Skip to main content

Uroplakin Ib Antibody - BSA Free

Novus Biologicals, part of Bio-Techne | Catalog # NBP1-80656

Novus Biologicals, part of Bio-Techne
Catalog #
Availability
Size / Price
Qty
Loading...
NBP1-80656
NBP1-80656-25ul

Key Product Details

Species Reactivity

Validated:

Human, Mouse

Cited:

Human, Mouse

Applications

Validated:

Immunohistochemistry, Immunohistochemistry-Paraffin, Western Blot

Cited:

Western Blot, Immunocytochemistry/ Immunofluorescence

Label

Unconjugated

Antibody Source

Polyclonal Rabbit IgG

Format

BSA Free

Concentration

Concentrations vary lot to lot. See vial label for concentration. If unlisted please contact technical services.

Product Specifications

Immunogen

This antibody was developed against Recombinant Protein corresponding to amino acids: KYTSAFRTENNDADYPWPRQCCVMNNLKEPLNLEACKLGVPGFYHNQGCYELISGPMNR

Reactivity Notes

Mouse reactivity reported from a verified customer review. Immunogen displays the following percentage of sequence identity for non-tested species: Rat (85%)

Clonality

Polyclonal

Host

Rabbit

Isotype

IgG

Description

Novus Biologicals Rabbit Uroplakin Ib Antibody - BSA Free (NBP1-80656) is a polyclonal antibody validated for use in IHC, WB and ICC/IF. Anti-Uroplakin Ib Antibody: Cited in 2 publications. All Novus Biologicals antibodies are covered by our 100% guarantee.

Scientific Data Images for Uroplakin Ib Antibody - BSA Free

Western Blot: Uroplakin Ib Antibody [NBP1-80656]

Western Blot: Uroplakin Ib Antibody [NBP1-80656]

Western Blot: Uroplakin Ib Antibody [NBP1-80656] - Analysis of Uroplakin Ib antibody. Lane M: Protein marker Lane 1: UMUC1 cell lysates 30 ug Lane 2: RT112 cell lysates 30 ug. Image from verified customer review.
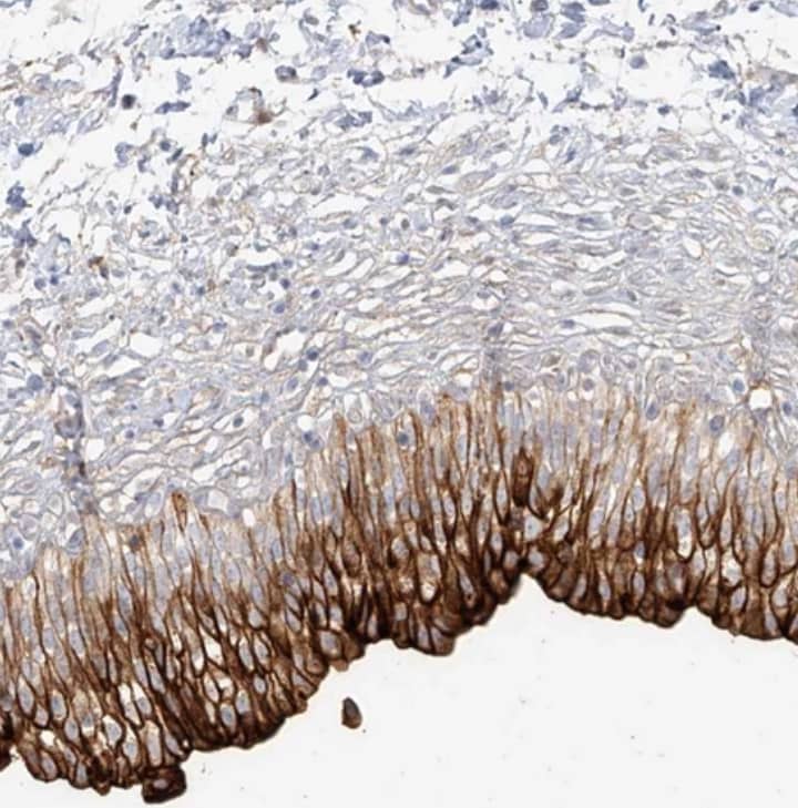
Uroplakin Ib Antibody - BSA Free

Uroplakin Ib Antibody [NBP1-80656] -

Staining of human urinary bladder shows strong membranous positivity in urothelial cells.
Western Blot: Uroplakin Ib Antibody [NBP1-80656]

Western Blot: Uroplakin Ib Antibody [NBP1-80656]

Western Blot: Uroplakin Ib Antibody [NBP1-80656] - Analysis in control (3.1 kDa) in mammalian HEK293T cells).

Applications for Uroplakin Ib Antibody - BSA Free

Application
Recommended Usage

Immunohistochemistry

1:500 - 1:1000

Immunohistochemistry-Paraffin

1:500 - 1:1000

Western Blot

0.04-0.4 ug/ml
Application Notes
For IHC-Paraffin, HIER pH 6 retrieval is recommended.

Reviewed Applications

Read 2 reviews rated 5 using NBP1-80656 in the following applications:

Formulation, Preparation, and Storage

Purification

Affinity purified

Formulation

PBS (pH 7.2) and 40% Glycerol

Format

BSA Free

Preservative

0.02% Sodium Azide

Concentration

Concentrations vary lot to lot. See vial label for concentration. If unlisted please contact technical services.

Shipping

The product is shipped with polar packs. Upon receipt, store it immediately at the temperature recommended below.

Stability & Storage

Store at 4C short term. Aliquot and store at -20C long term. Avoid freeze-thaw cycles.

Background: Uroplakin Ib

UPK1B - uroplakin 1B

Alternate Names

TSPAN20, UP1b, UPIB, UPK1B, Uroplakin 1B

Entrez Gene IDs

7348 (Human)

Gene Symbol

UPK1B

Additional Uroplakin Ib Products

Product Documents for Uroplakin Ib Antibody - BSA Free

Certificate of Analysis

To download a Certificate of Analysis, please enter a lot number in the search box below.

Product Specific Notices for Uroplakin Ib Antibody - BSA Free

This product is for research use only and is not approved for use in humans or in clinical diagnosis. Primary Antibodies are guaranteed for 1 year from date of receipt.

Loading...
Loading...
Loading...
Loading...