Skip to main content

UBR5/EDD Antibody (JE38-53)

Novus Biologicals, part of Bio-Techne | Catalog # NBP3-32291

Recombinant Monoclonal Antibody
Novus Biologicals, part of Bio-Techne
Catalog #
Availability
Size / Price
Qty
Loading...
NBP3-32291

Key Product Details

Species Reactivity

Human, Mouse, Rat

Applications

Immunocytochemistry/ Immunofluorescence, Immunohistochemistry, Immunohistochemistry-Paraffin, Western Blot

Label

Unconjugated

Antibody Source

Recombinant Monoclonal Rabbit IgG Clone # JE38-53 expressed in HEK293

Concentration

1 mg/ml

Product Specifications

Immunogen

Synthetic peptide within Human UBR5/EDD aa 1-50 / 2,799. (Uniprot: O95071)

Localization

Nucleus.

Clonality

Monoclonal

Host

Rabbit

Isotype

IgG

Theoretical MW

309 kDa.
Disclaimer note: The observed molecular weight of the protein may vary from the listed predicted molecular weight due to post translational modifications, post translation cleavages, relative charges, and other experimental factors.

Description

Novus Biologicals Rabbit UBR5/EDD Antibody (JE38-53) (NBP3-32291) is a recombinant monoclonal antibody validated for use in IHC, WB and ICC/IF. All Novus Biologicals antibodies are covered by our 100% guarantee.

Scientific Data Images for UBR5/EDD Antibody (JE38-53)

UBR5/EDD Antibody (JE38-53)

Western Blot: UBR5/EDD Antibody (JE38-53) [NBP3-32291]

Western Blot: UBR5/EDD Antibody (JE38-53) [NBP3-32291] - Western blot analysis of UBR5/EDD on different lysates with Rabbit anti-UBR5/EDD antibody (NBP3-32291) at 1/1,000 dilution.

Lane 1: Neuro-2a cell lysate
Lane 2: SH-SY5Y cell lysate
Lane 3: Jurkat cell lysate
Lane 4: A549 cell lysate
Lane 5: HEK-293 cell lysate
Lane 6: LNCaP cell lysate

Lysates/proteins at 30 ug/Lane.

Predicted band size: 309 kDa
Observed band size: 309 kDa

Exposure time: 5 minutes;

4-20% SDS-PAGE gel.

Proteins were transferred to a PVDF membrane and blocked with 5% NFDM/TBST for 1 hour at room temperature. The primary antibody (NBP3-32291) at 1/1,000 dilution was used in 5% NFDM/TBST at room temperature for 2 hours. Goat Anti-Rabbit IgG - HRP Secondary Antibody at 1:50,000 dilution was used for 1 hour at room temperature.
UBR5/EDD Antibody (JE38-53)

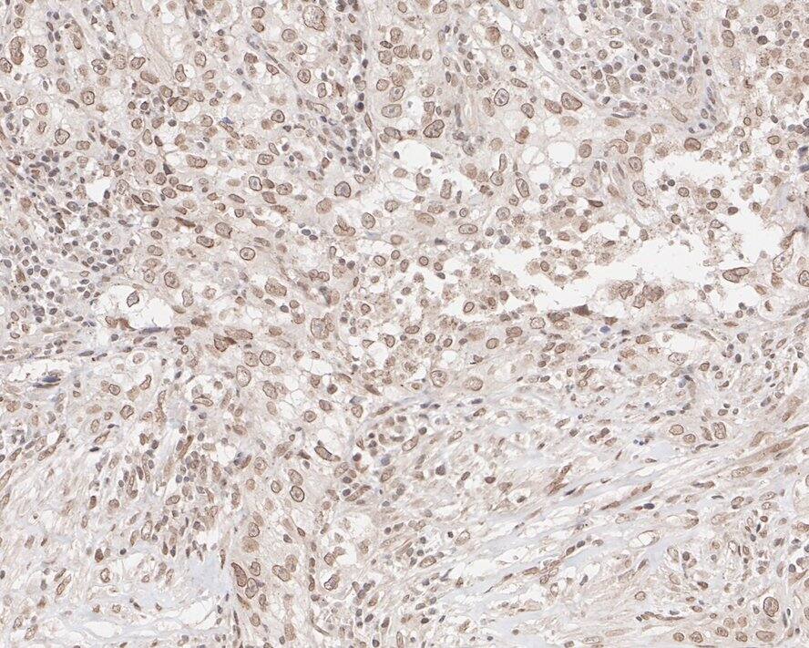
Immunohistochemistry: UBR5/EDD Antibody (JE38-53) [NBP3-32291]

