Skip to main content

VPS35 Antibody (HL1017) - Azide and BSA Free

Novus Biologicals, part of Bio-Techne | Catalog # NBP3-13680

Recombinant Monoclonal Antibody
Novus Biologicals, part of Bio-Techne
Catalog #
Availability
Size / Price
Qty
Loading...
NBP3-13680

Key Product Details

Validated by

Knockout/Knockdown

Species Reactivity

Human, Mouse, Rat

Applications

Immunohistochemistry, Immunohistochemistry-Paraffin, Western Blot, Immunocytochemistry/ Immunofluorescence

Label

Unconjugated

Antibody Source

Recombinant Monoclonal Rabbit IgG Clone # HL1017 expressed in HEK293

Format

Azide and BSA Free

Concentration

Concentrations vary lot to lot. See vial label for concentration. If unlisted please contact technical services.

Product Specifications

Immunogen

Carrier-protein conjugated synthetic peptide encompassing a sequence within the C-terminus region of human VPS35. The exact sequence is proprietary.

Clonality

Monoclonal

Host

Rabbit

Isotype

IgG

Description

Centrifuge briefly prior to opening.

Scientific Data Images for VPS35 Antibody (HL1017) - Azide and BSA Free

Western Blot: VPS35 Antibody (HL1017) [NBP3-13680]

Western Blot: VPS35 Antibody (HL1017) [NBP3-13680]

Western Blot: VPS35 Antibody (HL1017) [NBP3-13680] - Non-transfected (-) and transfected (+) HeLa whole cell extracts (30 ug) were separated by 7.5% SDS-PAGE, and the membrane was blotted with VPS35 antibody [HL1017] (NBP3-13680) diluted at 1:1000. The HRP-conjugated anti-rabbit IgG antibody (NBP2-19301) was used to detect the primary antibody.
Immunocytochemistry/ Immunofluorescence: VPS35 Antibody (HL1017) [NBP3-13680]

Immunocytochemistry/ Immunofluorescence: VPS35 Antibody (HL1017) [NBP3-13680]

Immunocytochemistry/Immunofluorescence: VPS35 Antibody (HL1017) [NBP3-13680] - VPS35 antibody detects VPS35 protein at cytoplasm by immunofluorescent analysis. Sample: HeLa cells were fixed in 4% paraformaldehyde at RT for 15 min. Green: VPS35 stained by VPS35 antibody (NBP3-13680) diluted at 1:500.
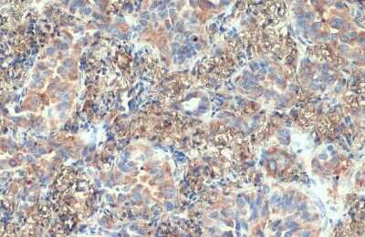
Immunohistochemistry-Paraffin: VPS35 Antibody (HL1017) [NBP3-13680]

Immunohistochemistry-Paraffin: VPS35 Antibody (HL1017) [NBP3-13680]

Immunohistochemistry-Paraffin: VPS35 Antibody (HL1017) [NBP3-13680] - VPS35 antibody [HL1017] detects VPS35 protein at cytoplasm by immunohistochemical analysis. Sample: Paraffin-embedded human lung cancer. VPS35 stained by VPS35 antibody [HL1017] (NBP3-13680) diluted at 1:50. Antigen Retrieval: Citrate buffer, pH 6.0, 15 min

Applications for VPS35 Antibody (HL1017) - Azide and BSA Free

Application
Recommended Usage

Immunocytochemistry/ Immunofluorescence

Optimal dilutions of this antibody should be experimentally determined.

Immunohistochemistry

Optimal dilutions of this antibody should be experimentally determined.

Immunohistochemistry-Paraffin

Optimal dilutions of this antibody should be experimentally determined.

Western Blot

Optimal dilutions of this antibody should be experimentally determined.

Formulation, Preparation, and Storage

Purification

Protein A purified

Formulation

PBS

Format

Azide and BSA Free

Preservative

No Preservative

Concentration

Concentrations vary lot to lot. See vial label for concentration. If unlisted please contact technical services.

Shipping

The product is shipped with polar packs. Upon receipt, store it immediately at the temperature recommended below.

Stability & Storage

Store at 4C short term. Aliquot and store at -20C long term. Avoid freeze-thaw cycles.

Background: VPS35

The maintenance of organelles in eukaryotic cells depends on sorting proteins, which ensure the proper delivery of organelle-specific proteins. In S. cerevisiae, VPS35 has a direct role in the retrieval of vacuolar cargo proteins, suggesting that human VPS35 may have an analogous function in the maintenance of lysosomes.

Long Name

VPS35 retromer complex component

Alternate Names

MEM3, PARK17

Gene Symbol

VPS35

Additional VPS35 Products

Product Documents for VPS35 Antibody (HL1017) - Azide and BSA Free

Certificate of Analysis

To download a Certificate of Analysis, please enter a lot number in the search box below.

Product Specific Notices for VPS35 Antibody (HL1017) - Azide and BSA Free

This product is for research use only and is not approved for use in humans or in clinical diagnosis. Primary Antibodies are guaranteed for 1 year from date of receipt.

Loading...
Loading...
Loading...
Loading...