Vimentin Antibody (VM1170) - Azide and BSA Free
Novus Biologicals, part of Bio-Techne | Catalog # NBP2-47950
Conjugate
Catalog #
Forumulation
Catalog #
Key Product Details
Species Reactivity
Human, Mouse (Negative), Rat (Negative)
Applications
Immunohistochemistry, Immunohistochemistry-Paraffin, Western Blot
Label
Unconjugated
Antibody Source
Monoclonal Mouse IgG1 kappa Clone # VM1170
Format
Azide and BSA Free
Concentration
1.0 mg/ml
Product Specifications
Immunogen
Recombinant full-length human vimentin protein (Uniprot: P08670)
Reactivity Notes
Does not react with Mouse or Rat.
Localization
Cytoplasmic
Specificity
This monoclonal antibody reacts with a 58kDa protein identified as Vimentin. It shows no cross-reaction with other closely related intermediate filament proteins (IFP however, when used in panels with other antibodies, it is useful for the sub-classification of a given tumor. Expression of Vimentin, when used in conjunction with anti-keratin, is helpful when distinguishing melanomas from undifferentiated carcinomas and large cell lymphomas. All melanomas and Schwannomas react strongly with anti-Vimentin. It labels a variety of mesenchymal cells, including melanocytes, lymphocytes, endothelial cells, and fibroblasts. Non-reactivity of anti-Vimentin is often considered more useful than its positive reactivity, since there are a few tumors that do not contain Vimentin, e.g. hepatoma and seminoma. Anti-Vimentin is also useful as a tissue process control reagent.
Marker
Mesenchymal Cell Marker
Clonality
Monoclonal
Host
Mouse
Isotype
IgG1 kappa
Theoretical MW
53.6 kDa.
Disclaimer note: The observed molecular weight of the protein may vary from the listed predicted molecular weight due to post translational modifications, post translation cleavages, relative charges, and other experimental factors.
Disclaimer note: The observed molecular weight of the protein may vary from the listed predicted molecular weight due to post translational modifications, post translation cleavages, relative charges, and other experimental factors.
Description
1.0 mg/ml of antibody purified from Bioreactor Concentrate by Protein A/G. Prepared in 10mM PBS WITHOUT BSA & azide. Also available at 200 ug/ml WITH BSA & azide (NBP2-44833).
Antibody with azide - store at 2 to 8C. Antibody without azide - store at -20 to -80C.
Antibody with azide - store at 2 to 8C. Antibody without azide - store at -20 to -80C.
Scientific Data Images for Vimentin Antibody (VM1170) - Azide and BSA Free
Western Blot: Vimentin Antibody (VM1170)Azide and BSA Free [NBP2-47950]
Western Blot: Vimentin Antibody (VM1170) - Azide and BSA Free [NBP2-47950] - HEP2 cell lysate using Vimentin Mouse Monoclonal Antibody (VM1170).Immunohistochemistry-Paraffin: Vimentin Antibody (VM1170) - Azide and BSA Free [NBP2-47950]
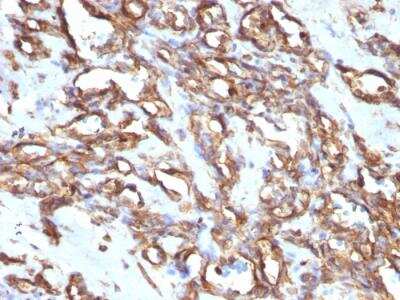
Immunohistochemistry-Paraffin: Vimentin Antibody (VM1170) - Azide and BSA Free [NBP2-47950] - Human Ewing's Sarcoma stained with Vimentin Mouse Monoclonal Antibody (VM1170).Immunohistochemistry-Paraffin: Vimentin Antibody (VM1170) - Azide and BSA Free [NBP2-47950]
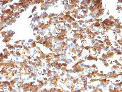
Immunohistochemistry-Paraffin: Vimentin Antibody (VM1170) - Azide and BSA Free [NBP2-47950] - Human Melanoma stained with Vimentin Mouse Monoclonal Antibody (VM1170).Applications for Vimentin Antibody (VM1170) - Azide and BSA Free
Application
Recommended Usage
Immunohistochemistry
Optimal dilutions of this antibody should be experimentally determined.