Immunohistochemistry: UBR5/EDD Antibody (JE38-53) [NBP3-32291] - Immunohistochemical analysis of paraffin-embedded human lung carcinoma tissue with Rabbit anti-UBR5/EDD antibody (NBP3-32291) at 1/200 dilution.

The section was pre-treated using heat mediated antigen retrieval with sodium citrate buffer (pH 6.0) for 2 minutes. The tissues were blocked in 1% BSA for 20 minutes at room temperature, washed with ddH2O and PBS, and then probed with the primary antibody (NBP3-32291) at 1/200 dilution for 1 hour at room temperature. The detection was performed using an HRP conjugated compact polymer system. DAB was used as the chromogen. Tissues were counterstained with hematoxylin and mounted with DPX.
UBR5/EDD Antibody (JE38-53)

Immunocytochemistry/ Immunofluorescence: UBR5/EDD Antibody (JE38-53) [NBP3-32291]

Immunocytochemistry/ Immunofluorescence: UBR5/EDD Antibody (JE38-53) [NBP3-32291] - Immunocytochemistry analysis of SH-SY5Y cells labeling UBR5/EDD with Rabbit anti-UBR5/EDD antibody (NBP3-32291) at 1/100 dilution.

Cells were fixed in 4% paraformaldehyde for 20 minutes at room temperature, permeabilized with 0.1% Triton X-100 in PBS for 5 minutes at room temperature, then blocked with 1% BSA in 10% negative goat serum for 1 hour at room temperature. Cells were then incubated with Rabbit anti-UBR5/EDD antibody (NBP3-32291) at 1/100 dilution in 1% BSA in PBST overnight at 4 ℃. Goat Anti-Rabbit IgG H&L (iFluor™ 488) was used as the secondary antibody at 1/1,000 dilution. PBS instead of the primary antibody was used as the secondary antibody only control. Nuclear DNA was labelled in blue with DAPI.

Beta tubulin (red) was stained at 1/100 dilution overnight at +4℃. Goat Anti-Mouse IgG H&L (iFluor™ 594) was used as the secondary antibody at 1/1,000 dilution.

Applications for UBR5/EDD Antibody (JE38-53)

Application
Recommended Usage

Immunocytochemistry/ Immunofluorescence

1:100

Immunohistochemistry-Paraffin

1:200

Western Blot

1:1000

Formulation, Preparation, and Storage

Purification

Protein A purified

Formulation

1*TBS (pH7.4), 0.05% BSA and 40% Glycerol

Preservative

0.05% Sodium Azide

Concentration

1 mg/ml

Shipping

The product is shipped with polar packs. Upon receipt, store it immediately at the temperature recommended below.

Stability & Storage

Store at 4C short term. Aliquot and store at -20C long term. Avoid freeze-thaw cycles.

Background: UBR5

EDD encodes a progestin-induced protein, which belongs to the HECT (homology to E6-AP carboxyl terminus) family. The HECT family proteins function as E3 ubiquitin-protein ligases, targeting specific proteins for ubiquitin-mediated proteolysis. This gene is localized to chromosome 8q22 which is disrupted in a variety of cancers. This gene potentially has a role in regulation of cell proliferation or differentiation.

Long Name

Ubiquitin Protein Ligase E3 Component N-recognin 5

Alternate Names

DD5, EDD, EDD1, HYD

Gene Symbol

UBR5

Additional UBR5 Products

Product Documents for UBR5/EDD Antibody (JE38-53)

Certificate of Analysis

To download a Certificate of Analysis, please enter a lot number in the search box below.

Product Specific Notices for UBR5/EDD Antibody (JE38-53)

This product is for research use only and is not approved for use in humans or in clinical diagnosis. Primary Antibodies are guaranteed for 1 year from date of receipt.

Loading...
Loading...
Loading...
Loading...