Skip to main content

UBTD2 Antibody - BSA Free

Novus Biologicals, part of Bio-Techne | Catalog # NBP1-85276

Novus Biologicals, part of Bio-Techne
Catalog #
Availability
Size / Price
Qty
Loading...
NBP1-85276
NBP1-85276-25ul

Key Product Details

Species Reactivity

Validated:

Human

Predicted:

Mouse (95%), Rat (95%). Backed by our 100% Guarantee.

Applications

Immunohistochemistry, Immunohistochemistry-Paraffin, Western Blot

Label

Unconjugated

Antibody Source

Polyclonal Rabbit IgG

Format

BSA Free

Concentration

Concentrations vary lot to lot. See vial label for concentration. If unlisted please contact technical services.

Product Specifications

Immunogen

This antibody was developed against Recombinant Protein corresponding to amino acids: TVFHMKRRLHAAEGVEPGSQRWFFSGRPLTDKMKFEELKIPKDYVVQVIVSQPVQNPTPV

Clonality

Polyclonal

Host

Rabbit

Isotype

IgG

Scientific Data Images for UBTD2 Antibody - BSA Free

Western Blot: UBTD2 Antibody [NBP1-85276]

Western Blot: UBTD2 Antibody [NBP1-85276]

Western Blot: UBTD2 Antibody [NBP1-85276] - Analysis in control (vector only transfected HEK293T lysate) and UBTD2 over-expression lysate (Co-expressed with a C-terminal myc-DDK tag (3.1 kDa) in mammalian HEK293T cells).
Immunohistochemistry-Paraffin: UBTD2 Antibody [NBP1-85276]

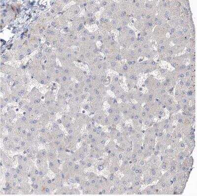
Immunohistochemistry-Paraffin: UBTD2 Antibody [NBP1-85276]

Immunohistochemistry-Paraffin: UBTD2 Antibody [NBP1-85276] - Staining of human liver shows no positivity in hepatocytes.
Immunohistochemistry-Paraffin: UBTD2 Antibody [NBP1-85276]

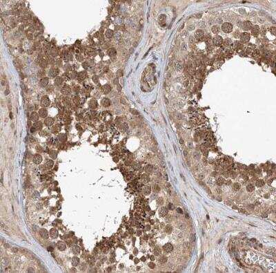
Immunohistochemistry-Paraffin: UBTD2 Antibody [NBP1-85276]

Immunohistochemistry-Paraffin: UBTD2 Antibody [NBP1-85276] - Staining of human testis shows strong cytoplasmic positivity in cells in seminiferous ducts.

Applications for UBTD2 Antibody - BSA Free

Application
Recommended Usage

Immunohistochemistry

1:20 - 1:50

Immunohistochemistry-Paraffin

1:20 - 1:50

Western Blot

0.04-0.4 ug/ml
Application Notes
For IHC-Paraffin, HIER pH 6 retrieval is recommended.

Formulation, Preparation, and Storage

Purification

Affinity purified

Formulation

PBS (pH 7.2) and 40% Glycerol

Format

BSA Free

Preservative

0.02% Sodium Azide

Concentration

Concentrations vary lot to lot. See vial label for concentration. If unlisted please contact technical services.

Shipping

The product is shipped with polar packs. Upon receipt, store it immediately at the temperature recommended below.

Stability & Storage

Store at 4C short term. Aliquot and store at -20C long term. Avoid freeze-thaw cycles.

Background: UBTD2

Alternate Names

DC-UbP, DCUBPDendritic cell-derived ubiquitin-like protein, MGC30022ubiquitin domain-containing protein 2, ubiquitin domain containing 2, Ubiquitin-like protein SB72

Gene Symbol

UBTD2

Additional UBTD2 Products

Product Documents for UBTD2 Antibody - BSA Free

Certificate of Analysis

To download a Certificate of Analysis, please enter a lot number in the search box below.

Product Specific Notices for UBTD2 Antibody - BSA Free

This product is for research use only and is not approved for use in humans or in clinical diagnosis. Primary Antibodies are guaranteed for 1 year from date of receipt.

Loading...
Loading...
Loading...
Loading...