Skip to main content

VEPH1 Antibody - BSA Free

Novus Biologicals, part of Bio-Techne | Catalog # NBP1-82291

Novus Biologicals, part of Bio-Techne
Catalog #
Availability
Size / Price
Qty
Loading...
NBP1-82291
NBP1-82291-25ul

Key Product Details

Species Reactivity

Validated:

Human

Predicted:

Mouse (93%), Rat (93%). Backed by our 100% Guarantee.

Applications

Immunohistochemistry, Immunohistochemistry-Paraffin, Western Blot, Immunocytochemistry/ Immunofluorescence

Label

Unconjugated

Antibody Source

Polyclonal Rabbit IgG

Format

BSA Free

Concentration

Concentrations vary lot to lot. See vial label for concentration. If unlisted please contact technical services.

Product Specifications

Immunogen

This antibody was developed against Recombinant Protein corresponding to amino acids: RAGDLFSLDDSEIEDSLTEALEQIKIISSSSDYQTNNNDQAVVEICITRITTAIRETESIEKHAKALVGLWDSCLEHNLRPFGKDEDTPHAKIASDIMSCILQNYNRPPVMALAIPIAVKFLHRGNKELCRNMS

Clonality

Polyclonal

Host

Rabbit

Isotype

IgG

Description

Novus Biologicals Rabbit VEPH1 Antibody - BSA Free (NBP1-82291) is a polyclonal antibody validated for use in IHC, WB and ICC/IF. Anti-VEPH1 Antibody: Cited in 1 publication. All Novus Biologicals antibodies are covered by our 100% guarantee.

Scientific Data Images for VEPH1 Antibody - BSA Free

Western Blot: VEPH1 Antibody [NBP1-82291]

Western Blot: VEPH1 Antibody [NBP1-82291]

Western Blot: VEPH1 Antibody [NBP1-82291] - Analysis in control (vector only transfected HEK293T lysate) and VEPH1 over-expression lysate (Co-expressed with a C-terminal myc-DDK tag (3.1 kDa) in mammalian HEK293T cells).
Immunocytochemistry/ Immunofluorescence: VEPH1 Antibody [NBP1-82291]

Immunocytochemistry/ Immunofluorescence: VEPH1 Antibody [NBP1-82291]

Immunocytochemistry/Immunofluorescence: VEPH1 Antibody [NBP1-82291] - Staining of human cell line A-431 shows localization to nucleus, nucleoli & cytosol. Antibody staining is shown in green.
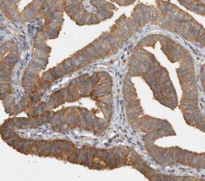
Immunohistochemistry-Paraffin: VEPH1 Antibody [NBP1-82291]

Immunohistochemistry-Paraffin: VEPH1 Antibody [NBP1-82291]

Immunohistochemistry-Paraffin: VEPH1 Antibody [NBP1-82291] - Staining of human endometrium shows very weak membranous positivity in glandular cells.

Applications for VEPH1 Antibody - BSA Free

Application
Recommended Usage

Immunocytochemistry/ Immunofluorescence

0.25-2 ug/ml

Immunohistochemistry

1:20 - 1:50

Immunohistochemistry-Paraffin

1:20-1:50

Western Blot

1:100-1:500
Application Notes
For IHC-Paraffin, HIER pH 6 retrieval is recommended. ICC/IF Fixation Permeabilization: Use PFA/Triton X-100.

Formulation, Preparation, and Storage

Purification

Affinity purified

Formulation

PBS (pH 7.2) and 40% Glycerol

Format

BSA Free

Preservative

0.02% Sodium Azide

Concentration

Concentrations vary lot to lot. See vial label for concentration. If unlisted please contact technical services.

Shipping

The product is shipped with polar packs. Upon receipt, store it immediately at the temperature recommended below.

Stability & Storage

Store at 4C short term. Aliquot and store at -20C long term. Avoid freeze-thaw cycles.

Background: VEPH1

Alternate Names

FLJ12604, KIAA1692MGC111426, MELT, MGC126709, MGC142115, Protein melted, ventricular zone expressed PH domain homolog 1 (zebrafish), ventricular zone-expressed PH domain-containing protein homolog 1, VEPH

Gene Symbol

VEPH1

Additional VEPH1 Products

Product Documents for VEPH1 Antibody - BSA Free

Certificate of Analysis

To download a Certificate of Analysis, please enter a lot number in the search box below.

Product Specific Notices for VEPH1 Antibody - BSA Free

This product is for research use only and is not approved for use in humans or in clinical diagnosis. Primary Antibodies are guaranteed for 1 year from date of receipt.

Loading...
Loading...
Loading...
Loading...