Skip to main content

VPS35 Antibody (S03-6E1)

Novus Biologicals, part of Bio-Techne | Catalog # NBP3-19926

Recombinant Monoclonal Antibody
Novus Biologicals, part of Bio-Techne
Catalog #
Availability
Size / Price
Qty
Loading...
NBP3-19926-100ul
NBP3-19926-50ul

Key Product Details

Species Reactivity

Human, Mouse, Rat

Applications

Immunohistochemistry, Immunohistochemistry-Paraffin, Western Blot

Label

Unconjugated

Antibody Source

Recombinant Monoclonal Rabbit IgG Clone # S03-6E1 expressed in HEK293

Concentration

0.3 mg/ml

Product Specifications

Immunogen

A synthetic peptide of human VPS35 (Uniprot # Q96QK1)

Clonality

Monoclonal

Host

Rabbit

Isotype

IgG

Theoretical MW

81 kDa.
Disclaimer note: The observed molecular weight of the protein may vary from the listed predicted molecular weight due to post translational modifications, post translation cleavages, relative charges, and other experimental factors.

Description

Novus Biologicals Rabbit VPS35 Antibody (S03-6E1) (NBP3-19926) is a recombinant monoclonal antibody validated for use in IHC and WB. All Novus Biologicals antibodies are covered by our 100% guarantee.

Scientific Data Images for VPS35 Antibody (S03-6E1)

Western Blot: VPS35 Antibody (S03-6E1) [NBP3-19926]

Western Blot: VPS35 Antibody (S03-6E1) [NBP3-19926]

Western Blot: VPS35 Antibody (S03-6E1) [NBP3-19926] - Western blot detection of VPS35 in HepG2, U2OS, U251 using NBP3-19926 (1:1000 diluted)
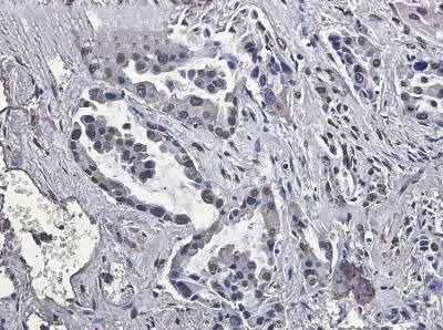
Immunohistochemistry-Paraffin: VPS35 Antibody (S03-6E1) [NBP3-19926]

Immunohistochemistry-Paraffin: VPS35 Antibody (S03-6E1) [NBP3-19926]

Immunohistochemistry-Paraffin: VPS35 Antibody (S03-6E1) [NBP3-19926] - Immunohistochemistry of VPS35 in paraffin-embedded Human lung cancer tissue using NBP3-19926 at dilution 1/50

Applications for VPS35 Antibody (S03-6E1)

Application
Recommended Usage

Immunohistochemistry

1/20

Western Blot

1/2000-1/10000

Formulation, Preparation, and Storage

Purification

Affinity purified

Formulation

50mM Tris-Glycine(pH 7.4), 0.15M NaCl, 40% Glycerol, 0.05% BSA

Preservative

0.01% Sodium Azide

Concentration

0.3 mg/ml

Shipping

The product is shipped with polar packs. Upon receipt, store it immediately at the temperature recommended below.

Stability & Storage

Store at 4C short term. Aliquot and store at -20C long term. Avoid freeze-thaw cycles.

Background: VPS35

The maintenance of organelles in eukaryotic cells depends on sorting proteins, which ensure the proper delivery of organelle-specific proteins. In S. cerevisiae, VPS35 has a direct role in the retrieval of vacuolar cargo proteins, suggesting that human VPS35 may have an analogous function in the maintenance of lysosomes.

Long Name

VPS35 retromer complex component

Alternate Names

MEM3, PARK17

Gene Symbol

VPS35

Additional VPS35 Products

Product Documents for VPS35 Antibody (S03-6E1)

Certificate of Analysis

To download a Certificate of Analysis, please enter a lot number in the search box below.

Product Specific Notices for VPS35 Antibody (S03-6E1)

This product is for research use only and is not approved for use in humans or in clinical diagnosis. Primary Antibodies are guaranteed for 1 year from date of receipt.

Loading...
Loading...
Loading...
Loading...