Skip to main content

UBR4 Antibody

Novus Biologicals, part of Bio-Techne | Catalog # NBP1-28724

Novus Biologicals, part of Bio-Techne
Catalog #
Availability
Size / Price
Qty
Loading...
NBP1-28724

Key Product Details

Species Reactivity

Validated:

Human

Predicted:

Mouse (100%), Rat (100%). Backed by our 100% Guarantee.

Applications

Immunohistochemistry, Immunohistochemistry-Paraffin, Immunoprecipitation (Negative), Western Blot

Label

Unconjugated

Antibody Source

Polyclonal Rabbit IgG

Concentration

0.2 mg/ml

Product Specifications

Immunogen

The immunogen recognized by this antibody maps to a region between residue 5133 and 5183 of human retinoblastoma-associated factor 600 using the numbering given in entry NP_065816.1 (GeneID 23352).

Clonality

Polyclonal

Host

Rabbit

Isotype

IgG

Description

Novus Biologicals Rabbit UBR4 Antibody (NBP1-28724) is a polyclonal antibody validated for use in IHC and WB. All Novus Biologicals antibodies are covered by our 100% guarantee.

Scientific Data Images for UBR4 Antibody

Western Blot: UBR4 Antibody [NBP1-28724]

Western Blot: UBR4 Antibody [NBP1-28724]

Western Blot: UBR4 Antibody [NBP1-28724] - Whole cell lysate (5, 15 and 50 ug) from HeLa cells. Antibody used for WB at 0.04 ug/ml.
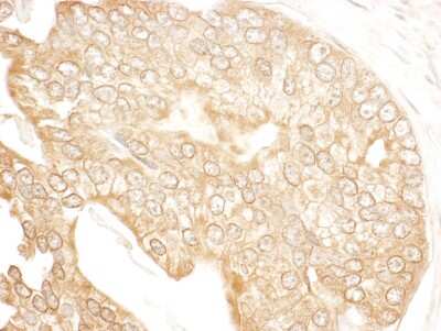
Immunohistochemistry: UBR4 Antibody [NBP1-28724]

Immunohistochemistry: UBR4 Antibody [NBP1-28724]

Immunohistochemistry: UBR4 Antibody [NBP1-28724] - Sample: FFPE section of human prostate carcinoma. Antibody: Affinity purified rabbit anti- p600 used at a dilution of 1:200 (1ug/ml). Detection: DAB

Applications for UBR4 Antibody

Application
Recommended Usage

Immunohistochemistry

1:100- 1:500

Immunohistochemistry-Paraffin

1:100- 1:500

Western Blot

1:2000-1:10000
Application Notes
Epitope retrieval with citrate buffer pH 6.0 is recommended for FFPE tissue sections.

Formulation, Preparation, and Storage

Purification

Immunogen affinity purified

Formulation

TBS and 0.1% BSA

Preservative

0.09% Sodium Azide

Concentration

0.2 mg/ml

Shipping

The product is shipped with polar packs. Upon receipt, store it immediately at the temperature recommended below.

Stability & Storage

Store at 4C. Do not freeze.

Background: UBR4

p600 is an E3 ubiquitin-protein ligase which is a component of the N-end rule pathway. It recognizes and binds to proteins bearing specific N-terminal residues that are destabilizing according to the N-end rule, leading to their ubiquitination and subsequent degradation. Together with clathrin, p600 forms meshwork structures involved in membrane morphogenesis and cytoskeletal organization. Additionally p600 regulates integrin-mediated signaling and may play a role in activation of FAK in response to cell-matrix interactions.

Alternate Names

600 kDa retinoblastoma protein-associated factor, EC 6.3.2, EC 6.3.2.-, KIAA0462E3 ubiquitin-protein ligase UBR4, KIAA1307zinc finger, UBR1 type 1, N-recognin-4, p600, RBAF600FLJ41863, Retinoblastoma-associated factor of 600 kDa, ubiquitin protein ligase E3 component n-recognin 4, Zinc finger UBR1-type protein 1, ZUBR1retinoblastoma-associated factor 600-like protein

Entrez Gene IDs

23352 (Human)

Gene Symbol

UBR4

Additional UBR4 Products

Product Documents for UBR4 Antibody

Certificate of Analysis

To download a Certificate of Analysis, please enter a lot number in the search box below.

Product Specific Notices for UBR4 Antibody

This product is for research use only and is not approved for use in humans or in clinical diagnosis. Primary Antibodies are guaranteed for 1 year from date of receipt.

Loading...
Loading...
Loading...
Loading...