Immunohistochemistry-Paraffin
Optimal dilutions of this antibody should be experimentally determined.
Western Blot
Optimal dilutions of this antibody should be experimentally determined.
Application Notes
Immunohistochemistry (Formalin-fixed): 1-2ug/ml for 30 minutes at RT. Staining of formalin-fixed tissues requires heating tissue sections in 10mM Tris with 1mM EDTA, pH 9.0, for 45 min at 95C followed by cooling at RT for 20 minutes.
Optimal dilution for a specific application should be determined.
Use in Immunohistochemistry-free floating reported in scientific literature (PMID: 30653967).
Optimal dilution for a specific application should be determined.
Use in Immunohistochemistry-free floating reported in scientific literature (PMID: 30653967).
Formulation, Preparation, and Storage
Purification
Protein A or G purified
Formulation
10 mM PBS
Format
Azide and BSA Free
Preservative
No Preservative
Concentration
1.0 mg/ml
Shipping
The product is shipped with polar packs. Upon receipt, store it immediately at the temperature recommended below.
Stability & Storage
Store at -20 to -80C. Avoid freeze-thaw cycles.
Background: Vimentin
Activated macrophages have been shown to secrete phosphorylated vimentin which can be stimulated by a variety of pathophysiological factors including oxidized low-density lipoproteins and TNF-alpha or inhibited by IL-10 (1). The vimentin protein is often expressed at the cell surface playing a role in cell-cell interactions, tissue damage and repair, immune response, and pathogen recognition (1). Vimentin functions in many cytoskeletal processes including cell migration, which is highlighted by its upregulation during epithelial-to-mesenchymal transition (EMT) (4,5). Vimentin is a commonly used marker for EMT and is expressed by many tumor types (5). For example, high metastasis of oral squamous cell carcinomas also showed high vimentin positive expression in immunohistochemical staining analysis (5). A number of vimentin targeting compounds are in cancer-related clinical trials, however, given the multifunctional role of vimentin, the effect of inhibition on non-malignant cells needs to be thoroughly examined (5).
References
1. Ramos, I., Stamatakis, K., Oeste, C. L., & Perez-Sala, D. (2020). Vimentin as a Multifaceted Player and Potential Therapeutic Target in Viral Infections. International Journal of Molecular Sciences. https://doi.org/10.3390/ijms21134675
2. Uniprot (P08670)
3. Morrow, C. S., & Moore, D. L. (2020). Vimentin's side gig: Regulating cellular proteostasis in mammalian systems. Cytoskeleton (Hoboken, N.J.). https://doi.org/10.1002/cm.21645
4. van Bodegraven, E. J., & Etienne-Manneville, S. (2020). Intermediate filaments against actomyosin: the david and goliath of cell migration. Current Opinion in Cell Biology. https://doi.org/10.1016/j.ceb.2020.05.006
5. Strouhalova, K., Prechova, M., Gandalovicova, A., Brabek, J., Gregor, M., & Rosel, D. (2020). Vimentin Intermediate Filaments as Potential Target for Cancer Treatment. Cancers. https://doi.org/10.3390/cancers12010184
Alternate Names
VIM
Gene Symbol
VIM
Additional Vimentin Products
Product Documents for Vimentin Antibody (VM1170) - Azide and BSA Free
Product Specific Notices for Vimentin Antibody (VM1170) - Azide and BSA Free
This product is for research use only and is not approved for use in humans or in clinical diagnosis. Primary Antibodies are guaranteed for 1 year from date of receipt.
Loading...
Loading...
Loading...
Loading...