Skip to main content

USMG5 Antibody - BSA Free

Novus Biologicals, part of Bio-Techne | Catalog # NBP3-45629

Novus Biologicals, part of Bio-Techne
Catalog #
Availability
Size / Price
Qty
Loading...
NBP3-45629

Key Product Details

Species Reactivity

Human, Mouse, Rat

Applications

Immunohistochemistry, Western Blot, ELISA

Label

Unconjugated

Antibody Source

Polyclonal Rabbit IgG

Format

BSA Free

Concentration

Please see the vial label for concentration. If unlisted please contact technical services.

Product Specifications

Immunogen

up-regulated during skeletal muscle growth 5 homolog(Mouse). (Uniprot# Q96IX5)

Clonality

Polyclonal

Host

Rabbit

Isotype

IgG

Theoretical MW

7 kDa.
Disclaimer note: The observed molecular weight of the protein may vary from the listed predicted molecular weight due to post translational modifications, post translation cleavages, relative charges, and other experimental factors.

Description

Novus Biologicals Rabbit USMG5 Antibody - BSA Free (NBP3-45629) is a polyclonal antibody validated for use in IHC, WB and ELISA. All Novus Biologicals antibodies are covered by our 100% guarantee.

Scientific Data Images for USMG5 Antibody - BSA Free

USMG5 Antibody - BSA Free

Western Blot: USMG5 Antibody - BSA Free [NBP3-45629] -

Western Blot: USMG5 Antibody - BSA Free [NBP3-45629] - Human liver tissue were subjected to SDS PAGE followed by western blot with (USMG5 antibody) at dilution of 1:400
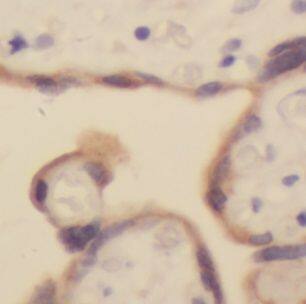
USMG5 Antibody - BSA Free

Immunohistochemistry: USMG5 Antibody - BSA Free [NBP3-45629] -

Immunohistochemistry: USMG5 Antibody - BSA Free [NBP3-45629] - Immunohistochemistry of paraffin-embedded human placenta using (USMG5 antibody) at dilution of 1:100

Applications for USMG5 Antibody - BSA Free

Application
Recommended Usage

Immunohistochemistry

1:20-1:200

Western Blot

1:500-1:1000

Formulation, Preparation, and Storage

Purification

Immunogen affinity purified

Formulation

PBS, 50% Glycerol, pH (7.3)

Format

BSA Free

Preservative

0.02% Sodium Azide

Concentration

Please see the vial label for concentration. If unlisted please contact technical services.

Shipping

The product is shipped with polar packs. Upon receipt, store it immediately at the temperature recommended below.

Stability & Storage

Store at -20C. Avoid freeze-thaw cycles.

Background: USMG5

Alternate Names

up-regulated during skeletal muscle growth 5 homolog (mouse)

Gene Symbol

USMG5

Additional USMG5 Products

Product Documents for USMG5 Antibody - BSA Free

Certificate of Analysis

To download a Certificate of Analysis, please enter a lot number in the search box below.

Product Specific Notices for USMG5 Antibody - BSA Free

This product is for research use only and is not approved for use in humans or in clinical diagnosis. Primary Antibodies are guaranteed for 1 year from date of receipt.

Loading...
Loading...
Loading...
Loading...