Skip to main content

UEV2 Antibody - BSA Free

Novus Biologicals, part of Bio-Techne | Catalog # NBP2-95241

Novus Biologicals, part of Bio-Techne
Catalog #
Availability
Size / Price
Qty
Loading...
NBP2-95241-0.02ml
NBP2-95241-0.1ml

Key Product Details

Species Reactivity

Human, Mouse, Rat

Applications

Immunohistochemistry, Immunohistochemistry-Paraffin, Western Blot

Label

Unconjugated

Antibody Source

Polyclonal Rabbit IgG

Format

BSA Free

Concentration

Please see the vial label for concentration. If unlisted please contact technical services.

Product Specifications

Immunogen

Recombinant fusion protein containing a sequence corresponding to amino acids 1-145 of human UBE2V2 (NP_003341.1). MAVSTGVKVPRNFRLLEELEEGQKGVGDGTVSWGLEDDEDMTLTRWTGMIIGPPRTNYENRIYSLKVECGPKYPEAPPSVRFVTKINMNGINNSSGMVDARSIPVLAKWQNSYSIKVVLQELRRLMMSKENMKLPQPPEGQTYNN

Clonality

Polyclonal

Host

Rabbit

Isotype

IgG

Theoretical MW

16 kDa.
Disclaimer note: The observed molecular weight of the protein may vary from the listed predicted molecular weight due to post translational modifications, post translation cleavages, relative charges, and other experimental factors.

Description

Novus Biologicals Rabbit UEV2 Antibody - BSA Free (NBP2-95241) is a polyclonal antibody validated for use in IHC and WB. All Novus Biologicals antibodies are covered by our 100% guarantee.

Scientific Data Images for UEV2 Antibody - BSA Free

Western Blot: UEV2 AntibodyBSA Free [NBP2-95241]

Western Blot: UEV2 AntibodyBSA Free [NBP2-95241]

Western Blot: UEV2 Antibody [NBP2-95241] - Analysis of extracts of various cell lines, using UEV2 at 1:1000 dilution. Secondary antibody: HRP Goat Anti-Rabbit IgG (H+L) at 1:10000 dilution. Lysates/proteins: 25ug per lane. Blocking buffer: 3% nonfat dry milk in TBST. Detection: ECL Basic Kit . Exposure time: 90s.
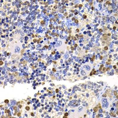
Immunohistochemistry-Paraffin: UEV2 Antibody - BSA Free [NBP2-95241]

Immunohistochemistry-Paraffin: UEV2 Antibody - BSA Free [NBP2-95241]

Immunohistochemistry-Paraffin: UEV2 Antibody [NBP2-95241] - Paraffin-embedded rat spleen using UEV2 .

Applications for UEV2 Antibody - BSA Free

Application
Recommended Usage

Immunohistochemistry

1:50-1:200

Western Blot

1:500-1:2000

Formulation, Preparation, and Storage

Purification

Affinity purified

Formulation

PBS (pH 7.3), 50% glycerol

Format

BSA Free

Preservative

0.02% Sodium Azide

Concentration

Please see the vial label for concentration. If unlisted please contact technical services.

Shipping

The product is shipped with polar packs. Upon receipt, store it immediately at the temperature recommended below.

Stability & Storage

Store at -20C. Avoid freeze-thaw cycles.

Background: UBE2V2

The differentiation and activation of monocytes (MO) and monocytic cells is modulated by Vitamin D3. Recently, using mRNA Differential Display technology, Fritsche J, et al have identified a gene which is induced in freshly isolated human blood MO that are cultured for 4 hours with Vitamin D3. This cDNA encodes a putative 16.5 kD protein. The product of this gene has structural homology with yeast MMS2P and human CROC-1, which defines a structurally and functionally conserved UBC-like protein family. This protein was called UEV2. The yeast UEV protein is required together with UBC13 for RAD6/RAD18-dependent postreplicative DNA repair in yeast. These proteins also play a central role in the assembly of K63-linked polyubiquitin chains UEV/UBC complexes have been implicated in the assembly of Lys63-linked polyubiquitin chains that act as a novel signal in postreplicative DNA repair and IkBa kinase activation. Recent crystal structure analysis provides direct evidence that the UEV2 heterodimer is necessary for DNA repair.

Long Name

Ubiquitin-conjugating Enzyme E2V 2

Alternate Names

DDVit-1, EDAF-1, EDPF1, MMS2, Uev2

Gene Symbol

UBE2V2

Additional UBE2V2 Products

Product Documents for UEV2 Antibody - BSA Free

Certificate of Analysis

To download a Certificate of Analysis, please enter a lot number in the search box below.

Product Specific Notices for UEV2 Antibody - BSA Free

This product is for research use only and is not approved for use in humans or in clinical diagnosis. Primary Antibodies are guaranteed for 1 year from date of receipt.

Loading...
Loading...
Loading...
Loading...