Skip to main content

ULK2 Antibody

Novus Biologicals, part of Bio-Techne | Catalog # NBP3-12362

Novus Biologicals, part of Bio-Techne
Catalog #
Availability
Size / Price
Qty
Loading...
NBP3-12362

Key Product Details

Species Reactivity

Human, Mouse, Rat

Applications

ELISA, Immunohistochemistry, Immunohistochemistry-Paraffin, Immunoprecipitation, Western Blot

Label

Unconjugated

Antibody Source

Polyclonal Rabbit

Concentration

Please see the vial label for concentration. If unlisted please contact technical services.

Product Specifications

Immunogen

Synthetic peptide taken within amino acid region 550-600 on rat ULK2 protein.

Clonality

Polyclonal

Host

Rabbit

Description

Novus Biologicals Rabbit ULK2 Antibody (NBP3-12362) is a polyclonal antibody validated for use in IHC, WB, ELISA and IP. All Novus Biologicals antibodies are covered by our 100% guarantee.

Scientific Data Images for ULK2 Antibody

Western Blot: ULK2 Antibody [NBP3-12362]

Western Blot: ULK2 Antibody [NBP3-12362]

Western Blot: ULK2 Antibody [NBP3-12362] - 1:500 antibody dilution in DiluObuffer. Apparent MW is 98 KDa.
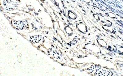
Immunohistochemistry-Paraffin: ULK2 Antibody [NBP3-12362]

Immunohistochemistry-Paraffin: ULK2 Antibody [NBP3-12362]

Immunohistochemistry-Paraffin: ULK2 Antibody [NBP3-12362] - Rat Fallopian Tube. 1:100 dilution in IHC blocking buffer. DAB (brown) staining and Hematoxylin QS (blue) counterstain. 40X magnification.

Applications for ULK2 Antibody

Application
Recommended Usage

ELISA

1:10000

Immunohistochemistry

1:100

Immunohistochemistry-Paraffin

1:100

Immunoprecipitation

1:200

Western Blot

1:500

Formulation, Preparation, and Storage

Purification

Affinity purified

Formulation

Contains Tris, HCl/glycine buffer (pH 7.4-7.8), 30% glycerol, 0.5% BSA, along with cryo-protective agents, and HEPES (exact storage and stabilization buffer information is proprietary).

Preservative

0.02% Sodium Azide

Concentration

Please see the vial label for concentration. If unlisted please contact technical services.

Shipping

The product is shipped with polar packs. Upon receipt, store it immediately at the temperature recommended below.

Stability & Storage

Store at 4C short term. Store at -20C long term. Avoid freeze-thaw cycles.

Background: ULK2

Catalytic activity: ATP + a protein = ADP + a phosphoprotein.; Post-translational modification: Autophosphorylated

Long Name

Serine/threonine-protein kinase ULK2

Alternate Names

KIAA0623

Gene Symbol

ULK2

Additional ULK2 Products

Product Documents for ULK2 Antibody

Certificate of Analysis

To download a Certificate of Analysis, please enter a lot number in the search box below.

Product Specific Notices for ULK2 Antibody

This product is for research use only and is not approved for use in humans or in clinical diagnosis. Primary Antibodies are guaranteed for 1 year from date of receipt.

Loading...
Loading...
Loading...
Loading...