Skip to main content

USP10 Antibody - BSA Free

Novus Biologicals, part of Bio-Techne | Catalog # NBP1-83029

Catalog #
Availability
Size / Price
Qty
Loading...
NBP1-83029
NBP1-83029-25ul

Key Product Details

Validated by

Knockout/Knockdown, Independent Antibodies

Species Reactivity

Human

Applications

Immunohistochemistry, Immunohistochemistry-Paraffin, Western Blot, Immunocytochemistry/ Immunofluorescence, Knockdown Validated

Label

Unconjugated

Antibody Source

Polyclonal Rabbit IgG

Format

BSA Free

Concentration

Concentrations vary lot to lot. See vial label for concentration. If unlisted please contact technical services.

Product Specifications

Immunogen

This antibody was developed against Recombinant Protein corresponding to amino acids: KITPDGITKEASYGSIDCQYPGSALALDGSSNVEAEVLENDGVSGGLGQRERKKKKKRPPGYYSYLKDGGDDSISTEALVNGHANSAVPNSVSAEDAEFMGDMPPPLTPRTCNSPQNSTDS

Clonality

Polyclonal

Host

Rabbit

Isotype

IgG

Scientific Data Images for USP10 Antibody - BSA Free

Western Blot: USP10 Antibody [NBP1-83029]

Western Blot: USP10 Antibody [NBP1-83029]

Western Blot: USP10 Antibody [NBP1-83029] - Analysis in U2OS cells transfected with control siRNA, target specific siRNA probe #1 and #2. Remaining relative intensity is presented.
Immunocytochemistry/ Immunofluorescence: USP10 Antibody [NBP1-83029]

Immunocytochemistry/ Immunofluorescence: USP10 Antibody [NBP1-83029]

Immunocytochemistry/Immunofluorescence: USP10 Antibody [NBP1-83029] - Staining of human cell line U-2 OS shows localization to nucleoplasm & cytosol. Antibody staining is shown in green.
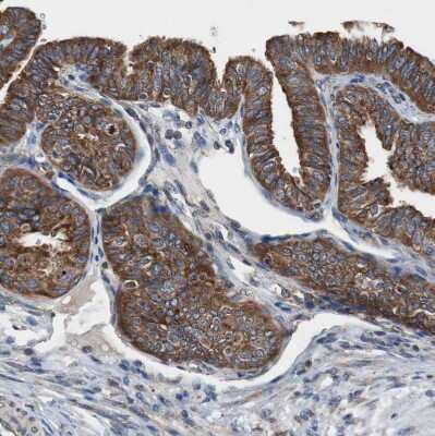
Immunohistochemistry-Paraffin: USP10 Antibody [NBP1-83029]

Immunohistochemistry-Paraffin: USP10 Antibody [NBP1-83029]

Immunohistochemistry-Paraffin: USP10 Antibody [NBP1-83029] - Staining of human stomach shows moderate cytoplasmic positivity in glandular cells.

Applications for USP10 Antibody - BSA Free

Application
Recommended Usage

Immunocytochemistry/ Immunofluorescence

0.25-2 ug/ml

Immunohistochemistry

1:500 - 1:1000

Immunohistochemistry-Paraffin

1:500 - 1:1000

Western Blot

0.04-0.4 ug/ml
Application Notes
For IHC-Paraffin, HIER pH 6 retrieval is recommended. ICC/IF Fixation Permeabilization: Use PFA/Triton X-100.

Formulation, Preparation, and Storage

Purification

Affinity purified

Formulation

PBS (pH 7.2) and 40% Glycerol

Format

BSA Free

Preservative

0.02% Sodium Azide

Concentration

Concentrations vary lot to lot. See vial label for concentration. If unlisted please contact technical services.

Shipping

The product is shipped with polar packs. Upon receipt, store it immediately at the temperature recommended below.

Stability & Storage

Store at 4C short term. Aliquot and store at -20C long term. Avoid freeze-thaw cycles.

Background: USP10

Ubiquitin is a highly conserved protein that is covalently linked to other proteins to regulate their function and degradation. This gene encodes a member of the ubiquitin-specific protease family of cysteine proteases. The enzyme specifically cleaves ubiquitin from ubiquitin-conjugated protein substrates. The protein is found in the nucleus and cytoplasm. It functions as a co-factor of the DNA-bound androgen receptor complex, and is inhibited by a protein in the Ras-GTPase pathway. The human genome contains several pseudogenes similar to this gene.

Long Name

Ubiquitin Specific Protease 10

Alternate Names

Ubiquitin Thiolesterase 10, UBPO, Uchrp

Gene Symbol

USP10

Additional USP10 Products

Product Documents for USP10 Antibody - BSA Free

Certificate of Analysis

To download a Certificate of Analysis, please enter a lot number in the search box below.

Product Specific Notices for USP10 Antibody - BSA Free

This product is for research use only and is not approved for use in humans or in clinical diagnosis. Primary Antibodies are guaranteed for 1 year from date of receipt.

Loading...
Loading...
Loading...
Loading...