Skip to main content

VDR/NR1I1/Vitamin D Receptor Antibody (JA11-16)

Novus Biologicals, part of Bio-Techne | Catalog # NBP2-66778

Recombinant Monoclonal Antibody.
Novus Biologicals, part of Bio-Techne
Catalog #
Availability
Size / Price
Qty
Loading...
NBP2-66778

Key Product Details

Validated by

Biological Validation

Species Reactivity

Human, Mouse, Rat

Applications

Flow Cytometry, Immunohistochemistry, Immunohistochemistry-Paraffin, Western Blot

Label

Unconjugated

Antibody Source

Recombinant Monoclonal Rabbit IgG Clone # JA11-16 expressed in HEK293

Concentration

1 mg/ml

Product Specifications

Immunogen

Synthetic peptide with Human VDR/NR1I1/Vitamin D Receptor aa 1-50 / 427. (SwissProt: P11473 Human; SwissProt: P48281 Mouse; SwissProt: P13053 Rat)

Localization

Nucleus.

Clonality

Monoclonal

Host

Rabbit

Isotype

IgG

Description

Novus Biologicals Rabbit VDR/NR1I1/Vitamin D Receptor Antibody (JA11-16) (NBP2-66778) is a recombinant monoclonal antibody validated for use in IHC, WB and Flow. All Novus Biologicals antibodies are covered by our 100% guarantee.

Scientific Data Images for VDR/NR1I1/Vitamin D Receptor Antibody (JA11-16)

Western Blot: VDR/NR1I1/Vitamin D Receptor Antibody (JA11-16) [NBP2-66778]

Western Blot: VDR/NR1I1/Vitamin D Receptor Antibody (JA11-16) [NBP2-66778]

Western Blot: VDR/NR1I1/Vitamin D Receptor Antibody (JA11-16) [NBP2-66778] - Western blot analysis of VDR/NR1I1/Vitamin D Receptor on different lysates. Proteins were transferred to a PVDF membrane and blocked with 5% BSA in PBS for 1 hour at room temperature. The primary antibody (1/500) was used in 5% BSA at room temperature for 2 hours. Goat Anti-Rabbit IgG - HRP Secondary Antibody (HA1001) at 1:5,000 dilution was used for 1 hour at room temperature. Positive control: Lane 1: MCF-7 cell lysate Lane 2: U937 cell lysate
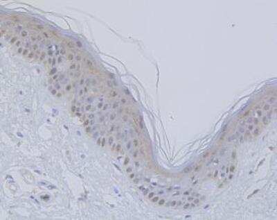
Immunohistochemistry-Paraffin: VDR/NR1I1/Vitamin D Receptor Antibody (JA11-16) [NBP2-66778]

Immunohistochemistry-Paraffin: VDR/NR1I1/Vitamin D Receptor Antibody (JA11-16) [NBP2-66778]

Immunohistochemistry-Paraffin: VDR/NR1I1/Vitamin D Receptor Antibody (JA11-16) [NBP2-66778] - Analysis of paraffin-embedded rat skin tissue with Rabbit anti-Vitamin D Receptor antibody washed with ddH2O and PBS, and then probed with the primary antibody at 1/800 dilution for 1 hour at room temperature. The detection was performed using an HRP conjugated compact polymer system. DAB was used as the chromogen. Tissues were counterstained with hematoxylin and mounted with DPX.
Flow Cytometry: VDR/NR1I1/Vitamin D Receptor Antibody (JA11-16) [NBP2-66778]

Flow Cytometry: VDR/NR1I1/Vitamin D Receptor Antibody (JA11-16) [NBP2-66778]

Flow Cytometry: VDR/NR1I1/Vitamin D Receptor Antibody (JA11-16) [NBP2-66778] - Analysis of Hela cells with Vitamin D Receptor antibody at 1/50 dilution (red) compared with an unlabelled control (cells without incubation with primary antibody; black). Alexa Fluor 488-conjugated goat anti rabbit IgG was used as the secondary antibody.

Applications for VDR/NR1I1/Vitamin D Receptor Antibody (JA11-16)

Application
Recommended Usage

Flow Cytometry

1:50-1:100

Immunohistochemistry-Paraffin

1:50-1:200

Western Blot

1:500-1:1000

Formulation, Preparation, and Storage

Purification

Protein A purified

Formulation

TBS (pH7.4), 0.05% BSA, 40% Glycerol

Preservative

0.05% Sodium Azide

Concentration

1 mg/ml

Shipping

The product is shipped with polar packs. Upon receipt, store it immediately at the temperature recommended below.

Stability & Storage

Store at 4C short term. Aliquot and store at -20C long term. Avoid freeze-thaw cycles.

Background: VDR/NR1I1

Vitamin D Receptor encodes the nuclear hormone receptor for vitamin D3. This receptor also functions as a receptor for the secondary bile acid lithocholic acid. The receptor belongs to the family of trans-acting transcriptional regulatory factors and shows sequence similarity to the steroid and thyroid hormone receptors. Downstream targets of this nuclear hormone receptor are principally involved in mineral metabolism though the receptor regulates a variety of other metabolic pathways, such as those involved in the immune response and cancer. Mutations in this gene are associated with type II vitamin D-resistant rickets. A single nucleotide polymorphism in the initiation codon results in an alternate translation start site three codons downstream. Alternative splicing results in multiple transcript variants encoding the same protein.

Long Name

Vitamin D [1,25-Dihydroxyvitamin D3] Receptor

Alternate Names

NR1I1

Gene Symbol

VDR

Additional VDR/NR1I1 Products

Product Documents for VDR/NR1I1/Vitamin D Receptor Antibody (JA11-16)

Certificate of Analysis

To download a Certificate of Analysis, please enter a lot number in the search box below.

Product Specific Notices for VDR/NR1I1/Vitamin D Receptor Antibody (JA11-16)

This product is for research use only and is not approved for use in humans or in clinical diagnosis. Primary Antibodies are guaranteed for 1 year from date of receipt.

Loading...
Loading...
Loading...
Loading...
Loading...