Skip to main content

UEVLD Antibody - BSA Free

Novus Biologicals, part of Bio-Techne | Catalog # NBP3-05953

Novus Biologicals, part of Bio-Techne

Key Product Details

Species Reactivity

Human

Applications

Immunohistochemistry, Immunohistochemistry-Paraffin, Western Blot, Immunoprecipitation

Label

Unconjugated

Antibody Source

Polyclonal Rabbit IgG

Format

BSA Free

Concentration

Please see the vial label for concentration. If unlisted please contact technical services.

Product Specifications

Immunogen

Produced in rabbits immunized with E. coli-derived Human UEVLD fragment.

Clonality

Polyclonal

Host

Rabbit

Isotype

IgG

Description

This antibody can be stored at 2C-8C for one month without detectable loss of activity. Antibody products are stable for twelve months from date of receipt when stored at -20C to -80C. Avoid repeated freeze-thaw cycles.

Scientific Data Images for UEVLD Antibody - BSA Free

Western Blot: UEVLD Antibody [NBP3-05953]

Western Blot: UEVLD Antibody [NBP3-05953]

Western Blot: UEVLD Antibody [NBP3-05953] - Lane A: HepG2 Whole Cell LysateLane B: 293T Whole Cell LysateLysates/proteins at 30 ug per lane.SecondaryGoat Anti-Rabbit IgG (H+L)/HRP at 1/10000 dilution.Developed using the ECL technique.Performed under reducing conditions.Predicted band size:52 kDaObserved band size:48 kDa
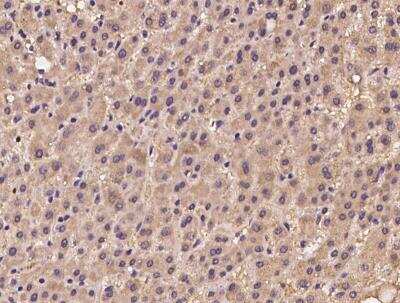
Immunohistochemistry-Paraffin: UEVLD Antibody [NBP3-05953]

Immunohistochemistry-Paraffin: UEVLD Antibody [NBP3-05953]

Immunohistochemistry-Paraffin: UEVLD Antibody [NBP3-05953] - Staining of human UEVLD in human liver with rabbit polyclonal antibody at 1:100 dilution.
Immunohistochemistry-Paraffin: UEVLD Antibody [NBP3-05953]

Immunohistochemistry-Paraffin: UEVLD Antibody [NBP3-05953]

Immunohistochemistry-Paraffin: UEVLD Antibody [NBP3-05953] - Staining of human UEVLD in human kidney with rabbit polyclonal antibody at 1:100 dilution.

Applications for UEVLD Antibody - BSA Free

Application
Recommended Usage

Immunohistochemistry-Paraffin

1:50-1:200

Immunoprecipitation

1-5uL/mg of lysate

Western Blot

1:500-1:2000

Formulation, Preparation, and Storage

Purification

Antigen and protein A Affinity-purified

Formulation

PBS

Format

BSA Free

Preservative

0.03% Proclin 300

Concentration

Please see the vial label for concentration. If unlisted please contact technical services.

Shipping

The product is shipped with polar packs. Upon receipt, store it immediately at the temperature recommended below.

Stability & Storage

Store at 4C short term. Aliquot and store at -20C long term. Avoid freeze-thaw cycles.

Background: UEVLD

Possible negative regulator of polyubiquitination

Alternate Names

Attp, EV and lactate/malate dehydrogenase domain-containing protein, signaling molecule ATTP, ubiquitin-conjugating enzyme E2 variant 3, UEV and lactate/malate dehyrogenase domains, UEV-3, UEV3FLJ11068

Gene Symbol

UEVLD

Additional UEVLD Products

Product Documents for UEVLD Antibody - BSA Free

Certificate of Analysis

To download a Certificate of Analysis, please enter a lot number in the search box below.

Product Specific Notices for UEVLD Antibody - BSA Free

This product is for research use only and is not approved for use in humans or in clinical diagnosis. Primary Antibodies are guaranteed for 1 year from date of receipt.

Loading...
Loading...
Loading...
Loading...