Skip to main content

WDR65 Antibody - BSA Free

Novus Biologicals, part of Bio-Techne | Catalog # NBP2-20898

Novus Biologicals, part of Bio-Techne
Catalog #
Availability
Size / Price
Qty
Loading...
NBP2-20898

Key Product Details

Species Reactivity

Human

Applications

Immunohistochemistry, Immunohistochemistry-Paraffin, Western Blot

Label

Unconjugated

Antibody Source

Polyclonal Rabbit IgG

Format

BSA Free

Concentration

Concentrations vary lot to lot. See vial label for concentration. If unlisted please contact technical services.

Product Specifications

Immunogen

Recombinant protein encompassing a sequence within the N-terminus region of human WDR65. The exact sequence is proprietary.

Reactivity Notes

Immunogen displays the following percentage of sequence identity for non-tested species: Mouse (83%).

Localization

Membrane; Single-pass type IV membrane protein

Clonality

Polyclonal

Host

Rabbit

Isotype

IgG

Theoretical MW

145 kDa.
Disclaimer note: The observed molecular weight of the protein may vary from the listed predicted molecular weight due to post translational modifications, post translation cleavages, relative charges, and other experimental factors.

Description

Novus Biologicals Rabbit WDR65 Antibody - BSA Free (NBP2-20898) is a polyclonal antibody validated for use in IHC and WB. All Novus Biologicals antibodies are covered by our 100% guarantee.

Scientific Data Images for WDR65 Antibody - BSA Free

Western Blot: WDR65 Antibody [NBP2-20898]

Western Blot: WDR65 Antibody [NBP2-20898]

Western Blot: WDR65 Antibody [NBP2-20898] - Sample (30 ug of whole cell lysate) A: A431 7. 5% SDS PAGE gel, diluted at 1:1000.
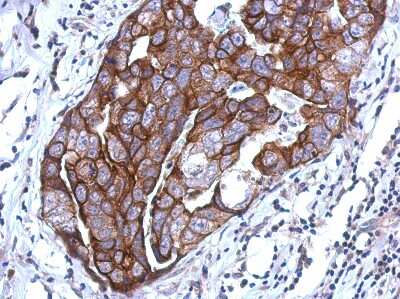
Immunohistochemistry-Paraffin: WDR65 Antibody [NBP2-20898]

Immunohistochemistry-Paraffin: WDR65 Antibody [NBP2-20898]

Immunohistochemistry-Paraffin: WDR65 Antibody [NBP2-20898] - Immunohistochemical analysis of paraffin-embedded BREAST CA, using antibody at 1:500 dilution.

Applications for WDR65 Antibody - BSA Free

Application
Recommended Usage

Immunohistochemistry

1:100-1:1000

Immunohistochemistry-Paraffin

1:100-1:1000

Western Blot

1:500-1:3000

Formulation, Preparation, and Storage

Purification

Antigen Affinity-purified

Formulation

0.1M Tris, 0.1M Glycine, 20% Glycerol

Format

BSA Free

Preservative

0.01% Thimerosal

Concentration

Concentrations vary lot to lot. See vial label for concentration. If unlisted please contact technical services.

Shipping

The product is shipped with polar packs. Upon receipt, store it immediately at the temperature recommended below.

Stability & Storage

Aliquot and store at -20C or -80C. Avoid freeze-thaw cycles.

Background: WDR65

WDR65 is a gene that codes for a protein with two isoforms, with lengths of 1250 and 698 amino acids, and weights of approximately 145 and 78 kDa respectively. WDR65 helps in the formation of protein-protein complexes in the craniofacial region. Current research is being done on diseases and disorders related to this gene including Van der Woude syndrome, cleft lip, cleft palate, and malaria.

Alternate Names

FLJ32000, VWS2, WD repeat domain 65, WD repeat-containing protein 65

Gene Symbol

WDR65

UniProt

Additional WDR65 Products

Product Documents for WDR65 Antibody - BSA Free

Certificate of Analysis

To download a Certificate of Analysis, please enter a lot number in the search box below.

Product Specific Notices for WDR65 Antibody - BSA Free

This product is for research use only and is not approved for use in humans or in clinical diagnosis. Primary Antibodies are guaranteed for 1 year from date of receipt.

Loading...
Loading...
Loading...
Loading...

⚠ WARNING: This product can expose you to chemicals including mercury, which is known to the State of California to cause reproductive toxicity with developmental effects.  For more information go to www.P65Warnings.ca.gov.