanl factors that play a role in both tumorigenesis and patterning events required for normal differentiation and development. Wnt3a is a ligand for members of the frizzled family of seven transmembrane receptors. Anti-human Wnt3a mAb, clone 3A6, is derived from hybridization of mouse F0 myeloma cells with spleen cells from BALB/c mice immunized with a recombinant human Wnt3a protein.

Long Name

Wingless-type MMTV Integration Site Family, Member 3a

Alternate Names

Wnt3a

Gene Symbol

WNT3A

Additional Wnt-3a Products

Product Documents for Wnt-3a Antibody (D1) - BSA Free

Certificate of Analysis

To download a Certificate of Analysis, please enter a lot number in the search box below.

Product Specific Notices for Wnt-3a Antibody (D1) - BSA Free

This product is for research use only and is not approved for use in humans or in clinical diagnosis. Primary Antibodies are guaranteed for 1 year from date of receipt.

Loading...
Loading...
Loading...
Loading...