Skip to main content

UFM1 Antibody - BSA Free

Novus Biologicals, part of Bio-Techne | Catalog # NBP1-88977

Novus Biologicals, part of Bio-Techne
Catalog #
Availability
Size / Price
Qty
Loading...
NBP1-88977
NBP1-88977-25ul

Key Product Details

Species Reactivity

Human

Applications

Immunohistochemistry, Immunohistochemistry-Paraffin, Western Blot

Label

Unconjugated

Antibody Source

Polyclonal Rabbit IgG

Format

BSA Free

Concentration

Concentrations vary lot to lot. See vial label for concentration. If unlisted please contact technical services.

Product Specifications

Immunogen

This antibody was developed against Recombinant Protein corresponding to amino acids: IRAFPTTTPRSLHLFTSSTFLARALPGAFPTGACEERLSVPESTPFTAVLKFAAEEFKVPAATSAIITNDGIGINPAQTAGNVFLKHGSELRIIPRDRVGSC

Clonality

Polyclonal

Host

Rabbit

Isotype

IgG

Scientific Data Images for UFM1 Antibody - BSA Free

Western Blot: UFM1 Antibody [NBP1-88977]

Western Blot: UFM1 Antibody [NBP1-88977]

Western Blot: UFM1 Antibody [NBP1-88977] - Lane 1: Marker [kDa] 250, 130, 100, 70, 55, 35, 25, 15, 10. Lane 2: U-87 MG
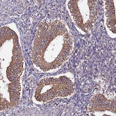
Immunohistochemistry-Paraffin: UFM1 Antibody [NBP1-88977]

Immunohistochemistry-Paraffin: UFM1 Antibody [NBP1-88977]

Immunohistochemistry-Paraffin: UFM1 Antibody [NBP1-88977] - Staining of human small intestine shows strong cytoplasmic positivity in glandular cells.
Immunohistochemistry-Paraffin: UFM1 Antibody [NBP1-88977]

Immunohistochemistry-Paraffin: UFM1 Antibody [NBP1-88977]

Immunohistochemistry-Paraffin: UFM1 Antibody [NBP1-88977] - Staining of human endometrium shows strong cytoplasmic positivity in glandular cells.

Applications for UFM1 Antibody - BSA Free

Application
Recommended Usage

Immunohistochemistry

1:200 - 1:500

Immunohistochemistry-Paraffin

1:200 - 1:500

Western Blot

0.04-0.4 ug/ml
Application Notes
For IHC-Paraffin, HIER pH 6 retrieval is recommended.

Formulation, Preparation, and Storage

Purification

Affinity purified

Formulation

PBS (pH 7.2) and 40% Glycerol

Format

BSA Free

Preservative

0.02% Sodium Azide

Concentration

Concentrations vary lot to lot. See vial label for concentration. If unlisted please contact technical services.

Shipping

The product is shipped with polar packs. Upon receipt, store it immediately at the temperature recommended below.

Stability & Storage

Store at 4C short term. Aliquot and store at -20C long term. Avoid freeze-thaw cycles.

Background: UFM1

UFM1 is a ubiquitin-like protein that is conjugated to target proteins by E1-like activating enzyme UBA5 (UBE1DC1; MIM 610552) and E2-like conjugating enzyme UFC1 (MIM 610554) in a manner analogous to ubiquitinylation (see UBE2M; MIM 603173) (Komatsu et al., 2004 [PubMed 15071506]).[supplied by OMIM]

Long Name

Ubiquitin-fold Modifier 1

Alternate Names

C13orf20

Gene Symbol

UFM1

Additional UFM1 Products

Product Documents for UFM1 Antibody - BSA Free

Certificate of Analysis

To download a Certificate of Analysis, please enter a lot number in the search box below.

Product Specific Notices for UFM1 Antibody - BSA Free

This product is for research use only and is not approved for use in humans or in clinical diagnosis. Primary Antibodies are guaranteed for 1 year from date of receipt.

Loading...
Loading...
Loading...
Loading...