Skip to main content

WHSC1 Antibody (CL1057) - Azide and BSA Free

Novus Biologicals, part of Bio-Techne | Catalog # NBP3-44041

Novus Biologicals, part of Bio-Techne
Catalog #
Availability
Size / Price
Qty
Loading...
NBP3-44041

Key Product Details

Validated by

Orthogonal Validation

Species Reactivity

Human

Applications

Immunohistochemistry-Paraffin, Immunocytochemistry/ Immunofluorescence

Label

Unconjugated

Antibody Source

Monoclonal Mouse IgG1 Clone # CL1057

Format

Azide and BSA Free

Concentration

LYOPH mg/ml

Product Specifications

Immunogen

This antibody was generated using a recombinant protein sequence of O96028, with the exact immunogen sequence remaining proprietary.

Clonality

Monoclonal

Host

Mouse

Isotype

IgG1

Description

Novus Biologicals Mouse WHSC1 Antibody (CL1057) - Azide and BSA Free (NBP2-52962) is a monoclonal antibody validated for use in IHC and ICC/IF. All Novus Biologicals antibodies are covered by our 100% guarantee.

Scientific Data Images for WHSC1 Antibody (CL1057) - Azide and BSA Free

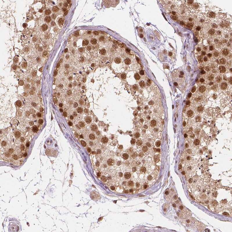
WHSC1 Antibody (CL1057) - Azide and BSA Free Immunohistochemistry-Paraffin: WHSC1 Antibody [NBP3-44041]

Immunohistochemistry-Paraffin: WHSC1 Antibody [NBP3-44041]

Analysis in human testis and liver tissues using NBP3-44041 antibody. Corresponding WHSC1 RNA-seq data are presented for the same tissues.
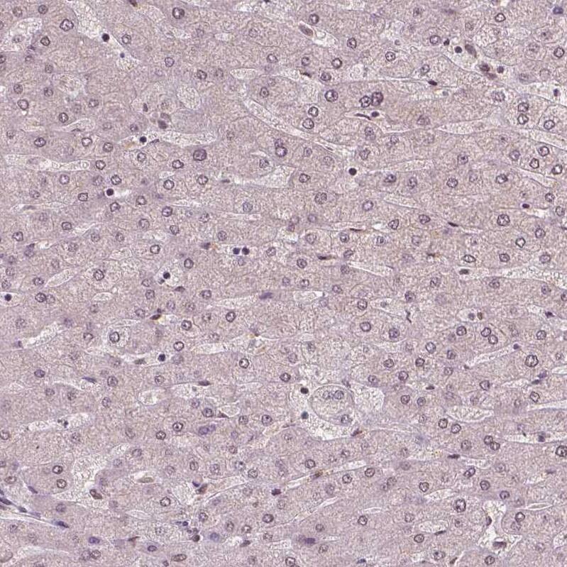
WHSC1 Antibody (CL1057) - Azide and BSA Free Immunohistochemistry-Paraffin: WHSC1 Antibody [NBP3-44041]

Immunohistochemistry-Paraffin: WHSC1 Antibody [NBP3-44041]

