Skip to main content

UPF3A Antibody - BSA Free

Novus Biologicals, part of Bio-Techne | Catalog # NBP3-45641

Novus Biologicals, part of Bio-Techne
Catalog #
Availability
Size / Price
Qty
Loading...
NBP3-45641

Key Product Details

Species Reactivity

Human, Mouse, Rat

Applications

ELISA, Immunocytochemistry/ Immunofluorescence, Immunohistochemistry, Western Blot

Label

Unconjugated

Antibody Source

Polyclonal Rabbit IgG

Format

BSA Free

Concentration

Please see the vial label for concentration. If unlisted please contact technical services.

Product Specifications

Immunogen

UPF3 regulator of nonsense transcripts homolog A(yeast). (Uniprot# Q9H1J1)

Clonality

Polyclonal

Host

Rabbit

Isotype

IgG

Theoretical MW

51 kDa.
Disclaimer note: The observed molecular weight of the protein may vary from the listed predicted molecular weight due to post translational modifications, post translation cleavages, relative charges, and other experimental factors.

Description

Novus Biologicals Rabbit UPF3A Antibody - BSA Free (NBP3-45641) is a polyclonal antibody validated for use in IHC, WB, ELISA and ICC/IF. All Novus Biologicals antibodies are covered by our 100% guarantee.

Scientific Data Images for UPF3A Antibody - BSA Free

UPF3A Antibody - BSA Free

Western Blot: UPF3A Antibody - BSA Free [NBP3-45641] -

Western Blot: UPF3A Antibody - BSA Free [NBP3-45641] - Human testis tissue were subjected to SDS PAGE followed by western blot with (UPF3A antibody) at dilution of 1:500
UPF3A Antibody - BSA Free

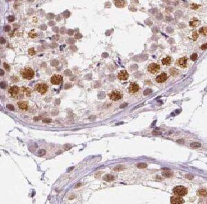
Immunohistochemistry: UPF3A Antibody - BSA Free [NBP3-45641] -

Immunohistochemistry: UPF3A Antibody - BSA Free [NBP3-45641] - Immunohistochemistry of paraffin-embedded human testis using (UPF3A antibody) at dilution of 1:50

Applications for UPF3A Antibody - BSA Free

Application
Recommended Usage

Immunocytochemistry/ Immunofluorescence

1:20-1:200

Immunohistochemistry

1:20-1:200

Western Blot

1:500-1:5000

Formulation, Preparation, and Storage

Purification

Immunogen affinity purified

Formulation

PBS, 50% Glycerol, pH (7.3)

Format

BSA Free

Preservative

0.02% Sodium Azide

Concentration

Please see the vial label for concentration. If unlisted please contact technical services.

Shipping

The product is shipped with polar packs. Upon receipt, store it immediately at the temperature recommended below.

Stability & Storage

Store at -20C. Avoid freeze-thaw cycles.

Background: UPF3A

UPF3A encodes a protein that is part of a post-splicing multiprotein complex involved in both mRNA nuclear export and mRNA surveillance. The encoded protein is one of two functional homologs to yeast Upf3p. mRNA surveillance detects exported mRNAs with truncated open reading frames and initiates nonsense-mediated mRNA decay (NMD). When translation ends upstream from the last exon-exon junction, this triggers NMD to degrade mRNAs containing premature stop codons. This protein binds to the mRNA and remains bound after nuclear export, acting as a nucleocytoplasmic shuttling protein. It forms with Y14 a complex that binds specifically 20 nt upstream of exon-exon junctions. This gene is located on the long arm of chromosome 13. Two splice variants encoding different isoforms have been found for this gene. [provided by RefSeq]

Alternate Names

HUPF3A, Nonsense mRNA reducing factor 3A, regulator of nonsense transcripts 3A, RENT3AUp-frameshift suppressor 3 homolog A, UPF3 regulator of nonsense transcripts homolog A (yeast), UPF3hUpf3

Gene Symbol

UPF3A

Additional UPF3A Products

Product Documents for UPF3A Antibody - BSA Free

Certificate of Analysis

To download a Certificate of Analysis, please enter a lot number in the search box below.

Product Specific Notices for UPF3A Antibody - BSA Free

This product is for research use only and is not approved for use in humans or in clinical diagnosis. Primary Antibodies are guaranteed for 1 year from date of receipt.

Loading...
Loading...
Loading...
Loading...