Skip to main content

WDR19 Antibody - BSA Free

Novus Biologicals, part of Bio-Techne | Catalog # NBP3-45567

Novus Biologicals, part of Bio-Techne
Catalog #
Availability
Size / Price
Qty
Loading...
NBP3-45567

Key Product Details

Species Reactivity

Human, Mouse, Rat

Applications

ELISA, Immunocytochemistry/ Immunofluorescence, Immunohistochemistry, Immunoprecipitation, Western Blot

Label

Unconjugated

Antibody Source

Polyclonal Rabbit IgG

Format

BSA Free

Concentration

Please see the vial label for concentration. If unlisted please contact technical services.

Product Specifications

Immunogen

WD repeat domain 19. (Uniprot# Q8NEZ3)

Clonality

Polyclonal

Host

Rabbit

Isotype

IgG

Description

Novus Biologicals Rabbit WDR19 Antibody - BSA Free (NBP3-45567) is a polyclonal antibody validated for use in IHC, WB, ELISA, ICC/IF and IP. All Novus Biologicals antibodies are covered by our 100% guarantee.

Scientific Data Images for WDR19 Antibody - BSA Free

WDR19 Antibody - BSA Free

Western Blot: WDR19 Antibody - BSA Free [NBP3-45567] -

Western Blot: WDR19 Antibody - BSA Free [NBP3-45567] - HEK-293 cells were subjected to SDS PAGE followed by western blot with (WDR19 antibody) at dilution of 1:600
WDR19 Antibody - BSA Free

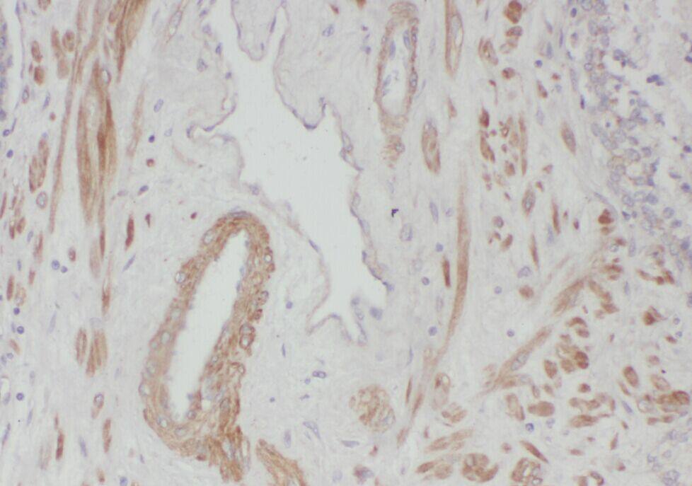
Immunohistochemistry: WDR19 Antibody - BSA Free [NBP3-45567] -

Immunohistochemistry: WDR19 Antibody - BSA Free [NBP3-45567] - Immunohistochemistry of paraffin-embedded human prostate cancer tissue slide using (WDR19 Antibody) at dilution of 1:50
WDR19 Antibody - BSA Free

Immunoprecipitation: WDR19 Antibody - BSA Free [NBP3-45567] -

Immunoprecipitation: WDR19 Antibody - BSA Free [NBP3-45567] - IP Result of anti-WDR19/IFT144 (IP:, 4ug; Detection: 1:500) with HEK-293 cells lysate 3200ug.

Applications for WDR19 Antibody - BSA Free

Application
Recommended Usage

Immunocytochemistry/ Immunofluorescence

1:20-1:200

Immunohistochemistry

1:20-1:200

Immunoprecipitation

1:200-1:2000

Western Blot

1:200-1:2000
Application Notes
Theoretical Molecular Weight is 70 kDa, 145 kDa

Formulation, Preparation, and Storage

Purification

Immunogen affinity purified

Formulation

PBS, 50% Glycerol, pH (7.3)

Format

BSA Free

Preservative

0.02% Sodium Azide

Concentration

Please see the vial label for concentration. If unlisted please contact technical services.

Shipping

The product is shipped with polar packs. Upon receipt, store it immediately at the temperature recommended below.

Stability & Storage

Store at -20C. Avoid freeze-thaw cycles.

Background: WDR19

WDR19 encodes a member of the WD repeat protein family. WD repeats are minimally conserved regions of approximately 40 amino acids typically bracketed by gly-his and trp-asp (GH-WD), which may facilitate formation of heterotrimeric or multiprotein complexes. Members of this family are involved in a variety of cellular processes, including cell cycle progression, signal transduction, apoptosis, and gene regulation. This protein contains six WD repeats, a clathrin heavy-chain repeat, and three transmembrane domains. This gene is conserved from C. elegans to human. It may participate in androgen-regulated signaling mechanisms or in the vesicular trafficking of androgen-regulated secretory processes. Alternatively spliced transcript variants encoding distinct isoforms have been reported but the full-length nature of one of these variants has not been defined.

Alternate Names

DYF-2, FLJ23127, IFT144, intraflagellar transport 144 homolog, KIAA1638Pwdmp, ORF26, Oseg6, PWDMP, WD repeat domain 19, WD repeat membrane protein PWDMP, WD repeat-containing protein 19

Gene Symbol

WDR19

Additional WDR19 Products

Product Documents for WDR19 Antibody - BSA Free

Certificate of Analysis

To download a Certificate of Analysis, please enter a lot number in the search box below.

Product Specific Notices for WDR19 Antibody - BSA Free

This product is for research use only and is not approved for use in humans or in clinical diagnosis. Primary Antibodies are guaranteed for 1 year from date of receipt.

Loading...
Loading...
Loading...
Loading...