UGT Antibody - BSA Free
Novus Biologicals, part of Bio-Techne | Catalog # NBP1-80642
Key Product Details
Species Reactivity
Validated:
Human
Cited:
Human
Applications
Validated:
Immunohistochemistry, Immunohistochemistry-Paraffin
Cited:
IF/IHC
Label
Unconjugated
Antibody Source
Polyclonal Rabbit IgG
Format
BSA Free
Concentration
Concentrations vary lot to lot. See vial label for concentration. If unlisted please contact technical services.
Product Specifications
Immunogen
This antibody was developed against Recombinant Protein corresponding to amino acids: RGAAKAIASASASASGPCVHQQPPGQPPPPQLSSHRGDLITEPFLPKLLTKVKGS
Reactivity Notes
Immunogen displays the following percentage of sequence identity for non-tested species: Mouse (89%), Rat (80%)
Clonality
Polyclonal
Host
Rabbit
Isotype
IgG
Description
Novus Biologicals Rabbit UGT Antibody - BSA Free (NBP1-80642) is a polyclonal antibody validated for use in IHC. Anti-UGT Antibody: Cited in 1 publication. All Novus Biologicals antibodies are covered by our 100% guarantee.
Scientific Data Images for UGT Antibody - BSA Free
Immunohistochemistry-Paraffin: UGT Antibody [NBP1-80642]
Immunohistochemistry-Paraffin: UGT Antibody [NBP1-80642] - Staining of human Cerebral cortex shows moderate granular cytoplasmic positivity in neuronal and glial cells.Immunohistochemistry-Paraffin: UGT Antibody [NBP1-80642]
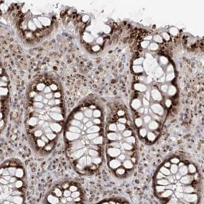
Immunohistochemistry-Paraffin: UGT Antibody [NBP1-80642] - Staining of human rectum shows strong cytoplasmic staining and additional nuclear membrane positivity in glandular cells.Immunohistochemistry-Paraffin: UGT Antibody [NBP1-80642]
Immunohistochemistry-Paraffin: UGT Antibody [NBP1-80642] - Staining of human fallopian tube shows strong granular cytoplasmic positivity in glandular cells.Applications for UGT Antibody - BSA Free
Application
Recommended Usage
Immunohistochemistry
1:50 - 1:200
Immunohistochemistry-Paraffin
1:50 - 1:200
Application Notes
For IHC-Paraffin, HIER pH 6 retrieval is recommended.
Formulation, Preparation, and Storage
Purification
Immunogen affinity purified
Formulation
PBS (pH 7.2) and 40% Glycerol
Format
BSA Free
Preservative
0.02% Sodium Azide
Concentration
Concentrations vary lot to lot. See vial label for concentration. If unlisted please contact technical services.
Shipping
The product is shipped with polar packs. Upon receipt, store it immediately at the temperature recommended below.
Stability & Storage
Store at 4C short term. Aliquot and store at -20C long term. Avoid freeze-thaw cycles.
Background: UGT
Alternate Names
solute carrier family 35 (UDP-galactose transporter), member 2, solute carrier family 35 (UDP-galactose transporter), member A2, UDP-galactose translocator, UGALTUGAT, UGT1, UGT2UDP-galactose transporter, UGTLSolute carrier family 35 member A2, UGTUDP-Gal-Tr
Entrez Gene IDs
7355 (Human)
Gene Symbol
SLC35A2
UniProt
Additional UGT Products
Product Documents for UGT Antibody - BSA Free
Product Specific Notices for UGT Antibody - BSA Free
This product is for research use only and is not approved for use in humans or in clinical diagnosis. Primary Antibodies are guaranteed for 1 year from date of receipt.
Loading...
Loading...
Loading...
Loading...