Skip to main content

VBP1 Antibody (3D11) - Azide and BSA Free

Novus Biologicals, part of Bio-Techne | Catalog # H00007411-M01

Novus Biologicals, part of Bio-Techne
Catalog #
Availability
Size / Price
Qty
Loading...
H00007411-M01

Key Product Details

Species Reactivity

Human

Applications

Immunohistochemistry, Immunohistochemistry-Paraffin, Western Blot, ELISA, Sandwich ELISA

Label

Unconjugated

Antibody Source

Monoclonal Mouse IgG1 kappa Clone # 3D11

Format

Azide and BSA Free

Concentration

Concentrations vary lot to lot. See vial label for concentration. If unlisted please contact technical services.

Product Specifications

Immunogen

VBP1 (AAH46094, 1 a.a. ~ 197 a.a) full-length recombinant protein with GST tag. MW of the GST tag alone is 26 KDa. MAAVKDSCGKGEMATGNGRRLHLGIPEAVFVEDVDSFMKQPGNETADTVLKKLDEQYQKYKFMELNLAQKKRRLKGQIPEIKQTLEILKYMQKKKESTNSMETRFLLADNLYCKASVPPTDKVCLWLGANVMLEYDIDEAQALLEKNLSTATKNLDSLEEDLDFLRDQFTTTEVNMARVYNWDVKRRNKDDSTKNKA

Localization

Cytoplasmic and Nuclear. Note=In complex with VHL can translocate to the nucleus.

Specificity

VBP1 - von Hippel-Lindau binding protein 1

Clonality

Monoclonal

Host

Mouse

Isotype

IgG1 kappa

Description

Quality control test: Antibody Reactive Against Recombinant Protein.

Scientific Data Images for VBP1 Antibody (3D11) - Azide and BSA Free

Western Blot: VBP1 Antibody (3D11) [H00007411-M01]

Western Blot: VBP1 Antibody (3D11) [H00007411-M01]

Western Blot: VBP1 Antibody (3D11) [H00007411-M01] - VBP1 monoclonal antibody (M01), clone 3D11 Analysis of VBP1 expression in HL-60.
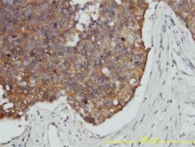
Immunohistochemistry-Paraffin: VBP1 Antibody (3D11) [H00007411-M01]

Immunohistochemistry-Paraffin: VBP1 Antibody (3D11) [H00007411-M01]

Immunohistochemistry-Paraffin: VBP1 Antibody (3D11) [H00007411-M01] - Analysis of monoclonal antibody to VBP1 on formalin-fixed paraffin-embedded human breast cancer tissue. Antibody concentration 5 ug/ml.
Sandwich ELISA: VBP1 Antibody (3D11) [H00007411-M01] - Detection limit for recombinant GST tagged VBP1 is approximately 1ng/ml as a capture antibody.

Applications for VBP1 Antibody (3D11) - Azide and BSA Free

Application
Recommended Usage

ELISA

Optimal dilutions of this antibody should be experimentally determined.

Immunohistochemistry

Optimal dilutions of this antibody should be experimentally determined.

Immunohistochemistry-Paraffin

Optimal dilutions of this antibody should be experimentally determined.

Sandwich ELISA

Optimal dilutions of this antibody should be experimentally determined.

Western Blot

Optimal dilutions of this antibody should be experimentally determined.
Application Notes
Antibody reactivity against cell lysate and recombinant protein for WB. It has also been used for IHC-P and ELISA.

Formulation, Preparation, and Storage

Purification

IgG purified

Formulation

In 1x PBS, pH 7.4

Format

Azide and BSA Free

Preservative

No Preservative

Concentration

Concentrations vary lot to lot. See vial label for concentration. If unlisted please contact technical services.

Shipping

The product is shipped with polar packs. Upon receipt, store it immediately at the temperature recommended below.

Stability & Storage

Aliquot and store at -20C or -80C. Avoid freeze-thaw cycles.

Background: VBP1

The protein encoded by this gene interacts with the Von Hippel-Lindau protein to form an intracellular complex. Because it functions as a chaperone protein, it is suspected that it may play a role in the transport of the Von Hippel-Lindau protein from the perinuclear granules to the nucleus or cytoplasm.

Alternate Names

HIBBJ46, PFD3, PFDN3VHL-binding protein 1, prefoldin 3, prefoldin subunit 3, VBP-1, VHL binding protein-1, von Hippel-Lindau binding protein 1, Von Hippel-Lindau-binding protein 1

Entrez Gene IDs

7411 (Human)

Gene Symbol

VBP1

OMIM

300133 (Human)

Additional VBP1 Products

Product Documents for VBP1 Antibody (3D11) - Azide and BSA Free

Certificate of Analysis

To download a Certificate of Analysis, please enter a lot number in the search box below.

Product Specific Notices for VBP1 Antibody (3D11) - Azide and BSA Free

This product is produced by and distributed for Abnova, a company based in Taiwan.

This product is for research use only and is not approved for use in humans or in clinical diagnosis. Primary Antibodies are guaranteed for 1 year from date of receipt.

Loading...
Loading...
Loading...
Loading...