Skip to main content

WBSCR17 Antibody - BSA Free

Novus Biologicals, part of Bio-Techne | Catalog # NBP3-12659

Novus Biologicals, part of Bio-Techne
Catalog #
Availability
Size / Price
Qty
Loading...
NBP3-12659-50ul
NBP3-12659-100ul

Key Product Details

Species Reactivity

Human

Applications

Immunohistochemistry, Immunohistochemistry-Paraffin, Western Blot

Label

Unconjugated

Antibody Source

Polyclonal Rabbit IgG

Format

BSA Free

Concentration

Please see the vial label for concentration. If unlisted please contact technical services.

Product Specifications

Immunogen

Produced in rabbits immunized with E. coli-derived Human WBSCR17 fragment

Clonality

Polyclonal

Host

Rabbit

Isotype

IgG

Description

This antibody can be stored at 2-8C for one month without detectable loss of activity. Antibody products are stable for twelve months from date of receipt when stored at -20C to -80C. Avoid repeated freeze-thaw cycles.

Protein A & Antigen Affinity purified

Scientific Data Images for WBSCR17 Antibody - BSA Free

Western Blot: WBSCR17 Antibody [NBP3-12659]

Western Blot: WBSCR17 Antibody [NBP3-12659]

Western Blot: WBSCR17 Antibody [NBP3-12659] - Lane A: Mouse stomach tissue lysate Whole Cell LysateLane B: U-251MG Whole Cell LysateLysates/proteins at 30 ug per lane.SecondaryGoat Anti-Rabbit IgG (H+L)/HRP at 1/10000 dilution.Developed using the ECL technique.Performed under reducing conditions.Predicted band size:67 kDaObserved band size:80 kDa(We are unsure as to the identity of these extra bands.)
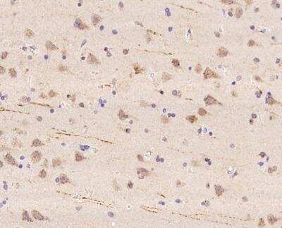
Immunohistochemistry-Paraffin: WBSCR17 Antibody [NBP3-12659]

Immunohistochemistry-Paraffin: WBSCR17 Antibody [NBP3-12659]

Immunohistochemistry-Paraffin: WBSCR17 Antibody [NBP3-12659] - Staining of human WBSCR17 in human brain with rabbit polyclonal antibody at 1:500 dilution.

Applications for WBSCR17 Antibody - BSA Free

Application
Recommended Usage

Immunohistochemistry-Paraffin

1:200-1:1000

Western Blot

1:500-1:2000

Formulation, Preparation, and Storage

Purification

Antigen and protein A Affinity-purified

Formulation

PBS

Format

BSA Free

Preservative

0.03% Proclin 300

Concentration

Please see the vial label for concentration. If unlisted please contact technical services.

Shipping

The product is shipped with polar packs. Upon receipt, store it immediately at the temperature recommended below.

Stability & Storage

Store at 4C short term. Aliquot and store at -20C long term. Avoid freeze-thaw cycles.

Background: WBSCR17

WBSCR17 encodes an N-acetylgalactosaminyltransferase, which has 97% sequence identity to the mouse protein. This gene is deleted in Williams syndrome, a multisystem developmental disorder caused by the deletion of contiguous genes at 7q11.23. [provided by RefSeq]

Alternate Names

DKFZp434I2216, EC 2.4.1.41, GalNAc-T-like protein 3, GALNT16, GALNT20, GALNTL3DKFZp761D2324, Polypeptide GalNAc transferase-like protein 3, polypeptide N-acetylgalactosaminyltransferase WBSCR17, pp-GalNAc-transferase 20, pp-GaNTase-like protein 3, Protein-UDP acetylgalactosaminyltransferase-like protein 3, putative polypeptide N-acetylgalactosaminyltransferase-like protein 3, UDP-GalNAc:polypeptide N-acetylgalactosaminyltransferase-like 3, UDP-GalNAc:polypeptide N-acetylgalactosaminyltransferase-like protein 3, UDP-N-acetyl-alpha-D-galactosamine:polypeptideN-acetylgalactosaminyltransferase 16, Williams-Beuren syndrome chromosomal region 17 protein, Williams-Beuren syndrome chromosome region 17

Gene Symbol

GALNT17

Additional WBSCR17 Products

Product Documents for WBSCR17 Antibody - BSA Free

Certificate of Analysis

To download a Certificate of Analysis, please enter a lot number in the search box below.

Product Specific Notices for WBSCR17 Antibody - BSA Free

This product is for research use only and is not approved for use in humans or in clinical diagnosis. Primary Antibodies are guaranteed for 1 year from date of receipt.

Loading...
Loading...
Loading...
Loading...