Staining of human liver shows no positivity in hepatocytes as expected.
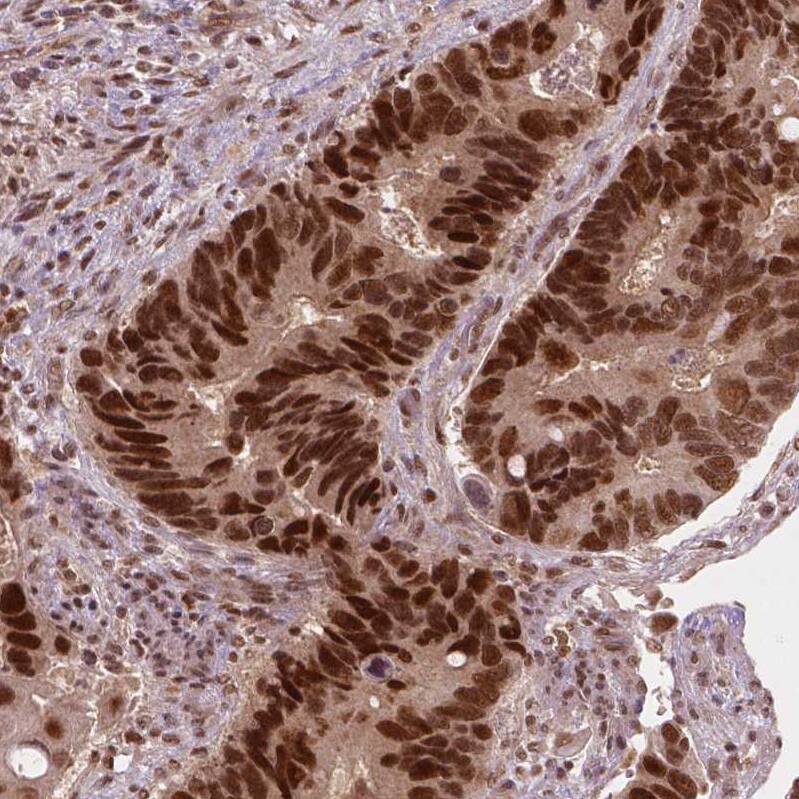
WHSC1 Antibody (CL1057) - Azide and BSA Free Immunohistochemistry-Paraffin: WHSC1 Antibody [NBP3-44041]

Immunohistochemistry-Paraffin: WHSC1 Antibody [NBP3-44041]

Staining of human colorectal cancer shows strong nuclear positivity in tumor cells.

Applications for WHSC1 Antibody (CL1057) - Azide and BSA Free

Application
Recommended Usage

Immunocytochemistry/ Immunofluorescence

2-10 ug/ml

Immunohistochemistry-Paraffin

1:200 - 1:500
Application Notes
For IHC-Paraffin, HIER pH 6 retrieval is recommended. For Immunocytochemistry/ Immunofluorescence/IF, PFA/Triton X-100 is recommended for fixation/permeabilization.

Formulation, Preparation, and Storage

Purification

Protein A purified

Reconstitution

Centrifuge the vial of lyophilized antibody at 12,000 x g for 20 seconds. Reconstitute by adding sterile, distilled water to achieve a final antibody concentration of 1mg/ml.

Formulation

Lyophilized from a 0.2 um filtered solution in PBS with Trehalose

Format

Azide and BSA Free

Preservative

No Preservative

Concentration

LYOPH mg/ml

Shipping

The product is shipped at ambient temperature. Upon receipt, store it immediately at the temperature recommended below.

Stability & Storage

Store at 4C short term. Aliquot and store at -20C long term. Avoid freeze-thaw cycles.

Background: WHSC1

WHSC1 encodes a protein that contains four domains present in other developmental proteins: a PWWP domain, an HMG box, a SET domain, and a PHD-type zinc finger. It is expressed ubiquitously in early development. Wolf-Hirschhorn syndrome (WHS) is a malformation syndrome associated with a hemizygous deletion of the distal short arm of chromosome 4. This gene maps to the 165 kb WHS critical region and has also been involved in the chromosomal translocation t(4;14)(p16.3;q32.3) in multiple myelomas. Alternative splicing of this gene results in multiple transcript variants encoding different isoforms. Some transcript variants are nonsense-mediated mRNA (NMD) decay candidates, hence not represented as reference sequences. [provided by RefSeq]

Alternate Names

EC 2.1.1.43, FLJ23286, IL5 promoter REII region-binding protein, KIAA1090, MGC176638, MMSETNSD2Multiple myeloma SET domain-containing protein, multiple myeloma SET domain containing protein type III, nuclear receptor binding SET domain protein 2, Nuclear SET domain-containing protein 2, probable histone-lysine N-methyltransferase NSD2, Protein trithorax-5, REIIBP, trithorax/ash1-related protein 5, TRX5, WHS, Wolf-Hirschhorn syndrome candidate 1, Wolf-Hirschhorn syndrome candidate 1 protein

Gene Symbol

NSD2

Additional WHSC1 Products

Product Documents for WHSC1 Antibody (CL1057) - Azide and BSA Free

Certificate of Analysis

To download a Certificate of Analysis, please enter a lot number in the search box below.

Product Specific Notices for WHSC1 Antibody (CL1057) - Azide and BSA Free

This product is for research use only and is not approved for use in humans or in clinical diagnosis. Primary Antibodies are guaranteed for 1 year from date of receipt.

Loading...
Loading...
Loading...
Loading...
Loading...