Skip to main content

USP36 Antibody - BSA Free

Novus Biologicals, part of Bio-Techne | Catalog # NB100-40832

Novus Biologicals, part of Bio-Techne

Key Product Details

Validated by

Independent Antibodies

Species Reactivity

Human

Applications

Validated:

Immunohistochemistry, Immunohistochemistry-Paraffin, Western Blot, Immunoprecipitation

Cited:

Western Blot

Label

Unconjugated

Antibody Source

Polyclonal Rabbit IgG

Format

BSA Free

Concentration

1.0 mg/ml

Product Specifications

Immunogen

The immunogen recognized by this antibody maps to a region between residue 1070 and the C-terminus (residue 1121) of human Ubiquitin Specific Peptidase 36 (Deubiquinating Enzyme 1) using the numbering given in entry NP_079366.2 (GeneID 57602).

Marker

Nucleolus Marker

Clonality

Polyclonal

Host

Rabbit

Isotype

IgG

Description

Novus Biologicals Rabbit USP36 Antibody - BSA Free (NB100-40832) is a polyclonal antibody validated for use in IHC, WB and IP. Anti-USP36 Antibody: Cited in 1 publication. All Novus Biologicals antibodies are covered by our 100% guarantee.

Scientific Data Images for USP36 Antibody - BSA Free

Western Blot: USP36 Antibody [NB100-40832]

Western Blot: USP36 Antibody [NB100-40832]

Western Blot: USP36 Antibody [NB100-40832] - Whole cell lysate (50 ug) from HeLa, Hep-G2, and U2OS cells prepared using NETN lysis buffer. Antibody: Affinity purified rabbit anti-USP36/DUB1 antibody used for WB at 0.4 ug/ml. Detection: Chemiluminescence with an exposure time of 75 seconds.
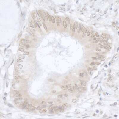
Immunohistochemistry-Paraffin: USP36 Antibody [NB100-40832]

Immunohistochemistry-Paraffin: USP36 Antibody [NB100-40832]

Immunohistochemistry-Paraffin: USP36 Antibody [NB100-40832] - Section of human colon carcinoma. Antibody: Affinity purified rabbit anti- USP36/DUB1 used at a dilution of 1:5,000 (0.2ug/ml). Detection: DAB
Immunoprecipitation: USP36 Antibody [NB100-40832]

Immunoprecipitation: USP36 Antibody [NB100-40832]

Immunoprecipitation: USP36 Antibody [NB100-40832] - Detection of Human USP36/DUB1 on HeLa whole cell lysate using NB100-40832. USP36/DUB1 was also immunoprecipitated by another rabbit anti- USP36/DUB1 antibody and NB100-40831.

Applications for USP36 Antibody - BSA Free

Application
Recommended Usage

Immunohistochemistry

0.2-4ug/ml

Immunohistochemistry-Paraffin

0.2-4ug/ml

Immunoprecipitation

2 - 10 ug/mg lysate

Western Blot

0.4-1ug/ml
Application Notes
Epitope retrieval with Tris-EDTA pH9.0 is recommended for FFPE tissue sections.

Formulation, Preparation, and Storage

Purification

Immunogen affinity purified

Formulation

Tris-Citrate/Phosphate (pH 7.0 - 8.0)

Format

BSA Free

Preservative

0.09% Sodium Azide

Concentration

1.0 mg/ml

Shipping

The product is shipped with polar packs. Upon receipt, store it immediately at the temperature recommended below.

Stability & Storage

Store at 4C. Do not freeze.

Background: USP36

USP36 belongs to the peptidase C19 family and is a deubiquitinating enzyme. USP36 contains the PEST motif and is polyubiquitinated. USP36 is broadly expressed. There are two named isoforms.

Long Name

Ubiquitin Specific Protease 36

Alternate Names

DUB1, KIAA1453

Entrez Gene IDs

57602 (Human)

Gene Symbol

USP36

Additional USP36 Products

Product Documents for USP36 Antibody - BSA Free

Certificate of Analysis

To download a Certificate of Analysis, please enter a lot number in the search box below.

Product Specific Notices for USP36 Antibody - BSA Free

This product is for research use only and is not approved for use in humans or in clinical diagnosis. Primary Antibodies are guaranteed for 1 year from date of receipt.

Loading...
Loading...
Loading...
Loading...