Skip to main content

wdyhv1 Antibody

Novus Biologicals, part of Bio-Techne | Catalog # NBP3-48548

Novus Biologicals, part of Bio-Techne
Catalog #
Availability
Size / Price
Qty
Loading...
NBP3-48548

Key Product Details

Species Reactivity

Human, Mouse

Applications

Immunohistochemistry, Immunohistochemistry-Paraffin, Immunocytochemistry/ Immunofluorescence

Label

Unconjugated

Antibody Source

Polyclonal Rabbit IgG

Concentration

Concentrations vary lot to lot. See vial label for concentration. If unlisted please contact technical services.

Product Specifications

Immunogen

Recombinant protein encompassing a sequence within the center region of human wdyhv1. The exact sequence is proprietary.

Clonality

Polyclonal

Host

Rabbit

Isotype

IgG

Description

Novus Biologicals Rabbit wdyhv1 Antibody (NBP3-48548) is a polyclonal antibody validated for use in IHC and ICC/IF. All Novus Biologicals antibodies are covered by our 100% guarantee.

Scientific Data Images for wdyhv1 Antibody

wdyhv1 Antibody

Immunohistochemistry: wdyhv1 Antibody [NBP3-48548] -

wdyhv1 antibody detects wdyhv1 protein at cytosol and nucleus on mouse lung by immunohistochemical analysis.
Sample: Paraffin-embedded mouse lung.
wdyhv1 antibody (NBP3-48548) dilution: 1:500.


Antigen Retrieval: (EDTA based, pH 8.0) buffer, 15min
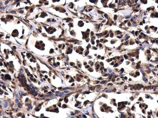
wdyhv1 Antibody

Immunohistochemistry-Paraffin: wdyhv1 Antibody [NBP3-48548] -

wdyhv1 antibody detects wdyhv1 protein at nucleus in human breast cancer by immunohistochemical analysis.
Sample: Paraffin-embedded human breast cancer.
wdyhv1 antibody (NBP3-48548) diluted at 1:500.
^[^GTX]br>Antigen Retrieval: Citrate buffer, pH 6.0, 15 min
wdyhv1 Antibody

Immunocytochemistry/ Immunofluorescence: wdyhv1 Antibody [NBP3-48548] -

wdyhv1 antibody detects wdyhv1 protein at cytoplasm and nucleus by immunofluorescent analysis.
Sample: HeLa cells were fixed in 4% paraformaldehyde at RT for 15 min.
Green: wdyhv1 protein stained by wdyhv1 antibody (NBP3-48548) diluted at 1:200.
Blue: Hoechst 33342 staining.

Applications for wdyhv1 Antibody

Application
Recommended Usage

Immunocytochemistry/ Immunofluorescence

1:100-1:1000

Immunohistochemistry-Paraffin

1:100-1:1000

Formulation, Preparation, and Storage

Purification

Antigen Affinity-purified

Formulation

0.1M Tris, 0.1M Glycine, 20% Glycerol

Preservative

0.01% Thimerosal

Concentration

Concentrations vary lot to lot. See vial label for concentration. If unlisted please contact technical services.

Shipping

The product is shipped with polar packs. Upon receipt, store it immediately at the temperature recommended below.

Stability & Storage

Store at 4C short term. Aliquot and store at -20C long term. Avoid freeze-thaw cycles.

Background: wdyhv1

wdyhv1 mediates the side-chain deamidation of N-terminal glutamine residues to glutamate, an important step in N-end rule pathway of protein degradation. Conversion of the resulting N-terminal glutamine to glutamate renders the protein susceptible to argi

Alternate Names

C8orf32, chromosome 8 open reading frame 32, EC 3.5.1.-, FLJ10204, Nt(Q)-amidase, NTAQ1, N-terminal Gln amidase, Protein NH2-terminal glutamine deamidase, protein N-terminal glutamine amidohydrolase, WDYHV motif containing 1, WDYHV motif-containing protein 1

Gene Symbol

WDYHV1

Additional wdyhv1 Products

Product Documents for wdyhv1 Antibody

Certificate of Analysis

To download a Certificate of Analysis, please enter a lot number in the search box below.

Product Specific Notices for wdyhv1 Antibody

This product is for research use only and is not approved for use in humans or in clinical diagnosis. Primary Antibodies are guaranteed for 1 year from date of receipt.

Loading...
Loading...
Loading...
Loading...