Skip to main content

USP7 Antibody (7F10) - BSA Free

Novus Biologicals, part of Bio-Techne | Catalog # NBP3-26258

Recombinant monoclonal antibody expressed in HEK293F cells
Novus Biologicals, part of Bio-Techne
Catalog #
Availability
Size / Price
Qty
Loading...
NBP3-26258-100ul
NBP3-26258-50ul

Key Product Details

Species Reactivity

Human

Applications

ELISA, Immunocytochemistry/ Immunofluorescence, Immunohistochemistry, Western Blot

Label

Unconjugated

Antibody Source

Recombinant Monoclonal Rabbit IgG Clone # 7F10 expressed in HEK293

Format

BSA Free

Concentration

Please see the vial label for concentration. If unlisted please contact technical services.

Product Specifications

Immunogen

A synthesized peptide derived from Human USP7 [UniProt Q93009]

Clonality

Monoclonal

Host

Rabbit

Isotype

IgG

Description

Novus Biologicals Rabbit USP7 Antibody (7F10) - BSA Free (NBP3-26258) is a recombinant monoclonal antibody validated for use in IHC, WB, ELISA and ICC/IF. All Novus Biologicals antibodies are covered by our 100% guarantee.

Scientific Data Images for USP7 Antibody (7F10) - BSA Free

USP7 Antibody (7F10)

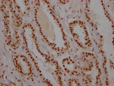
Immunohistochemistry: USP7 Antibody (7F10) [NBP3-26258] -

Immunohistochemistry: USP7 Antibody (7F10) [NBP3-26258] - Image of USP7 Antibody (7F10) diluted at 1:100 and staining in paraffin-embedded human prostate cancer performed. After dewaxing and hydration, antigen retrieval was mediated by high pressure in a citrate buffer (pH 6.0). Section was blocked with 10% normal goat serum 30min at RT. Then primary antibody (1% BSA) was incubated at 4C overnight. The primary is detected by a Goat anti-rabbit IgG polymer labeled by HRP and visualized using 0.05% DAB.
USP7 Antibody (7F10)

Immunohistochemistry: USP7 Antibody (7F10) [NBP3-26258] -

Immunohistochemistry: USP7 Antibody (7F10) [NBP3-26258] - Image of USP7 Antibody (7F10) diluted at 1:100 and staining in paraffin-embedded human prostate cancer performed. After dewaxing and hydration, antigen retrieval was mediated by high pressure in a citrate buffer (pH 6.0). Section was blocked with 10% normal goat serum 30min at RT. Then primary antibody (1% BSA) was incubated at 4C overnight. The primary is detected by a Goat anti-rabbit IgG polymer labeled by HRP and visualized using 0.05% DAB.
USP7 Antibody (7F10)

Western Blot: USP7 Antibody (7F10) [NBP3-26258] -

Western Blot: USP7 Antibody (7F10) [NBP3-26258] - Positive Western Blot detected in: K562 whole cell lysate.
All lanes: USP7 Antibody at 1: 1000
Secondary: Goat polyclonal to rabbit IgG at 1/50000 dilution.
Predicted band size: 129, 127 kDa
Observed band size: 140 kDa

Applications for USP7 Antibody (7F10) - BSA Free

Application
Recommended Usage

Immunocytochemistry/ Immunofluorescence

1:20-1:200

Immunohistochemistry

1:50-1:200

Western Blot

1:500-1:5000

Formulation, Preparation, and Storage

Purification

Affinity purified

Formulation

PBS, pH 7.4, 150mM NaCl, and 50% glycerol

Format

BSA Free

Preservative

0.02% Sodium Azide

Concentration

Please see the vial label for concentration. If unlisted please contact technical services.

Shipping

The product is shipped with polar packs. Upon receipt, store it immediately at the temperature recommended below.

Stability & Storage

Store at -20 to -70C. Avoid freeze-thaw cycles.

Background: USP7

HAUSP (also known as deubiquitinating enzyme 7, herpes virus associated ubiquitin specific protease, TEF1, ubiquitin carboxyl terminal hydrolase 7, ubiquitin specific protease 7, ubiquitin thiolesterase 7, and USP7) is a novel p53 interacting protein. HAUSP was identified by mass spectrometry of affinity-purified p53 associated factors by Li et al. HAUSP strongly stabilizes p53 even in the presence of excess MDM2, and also induces p53-dependent cell growth repression and apoptosis. HAUSP has an intrinsic enzymatic activity that specifically de-ubiquitinates p53 both in vivo and in vitro. Expression of a catalytically inactive point mutation of HAUSP in cells increased the levels of p53 ubiquitination and also destabilized p53. Li et al concluded that their findings revealed an important mechanism by which p53 can be stabilized by direct de-ubiquitination and also implied that HAUSP may function as a tumor suppressor in vivo through the stabilization of p53.

Long Name

Ubiquitin Specific Protease 7

Alternate Names

HAUSP, TEF1

Gene Symbol

USP7

Additional USP7 Products

Product Documents for USP7 Antibody (7F10) - BSA Free

Certificate of Analysis

To download a Certificate of Analysis, please enter a lot number in the search box below.

Product Specific Notices for USP7 Antibody (7F10) - BSA Free

This product is for research use only and is not approved for use in humans or in clinical diagnosis. Primary Antibodies are guaranteed for 1 year from date of receipt.

Loading...
Loading...
Loading...
Loading...