Skip to main content

USP10 Antibody (OTI2E1)

Novus Biologicals, part of Bio-Techne | Catalog # NBP2-01452

Novus Biologicals, part of Bio-Techne
Catalog #
Availability
Size / Price
Qty
Loading...
NBP2-01452

Key Product Details

Validated by

Knockout/Knockdown

Species Reactivity

Validated:

Human, Mouse, Rat, Canine, Monkey, Primate

Cited:

Human

Applications

Validated:

Knockout Validated, Immunohistochemistry, Immunohistochemistry-Paraffin, Western Blot, Flow Cytometry, Immunocytochemistry/ Immunofluorescence

Cited:

Western Blot, Immunocytochemistry/ Immunofluorescence, Proximity Ligation Assay

Label

Unconjugated

Antibody Source

Monoclonal Mouse IgG1 Clone # OTI2E1

Concentration

1 mg/ml

Product Specifications

Immunogen

Full length human recombinant protein of human USP10(NP_005144) produced in HEK293T cell.

Reactivity Notes

Please note that this antibody is reactive to Mouse and derived from the same host, Mouse. Mouse-On-Mouse blocking reagent may be needed for IHC and ICC experiments to reduce high background signal. You can find these reagents under catalog numbers PK-2200-NB and MP-2400-NB. Please contact Technical Support if you have any questions.

Clonality

Monoclonal

Host

Mouse

Isotype

IgG1

Theoretical MW

87 kDa.
Disclaimer note: The observed molecular weight of the protein may vary from the listed predicted molecular weight due to post translational modifications, post translation cleavages, relative charges, and other experimental factors.

Description

Novus Biologicals Knockout (KO) Validated Mouse USP10 Antibody (OTI2E1) (NBP2-01452) is a monoclonal antibody validated for use in IHC, WB, Flow and ICC/IF. Anti-USP10 Antibody: Cited in 1 publication. All Novus Biologicals antibodies are covered by our 100% guarantee.

Scientific Data Images for USP10 Antibody (OTI2E1)

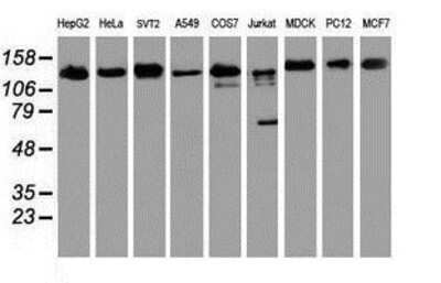
Western Blot: USP10 Antibody (OTI2E1) [NBP2-01452]

Western Blot: USP10 Antibody (OTI2E1) [NBP2-01452]

Western Blot: USP10 Antibody (OTI2E1) [NBP2-01452] - Equivalent amounts of cell lysates (10 ug per lane) of wild-type Hela cells (WT) and USP10-Knockout Hela cells (KO) were separated by SDS-PAGE and immunoblotted with anti-USP10 monoclonal antibody NBP2-01452, (1:500). Then the blotted membrane was stripped and reprobed with an anti-beta-actin antibody as a loading control.
Immunocytochemistry/ Immunofluorescence: USP10 Antibody (OTI2E1) [NBP2-01452]

Immunocytochemistry/ Immunofluorescence: USP10 Antibody (OTI2E1) [NBP2-01452]

Immunocytochemistry/Immunofluorescence: USP10 Antibody (2E1) [NBP2-01452] - Staining of COS7 cells transiently transfected by pCMV6-ENTRY USP10.
Immunohistochemistry-Paraffin: USP10 Antibody (OTI2E1) [NBP2-01452]

Immunohistochemistry-Paraffin: USP10 Antibody (OTI2E1) [NBP2-01452]

Immunohistochemistry-Paraffin: USP10 Antibody (OTI2E1) [NBP2-01452] - Immunohistochemical staining of paraffin-embedded Human tonsil within the normal limits using anti-USP10 mouse monoclonal antibody. (Heat-induced epitope retrieval by 10mM citric buffer, pH6.0, 100 degrees C for 10min, NBP2-01452)

Applications for USP10 Antibody (OTI2E1)

Application
Recommended Usage

Flow Cytometry

1:100

Immunocytochemistry/ Immunofluorescence

1:100

Immunohistochemistry

1:150

Immunohistochemistry-Paraffin

1:150

Western Blot

1:500-2000

Formulation, Preparation, and Storage

Purification

Immunogen affinity purified

Formulation

PBS (pH 7.3), 1.0% BSA and 50% Glycerol

Preservative

0.02% Sodium Azide

Concentration

1 mg/ml

Shipping

The product is shipped with polar packs. Upon receipt, store it immediately at the temperature recommended below.

Stability & Storage

Store at -20C. Avoid freeze-thaw cycles.

Background: USP10

Ubiquitin is a highly conserved protein that is covalently linked to other proteins to regulate their function and degradation. This gene encodes a member of the ubiquitin-specific protease family of cysteine proteases. The enzyme specifically cleaves ubiquitin from ubiquitin-conjugated protein substrates. The protein is found in the nucleus and cytoplasm. It functions as a co-factor of the DNA-bound androgen receptor complex, and is inhibited by a protein in the Ras-GTPase pathway. The human genome contains several pseudogenes similar to this gene. [provided by RefSeq].

Long Name

Ubiquitin Specific Protease 10

Alternate Names

Ubiquitin Thiolesterase 10, UBPO, Uchrp

Entrez Gene IDs

9100 (Human)

Gene Symbol

USP10

Additional USP10 Products

Product Documents for USP10 Antibody (OTI2E1)

Certificate of Analysis

To download a Certificate of Analysis, please enter a lot number in the search box below.

Product Specific Notices for USP10 Antibody (OTI2E1)

This product is for research use only and is not approved for use in humans or in clinical diagnosis. Primary Antibodies are guaranteed for 1 year from date of receipt.

Loading...
Loading...
Loading...
Loading...
Loading...