Skip to main content

UCP3 Antibody - Azide and BSA Free

Novus Biologicals, part of Bio-Techne | Catalog # NBP2-94835

Novus Biologicals, part of Bio-Techne
Catalog #
Availability
Size / Price
Qty
Loading...
NBP2-94835-0.02ml
NBP2-94835-0.1ml

Key Product Details

Species Reactivity

Human, Mouse, Rat

Applications

Immunohistochemistry, Immunohistochemistry-Paraffin, Western Blot

Label

Unconjugated

Antibody Source

Polyclonal Rabbit IgG

Format

Azide and BSA Free

Concentration

Please see the vial label for concentration. If unlisted please contact technical services.

Product Specifications

Immunogen

Recombinant fusion protein containing a sequence corresponding to amino acids 20-119 of human UCP3 (NP_073714.1). AGTAACFADLVTFPLDTAKVRLQIQGENQAVQTARLVQYRGVLGTILTMVRTEGPCSPYNGLVAGLQRQMSFASIRIGLYDSVKQVYTPKGADNSSLTTR

Clonality

Polyclonal

Host

Rabbit

Isotype

IgG

Description

Novus Biologicals Rabbit UCP3 Antibody - Azide and BSA Free (NBP2-94835) is a polyclonal antibody validated for use in IHC and WB. All Novus Biologicals antibodies are covered by our 100% guarantee.

Scientific Data Images for UCP3 Antibody - Azide and BSA Free

Western Blot: UCP3 AntibodyAzide and BSA Free [NBP2-94835]

Western Blot: UCP3 AntibodyAzide and BSA Free [NBP2-94835]

Western Blot: UCP3 Antibody [NBP2-94835] - Analysis of extracts of various cell lines, using UCP3 antibody at 1:1000 dilution. Secondary antibody: HRP Goat Anti-Rabbit IgG (H+L) at 1:10000 dilution. Lysates/proteins: 25ug per lane. Blocking buffer: 3% nonfat dry milk in TBST. Detection: ECL Basic Kit. Exposure time: 3s.
Immunohistochemistry-Paraffin: UCP3 Antibody - Azide and BSA Free [NBP2-94835]

Immunohistochemistry-Paraffin: UCP3 Antibody - Azide and BSA Free [NBP2-94835]

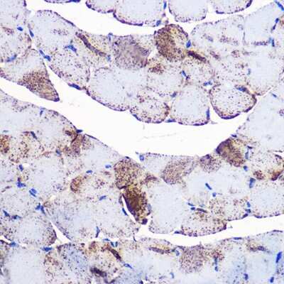
Immunohistochemistry-Paraffin: UCP3 Antibody [NBP2-94835] - Immunohistochemistry of paraffin-embedded mouse skeletal muscle using UCP3 Rabbit pAb (NBP2-94835) at dilution of 1:100 (40x lens). Perform microwave antigen retrieval with 10 mM Tris/EDTA buffer pH 9.0 before commencing with IHC staining protocol.
Immunohistochemistry-Paraffin: UCP3 Antibody - Azide and BSA Free [NBP2-94835]

Immunohistochemistry-Paraffin: UCP3 Antibody - Azide and BSA Free [NBP2-94835]

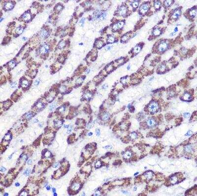
Immunohistochemistry-Paraffin: UCP3 Antibody [NBP2-94835] - Human liver using UCP3 antibody at dilution of 1:100 (40x lens).

Applications for UCP3 Antibody - Azide and BSA Free

Application
Recommended Usage

Immunohistochemistry

1:50-1:200

Western Blot

1:500-1:2000

Formulation, Preparation, and Storage

Purification

Affinity purified

Formulation

PBS (pH 7.3), 50% glycerol

Format

Azide and BSA Free

Preservative

0.01% Thimerosal

Concentration

Please see the vial label for concentration. If unlisted please contact technical services.

Shipping

The product is shipped with polar packs. Upon receipt, store it immediately at the temperature recommended below.

Stability & Storage

Store at -20C. Avoid freeze-thaw cycles.

Background: UCP3

The uncoupling proteins (UCPs) are found in the inner mitochondrial membranes and belong to a family of mitochondrial anion transport proteins that include the phosphate and oxologutarate carriers and the ADP/ATP translocator. Three UCP subtypes have been identified and cloned. UCP 1 is abundantly expressed in brown adipose tissue of mammals. UCP 1 allows proton re-entry into the mitochondrial matrix without involving the F0-F1 ATPase which produces heat instead of ATP. It is thought that UCP 2 and 3 also dissipate the mitochondrial proton gradient produced by the respiratory chain in cells and tissues within which they are expressed. Studies have shown UCP 2 to be expressed by a variety of tissues. UCP 3 is expressed predominantly in brown adipose tissue, skeletal muscle, at lower levels in heart and smooth muscle, and is absent in liver and kidney.

Long Name

Uncoupling Protein 3 (Mitochondrial, Proton Carrier)

Alternate Names

SLC25A9

Gene Symbol

UCP3

Additional UCP3 Products

Product Documents for UCP3 Antibody - Azide and BSA Free

Certificate of Analysis

To download a Certificate of Analysis, please enter a lot number in the search box below.

Product Specific Notices for UCP3 Antibody - Azide and BSA Free

This product is for research use only and is not approved for use in humans or in clinical diagnosis. Primary Antibodies are guaranteed for 1 year from date of receipt.

Loading...
Loading...
Loading...
Loading...

⚠ WARNING: This product can expose you to chemicals including Methotrexate, which is known to the State of California to cause reproductive toxicity with developmental effects. For more information, go to www.P65Warnings.ca.gov