Skip to main content

USP32 Antibody - BSA Free

Novus Biologicals, part of Bio-Techne | Catalog # NBP2-98655

Novus Biologicals, part of Bio-Techne

Key Product Details

Species Reactivity

Human

Applications

Immunohistochemistry, Immunohistochemistry-Paraffin

Label

Unconjugated

Antibody Source

Polyclonal Rabbit IgG

Format

BSA Free

Concentration

Please see the vial label for concentration. If unlisted please contact technical services.

Product Specifications

Immunogen

Produced in rabbits immunized with E. coli-derived Human USP32 fragment.

Clonality

Polyclonal

Host

Rabbit

Isotype

IgG

Description

This antibody can be stored at 2C to 8C for one month without detectable loss of activity. Antibody products are stable for twelve months from date of receipt when stored at -20C to -80C. Avoid repeated freeze-thaw cycles.

Scientific Data Images for USP32 Antibody - BSA Free

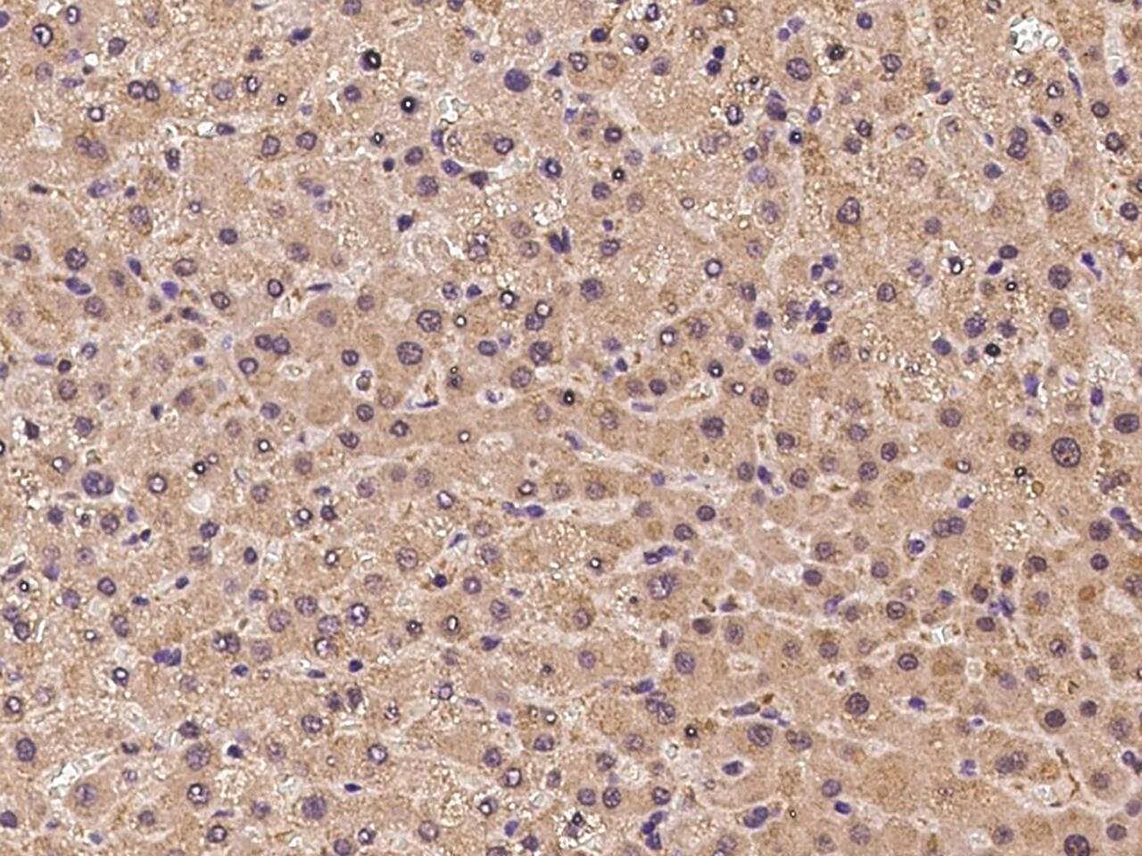
Immunohistochemistry-Paraffin: USP32 Antibody [NBP2-98655]

Immunohistochemistry-Paraffin: USP32 Antibody [NBP2-98655]

Immunohistochemistry-Paraffin: USP32 Antibody [NBP2-98655] - Immunochemical staining of human USP32 in human liver with rabbit polyclonal antibody at 1:100 dilution, formalin-fixed paraffin embedded sections.
USP32 Antibody - BSA Free

Immunohistochemistry-Paraffin: USP32 Antibody - BSA Free [NBP2-98655] -

Immunohistochemistry-Paraffin: USP32 Antibody - BSA Free [NBP2-98655] - Immunochemical staining of human USP32 in human liver with NBP2-98655 at 1:100 dilution, formalin-fixed paraffin embedded sections.

Applications for USP32 Antibody - BSA Free

Application
Recommended Usage

Immunohistochemistry-Paraffin

1:50-1:200

Formulation, Preparation, and Storage

Purification

Antigen and protein A Affinity-purified

Formulation

PBS

Format

BSA Free

Preservative

0.03% Proclin 300

Concentration

Please see the vial label for concentration. If unlisted please contact technical services.

Shipping

The product is shipped with polar packs. Upon receipt, store it immediately at the temperature recommended below.

Stability & Storage

Store at 4C short term. Aliquot and store at -20C long term. Avoid freeze-thaw cycles.

Background: USP32

Ubiquitin-specific peptidase 32 (USP32) is a thioesterase enzyme that catalyzes the hydrolysis of ubiquitin from ubiquitin conjugates. USP32 has also been identified as an antigen recognized by autologous antibodies in patients with renal-cell carcinoma and as part of a chimeric gene, the Tre2 (USP6) oncogene, which resulted from a fusion between USP32 and TBC1D3.

Long Name

Ubiquitin Specific Protease 32

Alternate Names

NY-REN-60

Gene Symbol

USP32

Additional USP32 Products

Product Documents for USP32 Antibody - BSA Free

Certificate of Analysis

To download a Certificate of Analysis, please enter a lot number in the search box below.

Product Specific Notices for USP32 Antibody - BSA Free

This product is for research use only and is not approved for use in humans or in clinical diagnosis. Primary Antibodies are guaranteed for 1 year from date of receipt.

Loading...
Loading...
Loading...
Loading...