Skip to main content

WIF-1 Antibody (1G5)

Novus Biologicals, part of Bio-Techne | Catalog # NBP1-51658

Novus Biologicals, part of Bio-Techne
Catalog #
Availability
Size / Price
Qty
Loading...
NBP1-51658
NBP1-51658-0.025ml

Key Product Details

Species Reactivity

Human

Applications

ELISA, Immunocytochemistry/ Immunofluorescence, Immunohistochemistry, Immunohistochemistry-Paraffin, Western Blot

Label

Unconjugated

Antibody Source

Monoclonal Mouse IgG1 Clone # 1G5

Concentration

This product is unpurified. The exact concentration of antibody is not quantifiable.

Product Specifications

Immunogen

Purified recombinant fragment of human WIF-1 expressed in E. Coli.

Clonality

Monoclonal

Host

Mouse

Isotype

IgG1

Theoretical MW

42 kDa.
Disclaimer note: The observed molecular weight of the protein may vary from the listed predicted molecular weight due to post translational modifications, post translation cleavages, relative charges, and other experimental factors.

Description

Novus Biologicals Mouse WIF-1 Antibody (1G5) (NBP1-51658) is a monoclonal antibody validated for use in IHC, WB, ELISA and ICC/IF. All Novus Biologicals antibodies are covered by our 100% guarantee.

Scientific Data Images for WIF-1 Antibody (1G5)

Western Blot: WIF-1 Antibody (1G5)BSA Free [NBP1-51658]

Western Blot: WIF-1 Antibody (1G5)BSA Free [NBP1-51658]

Western Blot: WIF-1 Antibody (1G5) [NBP1-51658] - Analysis using WIF1 mouse mAb against Hela (1), NIH/3T3 (2) and NTERA-2 (3) cell lysate.
Immunocytochemistry/ Immunofluorescence: WIF-1 Antibody (1G5) - BSA Free [NBP1-51658]

Immunocytochemistry/ Immunofluorescence: WIF-1 Antibody (1G5) - BSA Free [NBP1-51658]

Immunocytochemistry/Immunofluorescence: WIF-1 Antibody (1G5) [NBP1-51658] - Analysis of Hela cells using WIF1 mouse mAb (green). Red: Actin filaments have been labeled with Alexa Fluor-555 phalloidin.
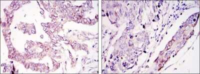
Immunohistochemistry-Paraffin: WIF-1 Antibody (1G5) - BSA Free [NBP1-51658]

Immunohistochemistry-Paraffin: WIF-1 Antibody (1G5) - BSA Free [NBP1-51658]

Immunohistochemistry-Paraffin: WIF-1 Antibody (1G5) [NBP1-51658] - Analysis of ovary tumour tissues (left) and lung cancer (right) using WIF1 mouse mAb with DAB staining.

Applications for WIF-1 Antibody (1G5)

Application
Recommended Usage

ELISA

1:10000

Immunocytochemistry/ Immunofluorescence

1:200-1:1000

Immunohistochemistry

1:200-1:1000

Immunohistochemistry-Paraffin

1:200-1:1000

Western Blot

1:500-1:2000

Formulation, Preparation, and Storage

Purification

Unpurified

Formulation

Ascites

Preservative

0.03% Sodium Azide

Concentration

This product is unpurified. The exact concentration of antibody is not quantifiable.

Shipping

The product is shipped with polar packs. Upon receipt, store it immediately at the temperature recommended below.

Stability & Storage

Store at 4C short term. Aliquot and store at -20C long term. Avoid freeze-thaw cycles.

Background: WIF-1

WNT proteins are extracellular signaling molecules involved in the control of embryonic development. This gene encodes a secreted protein, which binds WNT proteins and inhibits their activities. This protein contains a WNT inhibitory factor (WIF) domain and 5 epidermal growth factor (EGF)-like domains. It may be involved in mesoderm segmentation. This protein is found to be present in fish, amphibia and mammals.

Long Name

Wnt Inhibitory Factor

Alternate Names

WIF1

Gene Symbol

WIF1

Additional WIF-1 Products

Product Documents for WIF-1 Antibody (1G5)

Certificate of Analysis

To download a Certificate of Analysis, please enter a lot number in the search box below.

Product Specific Notices for WIF-1 Antibody (1G5)

This product is for research use only and is not approved for use in humans or in clinical diagnosis. Primary Antibodies are guaranteed for 1 year from date of receipt.

Loading...
Loading...
Loading...
Loading...