Skip to main content

USP13 Antibody

Novus Biologicals, part of Bio-Techne | Catalog # NBP2-24575

Novus Biologicals, part of Bio-Techne
Catalog #
Availability
Size / Price
Qty
Loading...
NBP2-24575
NBP2-24575SS

Key Product Details

Species Reactivity

Human, Mouse, Bovine, Canine, Equine, Primate

Applications

Immunohistochemistry, Immunohistochemistry-Paraffin, Western Blot

Label

Unconjugated

Antibody Source

Polyclonal Rabbit IgG

Concentration

0.5 mg/ml

Product Specifications

Immunogen

A portion of amino acids 500-550 of human USP13 was used as the immunogen for the antibody.

Reactivity Notes

This antibody is reactive to Chimpanzee, Rhesus Monkey.

Clonality

Polyclonal

Host

Rabbit

Isotype

IgG

Description

Novus Biologicals Rabbit USP13 Antibody (NBP2-24575) is a polyclonal antibody validated for use in IHC and WB. All Novus Biologicals antibodies are covered by our 100% guarantee.

Scientific Data Images for USP13 Antibody

Western Blot: USP13 Antibody [NBP2-24575]

Western Blot: USP13 Antibody [NBP2-24575]

Western Blot: USP13 Antibody [NBP2-24575] - analysis of human spleen lysate in the 1) absence and 2) presence of immunizing peptide using USP13 antibody at 0.25 ug/ml. I goat anti-rabbit Ig HRP secondary antibody and PicoTect ECL substrate solution were used for this test.
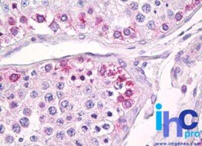
Immunohistochemistry-Paraffin: USP13 Antibody [NBP2-24575]

Immunohistochemistry-Paraffin: USP13 Antibody [NBP2-24575]

Immunohistochemistry-Paraffin: USP13 Antibody [NBP2-24575] - Formalin-fixed, paraffin-embedded human testis stained with USP13 antibody at 10 ug/ml. Staining of formalin-fixed tissues is enhanced by boiling tissue sections in 10 mM sodium citrate buffer, pH 6.0 for 10-20 min followed by cooling at RT for 20 min.

Applications for USP13 Antibody

Application
Recommended Usage

Immunohistochemistry-Paraffin

5-10 ug/ml

Western Blot

0.25-1.0 ug/ml
Application Notes
This antibody has been tested in ELISA only.

Formulation, Preparation, and Storage

Purification

Immunogen affinity purified

Formulation

PBS and 0.05% BSA

Preservative

0.05% Sodium Azide

Concentration

0.5 mg/ml

Shipping

The product is shipped with polar packs. Upon receipt, store it immediately at the temperature recommended below.

Stability & Storage

Store at -20C. Avoid freeze-thaw cycles.

Background: USP13

Long Name

Ubiquitin Specific Protease 13

Alternate Names

Isopeptidase T-3, IsoT-3, Ubiquitin Thioesterase 13

Gene Symbol

USP13

UniProt

Additional USP13 Products

Product Documents for USP13 Antibody

Certificate of Analysis

To download a Certificate of Analysis, please enter a lot number in the search box below.

Product Specific Notices for USP13 Antibody

This product is for research use only and is not approved for use in humans or in clinical diagnosis. Primary Antibodies are guaranteed for 1 year from date of receipt.

Loading...
Loading...
Loading...
Loading...