Skip to main content

ULK2 Antibody - BSA Free

Novus Biologicals, part of Bio-Techne | Catalog # NBP1-33136

Novus Biologicals, part of Bio-Techne
Catalog #
Availability
Size / Price
Qty
Loading...
NBP1-33136

Key Product Details

Validated by

Knockout/Knockdown

Species Reactivity

Validated:

Human, Mouse, Rat

Cited:

Human, Mouse

Applications

Validated:

Immunohistochemistry, Immunohistochemistry-Paraffin, Western Blot, Immunocytochemistry/ Immunofluorescence

Cited:

Western Blot

Label

Unconjugated

Antibody Source

Polyclonal Rabbit IgG

Format

BSA Free

Concentration

Concentrations vary lot to lot. See vial label for concentration. If unlisted please contact technical services.

Product Specifications

Immunogen

Recombinant protein encompassing a sequence within the C-terminus region of human ULK2. The exact sequence is proprietary.

Clonality

Polyclonal

Host

Rabbit

Isotype

IgG

Theoretical MW

113 kDa.
Disclaimer note: The observed molecular weight of the protein may vary from the listed predicted molecular weight due to post translational modifications, post translation cleavages, relative charges, and other experimental factors.

Description

Novus Biologicals Rabbit ULK2 Antibody - BSA Free (NBP1-33136) is a polyclonal antibody validated for use in IHC, WB and ICC/IF. Anti-ULK2 Antibody: Cited in 4 publications. All Novus Biologicals antibodies are covered by our 100% guarantee.

Scientific Data Images for ULK2 Antibody - BSA Free

Western Blot: ULK2 Antibody [NBP1-33136]

Western Blot: ULK2 Antibody [NBP1-33136]

Western Blot: ULK2 Antibody [NBP1-33136] - Various whole cell extracts (30 ug) were separated by 7.5% SDS-PAGE, and the membrane was blotted with ULK2 antibody [C2C3], C-term diluted at 1:500. The HRP-conjugated anti-rabbit IgG antibody (NBP2-19301) was used to detect the primary antibody.
Immunocytochemistry/ Immunofluorescence: ULK2 Antibody [NBP1-33136]

Immunocytochemistry/ Immunofluorescence: ULK2 Antibody [NBP1-33136]

Immunocytochemistry/Immunofluorescence: ULK2 Antibody [NBP1-33136] - HeLa cells were fixed in ice-cold MeOH for 5 min. Green: ULK2 stained by ULK2 antibody [C2C3], C-term diluted at 1:500. Blue: Hoechst 33342 staining.Scale bar= 10 um.
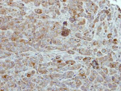
Immunohistochemistry-Paraffin: ULK2 Antibody [NBP1-33136]

Immunohistochemistry-Paraffin: ULK2 Antibody [NBP1-33136]

Immunohistochemistry-Paraffin: ULK2 Antibody [NBP1-33136] - MCF7 xenograft, using ULK2 antibody at 1:500 dilution. Antigen Retrieval: Trilogy™ (EDTA based, pH 8.0) buffer, 15min.

Applications for ULK2 Antibody - BSA Free

Application
Recommended Usage

Immunocytochemistry/ Immunofluorescence

1:100-1:1000

Immunohistochemistry

1:100-1:1000

Immunohistochemistry-Paraffin

1:100-1:1000

Western Blot

1:500-1:3000

Formulation, Preparation, and Storage

Purification

Antigen Affinity-purified

Formulation

PBS, 20% Glycerol

Format

BSA Free

Preservative

0.025% Proclin 300

Concentration

Concentrations vary lot to lot. See vial label for concentration. If unlisted please contact technical services.

Shipping

The product is shipped with polar packs. Upon receipt, store it immediately at the temperature recommended below.

Stability & Storage

Aliquot and store at -20C or -80C. Avoid freeze-thaw cycles.

Background: ULK2

This gene encodes a protein that is similar to a serine/threonine kinase in C. elegans which is involved in axonal elongation. The structure of this protein is similar to the C. elegans protein in that both proteins have an N-terminal kinase domain, a central proline/serine rich (PS) domain, and a C-terminal (C) domain. The gene is located within the Smith-Magenis syndrome region on chromosome 17.

Long Name

Serine/threonine-protein kinase ULK2

Alternate Names

KIAA0623

Gene Symbol

ULK2

Additional ULK2 Products

Product Documents for ULK2 Antibody - BSA Free

Certificate of Analysis

To download a Certificate of Analysis, please enter a lot number in the search box below.

Product Specific Notices for ULK2 Antibody - BSA Free

This product is for research use only and is not approved for use in humans or in clinical diagnosis. Primary Antibodies are guaranteed for 1 year from date of receipt.

Loading...
Loading...
Loading...
Loading...