Skip to main content

VCAM-1/CD106 Antibody (6G9) - BSA Free

Novus Biologicals, part of Bio-Techne | Catalog # NBP1-47491

Novus Biologicals, part of Bio-Techne
Catalog #
Availability
Size / Price
Qty
Loading...
NBP1-47491SS
NBP1-47491

Key Product Details

Species Reactivity

Validated:

Human, Mouse

Cited:

Human, Mouse

Applications

Validated:

Immunohistochemistry, Immunohistochemistry-Paraffin, Western Blot, Immunoblotting, ELISA, Simple Western, Immunoprecipitation

Cited:

Immunohistochemistry-Paraffin, Western Blot, Immunoblotting, Immunocytochemistry/ Immunofluorescence, Immunoprecipitation

Label

Unconjugated

Antibody Source

Monoclonal Mouse IgG1 Clone # 6G9

Format

BSA Free

Concentration

1.0 mg/ml

Product Specifications

Immunogen

This VCAM-1/CD106 Antibody (6G9) was developed against a purified recombinant fragment of human VCAM-1 expressed in E. coli.

Reactivity Notes

Use in Mouse reported in scientific literature (PMID: 32243809).

Localization

Membrane. Single-pass type I membrane protein.

Clonality

Monoclonal

Host

Mouse

Isotype

IgG1

Theoretical MW

81 kDa.
Disclaimer note: The observed molecular weight of the protein may vary from the listed predicted molecular weight due to post translational modifications, post translation cleavages, relative charges, and other experimental factors.

Description

Novus Biologicals Mouse VCAM-1/CD106 Antibody (6G9) - BSA Free (NBP1-47491) is a monoclonal antibody validated for use in IHC, WB, ELISA, ICC/IF, Simple Western and IP. Anti-VCAM-1/CD106 Antibody: Cited in 5 publications. All Novus Biologicals antibodies are covered by our 100% guarantee.

Scientific Data Images for VCAM-1/CD106 Antibody (6G9) - BSA Free

Western Blot: VCAM-1/CD106 Antibody (6G9)BSA Free [NBP1-47491]

Western Blot: VCAM-1/CD106 Antibody (6G9)BSA Free [NBP1-47491]

Western Blot: VCAM-1/CD106 Antibody (6G9) [NBP1-47491] - Using VCAM1 mouse mAb against (1) HUVEC and (2) EC cell lysate.
Immunohistochemistry: VCAM-1/CD106 Antibody (6G9) - BSA Free [NBP1-47491]

Immunohistochemistry: VCAM-1/CD106 Antibody (6G9) - BSA Free [NBP1-47491]

VCAM-1-CD106-Antibody-6G9-Immunohistochemistry-NBP1-47491-img0010.jpg
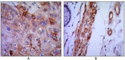
Immunohistochemistry-Paraffin: VCAM-1/CD106 Antibody (6G9) - BSA Free [NBP1-47491]

Immunohistochemistry-Paraffin: VCAM-1/CD106 Antibody (6G9) - BSA Free [NBP1-47491]

Immunohistochemistry-Paraffin: VCAM-1/CD106 Antibody (6G9) [NBP1-47491] - (A) human lung cancer and (B) colon cancer using VCAM1 mouse mAb with DAB staining.

Applications for VCAM-1/CD106 Antibody (6G9) - BSA Free

Application
Recommended Usage

ELISA

1:10000

Immunoblotting

reported in scientific literature (PMID 28569748)

Immunohistochemistry

1:200-1:1000

Immunohistochemistry-Paraffin

1:200-1:1000

Immunoprecipitation

reported in scientific literature (PMID 28569748)

Simple Western

1:1000

Western Blot

1:500-1:2000
Application Notes
In Simple Western only 10 - 15 uL of the recommended dilution is used per data point.
See Simple Western Antibody Database for Simple Western validation: Tested in HUVEC lysate 0.5 mg/mL, separated by Size, antibody dilution of 1:1000, apparent MW was 56 kDa. Separated by Size-Wes, Sally Sue/Peggy Sue.

Reviewed Applications

Read 2 reviews rated 4.5 using NBP1-47491 in the following applications:

Formulation, Preparation, and Storage

Purification

Ammonium sulfate precipitation

Formulation

PBS

Format

BSA Free

Preservative

0.03% Sodium Azide

Concentration

1.0 mg/ml

Shipping

The product is shipped with polar packs. Upon receipt, store it immediately at the temperature recommended below.

Stability & Storage

Store at 4C short term. Aliquot and store at -20C long term. Avoid freeze-thaw cycles.

Background: VCAM-1/CD106

VCAM1 is a member of the Ig superfamily and encodes a cell surface sialoglycoprotein expressed by cytokine-activated endothelium. This type I membrane protein mediates leukocyte-endothelial cell adhesion and signal transduction, and may play a role in the development of artherosclerosis and rheumatoid arthritis. Two alternatively spliced transcripts encoding different isoforms have been described for this gene. Tissue specificity: Expressed on inflamed vascular endothelium, as well as on macrophage-like and dendritic cell types in both normal and inflamed tissue.

Long Name

Vascular Cell Adhesion Molecule 1

Alternate Names

CD106, VCAM1

Entrez Gene IDs

7412 (Human)

Gene Symbol

VCAM1

UniProt

Additional VCAM-1/CD106 Products

Product Documents for VCAM-1/CD106 Antibody (6G9) - BSA Free

Certificate of Analysis

To download a Certificate of Analysis, please enter a lot number in the search box below.

Product Specific Notices for VCAM-1/CD106 Antibody (6G9) - BSA Free

This product is for research use only and is not approved for use in humans or in clinical diagnosis. Primary Antibodies are guaranteed for 1 year from date of receipt.

Loading...
Loading...
Loading...
Loading...