Skip to main content

UNG Antibody - Azide and BSA Free

Novus Biologicals, part of Bio-Techne | Catalog # NBP2-98838

Novus Biologicals, part of Bio-Techne

Key Product Details

Species Reactivity

Human

Applications

Immunohistochemistry, Immunohistochemistry-Paraffin, Immunocytochemistry/ Immunofluorescence

Label

Unconjugated

Antibody Source

Polyclonal Rabbit IgG

Format

Azide and BSA Free

Concentration

Please see the vial label for concentration. If unlisted please contact technical services.

Product Specifications

Immunogen

Produced in rabbits immunized with a synthetic peptide corresponding to the C-terminus of the Human UNG.

Clonality

Polyclonal

Host

Rabbit

Isotype

IgG

Description

This antibody can be stored at 2C to 8C for one month without detectable loss of activity. Antibody products are stable for twelve months from date of receipt when stored at -20C to -80C. Avoid repeated freeze-thaw cycles.

Scientific Data Images for UNG Antibody - Azide and BSA Free

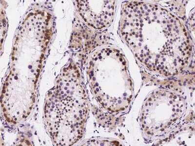
Immunohistochemistry-Paraffin: UNG Antibody [NBP2-98838]

Immunohistochemistry-Paraffin: UNG Antibody [NBP2-98838]

Immunohistochemistry-Paraffin: UNG Antibody [NBP2-98838] - Immunochemical staining of human UNG in human testis with rabbit polyclonal antibody (1:2000, formalin-fixed paraffin embedded sections).
Immunohistochemistry-Paraffin: UNG Antibody [NBP2-98838]

Immunohistochemistry-Paraffin: UNG Antibody [NBP2-98838]

Immunohistochemistry-Paraffin: UNG Antibody [NBP2-98838] - Immunochemical staining of human UNG in human stomach with rabbit polyclonal antibody (1:2000, formalin-fixed paraffin embedded sections).
UNG Antibody - Azide and BSA Free

Immunocytochemistry/Immunofluorescence: UNG Antibody [NBP2-98838] -

Immunocytochemistry/Immunofluorescence: UNG Antibody [NBP2-98838] - Immunofluorescence staining of UNG in HeLa cells. Cells were fixed with 4% PFA, permeabilzed with 0.3% Triton X-100 in PBS, blocked with 10% serum, and incubated with NBP2-98838 antibody (1:1000) at 4C overnight. Then cells were stained with the Alexa Fluor(R)594-conjugated Goat Anti-rabbit IgG Secondary antibody (red) and counterstained with DAPI (blue). Positive staining was localized to cytoplasm.

Applications for UNG Antibody - Azide and BSA Free

Application
Recommended Usage

Immunocytochemistry/ Immunofluorescence

1:300-1:10000

Immunohistochemistry-Paraffin

1:1000-1:4000

Formulation, Preparation, and Storage

Purification

Antigen and protein A Affinity-purified

Formulation

0.2 um filtered solution in PBS

Format

Azide and BSA Free

Preservative

No Preservative

Concentration

Please see the vial label for concentration. If unlisted please contact technical services.

Shipping

The product is shipped with polar packs. Upon receipt, store it immediately at the temperature recommended below.

Stability & Storage

Store at 4C short term. Aliquot and store at -20C long term. Avoid freeze-thaw cycles.

Background: UNG

The uracil-DNA glycosylase gene encodes one of several uracil-DNA glycosylases. One important function of uracil-DNA glycosylases is to prevent mutagenesis by eliminating uracil from DNA molecules by cleaving the N-glycosylic bond and initiating the base-excision repair (BER)

Long Name

Uracil N-Glycosylase

Alternate Names

DGU, UDG

Gene Symbol

UNG

Additional UNG Products

Product Documents for UNG Antibody - Azide and BSA Free

Certificate of Analysis

To download a Certificate of Analysis, please enter a lot number in the search box below.

Product Specific Notices for UNG Antibody - Azide and BSA Free

This product is for research use only and is not approved for use in humans or in clinical diagnosis. Primary Antibodies are guaranteed for 1 year from date of receipt.

Loading...
Loading...
Loading...
Loading...